O sistema inteligente
que revoluciona a
implantodontia.
Há mais de dez anos, para milhares de cirurgiões-dentistas, a vida se divide entre antes e depois do revolucionário e inteligente Sistema Arcsys.

2016 - Lançamento Arcsys






2026
Depoimento
A evolução em implantes dentários para
Longevidade e Estética.

Possibilidades
Próteses aparafusadas, cimentadas, unitárias ou múltiplas.

Segurança
Interface Cone Morse Friccional.

Diversidade
Disponíveis com diferentes alturas para atender as variações de espessura de mucosa.

Ângulo personalizável
Permite angulação em até 20°, obtendo melhor resultado estético e funcional.

Versatilidade
Componentes intercambiáveis entre os diferentes diâmentros de implantes.

3x mais resistente
Fabricado em ligas especiais implantáveis de alta resistência, conforme normas ASTM F138 e ABNT NBR ISO 5832-1
Caso Clínico - Acompanhamento de 10 e 6 anos.
Prof. Dr. Rafael Cury Cecato.

Acompanhamento de 6 anos do coping friccional.

Acompanhamento de 6 anos do Fluxo Digital.

Acompanhamento de 10 anos.
O verdadeiro Cone Morse
Devido à conexão tipo Cone Morse, o sistema Arcsys proporciona selamento bacteriano eficaz, contribuindo para a preservação da saúde peri-implantar.

Dispensa parafuso
Conexão altamente estável e que possibilita a customização de componentes protéticos.

Selamento bacteriano
Conexão hermética com competência total quanto ao selamento microbiano da interface componente-implante. 100% de efetividade de selamento bacteriano.¹
1 – de Aguiar Vilela Júnior R, Cláudio Aranha L, Nelson Elias C, Ferreira Martinez E. In vitro analysis of prosthetic abutment and angulable frictional implant interface adaptation: mechanical and microbiological study. J Biomech 2021; 128: 110733.
Plataforma Protética Única

Diâmetros estreitos
de Ø 3,3 mm até Ø 6,0 mm

Destacam-se pela segurança e versatilidade em áreas com restrito volume do leito ósseo.
Depoimento
A incrível possibilidade de angular o componente protético em seu consultório
O Sistema de Implantes Arcsys traz a exclusiva tecnologia de angulação dos componentes protéticos em até 20°, em sua clínica ou laboratório. Inovação que permite o melhor planejamento cirúrgico e protético.

Angulação Personalizável do Componente Protético em até 20°

Economia de tempo

Redução de estoque
A melhor posição do implante e da prótese.
Veja os resultados do Implante e Prótese na posição ideal:

Implante instalado.
Observe a divergência entre os eixos cirúrgico e protético.

Componente protético customizado.
Observe o refinamento do eixo protético possibilitado pela tecnologia do Sistema Arcsys.
Autor: Prof. Dr. Rafael Cury Cecato
Versatilidade com as chaves extratoras
Com o desenvolvimento das Chaves Extratoras, a reversibilidade Morse do Sistema Arcsys foi simplificada, acrescentando ganhos de versatilidade também no processo de ativação.
Performance que vai além da remoção do componente protético
Conheça as possibilidades associadas às chaves extratoras:

Remoção de componentes protéticos

Transporte, inserção e ajuste de posição dos componentes

Ativação de componentes protéticos
Precisão e segurança em suas mãos
O Verificador de Acionamento Friccional possibilita a verificação do acionamento de componentes friccionais, garantindo maior confiabilidade mecânica da conexão implante e componentes protéticos Arcsys.
Dispositivo Exclusivo desenvolvido pela FGM, intercambiável a qualquer modelo de chave de extração.
Depoimento
Precisão e controle absoluto durante a cirurgia
A precisão do protocolo cirúrgico aliada à flexibilidade protética garante reabilitações funcionais, estéticas e duradouras com alto desempenho biomecânico e previsibilidade clínica.
Uma nova era no seu consultório
Melhor performance com mais segurança e menos tempo. Transforme sua rotina clínica com tecnologia que otimiza processos, reduz etapas e entrega resultados previsíveis. O futuro da implantodontia começa aqui.
Geometria inovadora, estabilidade, precisão e segurança.
Possibilidade de perfuração única.
A perfuração em uma única etapa gera economia de tempo se comparada com o tradicional escalonado. Contudo, sempre que a condição do local de implante demandar ou o profissional preferir, a perfuração pode ser escalonada com as mesmas brocas disponíveis.

Geometria inovadora
Autocontrole durante toda a preparação cirúrgica.

Ponta ativa
Faz a função de broca lança: estabilidade no início e durante a perfuração.

Segurança na instalação
Controle de profundidade visual ou mecânico (limitadores de profundidade).

Estabilidade
Evita vibrações durante a instrumentação.

Material
Aço nobre revestido de TiN (nitreto de titânio), oferecendo maior dureza de superfície, menor atrito e maior durabilidade.

Canais laterais
Irrigação em toda a extensão da broca e capacidade de coleta de tecido ósseo.
Precisão e praticidade ao seu alcance.
Os estojos Arcsys foram desenvolvidos para oferecer praticidade, organização e precisão em todas as etapas do tratamento. Cada detalhe foi pensado para simplificar sua rotina clínica e potencializar os resultados.
A tecnologia Arcsys elimina parafusos e utiliza uma conexão cônica de alta precisão, garantindo estabilidade total e evitando complicações como afrouxamento. Mais segurança, menos retrabalho.

Estojo Cirúrgico Protético
Instrumentos essenciais para a fase cirúrgica e protética, garantindo agilidade e precisão no posicionamento do implante.

Estojo Protético
Ferramentas completas para ajustes e personalizações na etapa restauradora, mantendo a filosofia livre de parafusos e a confiabilidade do sistema Arcsys.
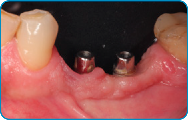
Caso Clínico
Prof. Dr. Rafael Cury Cecato
O caso clínico iniciou-se em 2015 com o objetivo de restaurar função e estética. Foram instalados dois implantes nas regiões dos dentes 35 e 36, seguidos pela osseointegração e condicionamento tecidual. As próteses finais foram confeccionadas sobre pilares Arcsys, com ajustes oclusais precisos. O acompanhamento clínico completa dez anos, com exames periódicos e manutenção regular. Observa-se excelente estabilidade óssea e saúde peri-implantar. O caso comprova que protocolos bem executados e componentes de qualidade garantem longevidade previsível.

1 | Imagem tomográfica (corte panorâmico) inicial.

2 | Imagem radiográfica após a instalação dos implantes e componentes protéticos.

3 | Exame de imagem realizado 120 dias de pós-operatório, após instalação da prótese.

4 | Acompanhamento radiográfico de dois anos em função.

5 | Imagem radiográfica evidenciando a estabilidade tecidual ao redor dos implantes após dez anos de função.

6 | Aspecto clínico após dez anos de função.