Blog

Últimos posts

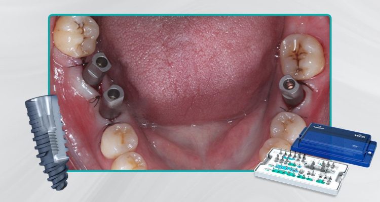
23_Capa-Implante-Imediato-e-Cicatrizador-Personalizado-Para-Manutenção-Do-Contorno-Tecidual-Em-Região-Molar

Implante imediato e cicatrizador personalizado para manutenção do contorno tecidual em região molar

Resumo: Implante imediato em região molar com biomaterial Nanosynt e cicatrizador personalizado Arcsys, mantendo contorno tecidual e estética previsível. Autores: Dr. Gabriel Leonardo Magrin e Dr. Cesar Augusto Magalhães Benfatti SEXO E ...
02_Capa-Clareamento-Caseiro-Supervisionado-Com-Whiteness-Perfect-22%

Clareamento caseiro supervisionado com Whiteness Perfect 22%

21_Capa-Restauração-Estética-Com-Pino-De-Fibra-De-Vidro-E-Resina-Composta

Restauração estética com pino de fibra de vidro e resina composta

07_Materia-Capa-Membrana-Duosynt-Biomateriais-à-base-de-Polímeros

Membrana Duosynt: Biomateriais à base de Polímeros

27/10/2025
banner protese cimentada unitária sobre munhão

Manual do Fluxo Digital: cimentação cimentada unitária sobre munhão

Linhas

Selecione seu idioma

Select your language