
Brocas CGA Precision

Limitadores de Profundidade CGA Precision

Brocas CGA Precision
Estojo
CGA Precision
CONHEÇA SEU KIT CGA
Design que favorece a estabilidade e precisão.
BROCAS PRECISION
Possibilidade de perfuração única.
A perfuração em uma única etapa gera economia de tempo se comparada com o tradicional escalonado. Contudo, sempre que a condição do local de implante demandar ou o profissional preferir, a perfuração pode ser escalonada com as mesmas brocas disponíveis.

Segurança Clínica
A sua geometria permite a adaptação de limitadores de profundidade, tornando o procedimento mais seguro.

Possibilidade de coleta de tecido ósseo
Através das canaletas laterais, sem necessidade de intervenções adicionais.

Precisão do início ao fim - Ponta Ativa
A geometria da parte ativa da broca, com elevado poder de corte, proporciona precisão no início e durante a perfuração.

As características das canaletas laterais
Da ponta ativa cortante e da irrigação eficiente reduzem a vibração, aumentando a qualidade do resultado final
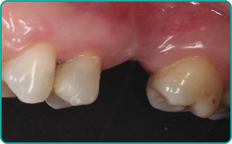
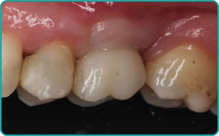
Caso clínico
Cirurgia guiada em área com defeito vestibular de rebordo

Aspecto inicial

Aspecto inicial
Shop FGM Implants
Um mundo de soluções inteligentes, em apenas alguns cliques!
- Parcelamento em até 10x
- Aproveite promoções exclusivas de lançamentos
- Confira o portfólio completo de soluções para Implantodontia