Pesquisa

Materia-Capa-Elóra-APS

Elóra APS: A ciência por trás da composição que eleva a performance dos compósitos restauradores

A busca por materiais restauradores que unam estética, resistência e facilidade de manipulação continua sendo um dos grandes pilares da O...
Caso-1_Capa-Clareamento-dental-com-técnica-associada-consultório-e-caseiro-supervisionado

Clareamento dental com técnica associada: consultório e caseiro supervisionado

Autores: Prof. Dr. Bruno Rodrigues Reis e Dra. Mariana Fernandes Pires PACIENTE DO SEXO FEMININO, 35 ANOS DE IDADE Queixa Principal: Insa...
Caso-2_Capa-Técnica-associada-de-clareamento-dental-eficácia-e-ausência-de-sensibilidade

Técnica associada de clareamento dental: eficácia e ausência de sensibilidade

Autores: Dr. Paulo Gabriel Warmling e Dra. Natália dos Santos PACIENTE DO SEXO FEMININO, 27 ANOS DE IDADE. Queixa Principal: Estética do ...
Materia-1_Capa-Três-décadas-FGM-as-raízes-do-sucesso

Três décadas FGM: as raízes do sucesso

Assim como uma árvore que cresce a partir de raízes fortes e bem nutridas, a FGM iniciou sua trajetória como pioneira no clareamento dent...
Materia-3_Capa-Clareamento-dental-pela-técnica-caseira-praticidade,-segurança-e-eficácia-comprovadas

Clareamento dental pela técnica caseira: praticidade, segurança e eficácia comprovadas

Autores: Dra. Laryssa Barbosa, Dra. Deisy Cordeiro, Dra. Gabrielle Centenaro, Dra. Letícia Condolo, Dr. Michael Willian Favoreto, Prof. D...
Materia-Capa-Evolution

Evolution Digital Solutions: a transformação do fluxo digital na odontologia moderna

A transformação digital é uma realidade que redefine a rotina clínica e laboratorial na odontologia contemporânea. Nesse cenário, a Evolu...
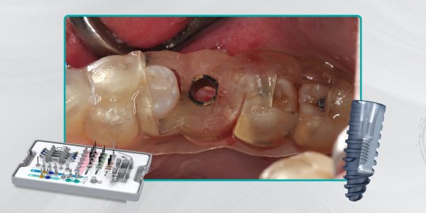
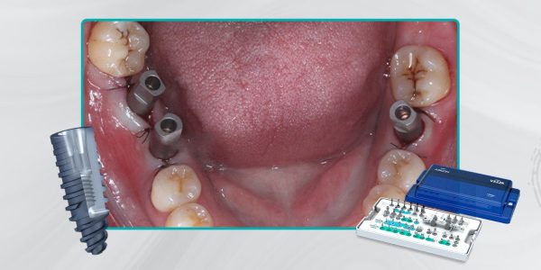
Materia-Capa-Fiber-Pro

Fiber Pro: solução para infraestruturas protéticas sobre implantes mais leves

Quando o assunto é construir próteses múltiplas com alta resistência, previsibilidade e adaptação precisa, a escolha da infraestrutura fa...
Capas-BibliotecaSite-folder-linha-ambar

Folder Linha Ambar

FGM News 2006
FGM News
FGM News 2006
FGM News 2009 1ª edição
FGM News
FGM News 2009 1ª edição
FGM News 2009 2ª edição
FGM News
FGM News 2009 2ª edição
FGM News 2010
FGM News
FGM News 2010
FGM News 2011
FGM News
FGM News 2011
FGM News 2012
FGM News
FGM News 2012
FGM News 2013
FGM News
FGM News 2013
FGM News 2014
FGM News
FGM News 2014
FGM News 2015
FGM News
FGM News 2015

Selecione seu idioma

Select your language