Autor: Dr. Ariel Braga
PACIENTE DO SEXO FEMININO, 63 ANOS DE IDADE.
Queixa Principal: Paciente insatisfeita com a estética, formato e cor dos dentes anteriores, percebia retenção de alimentos nas regiões proximais, além de incômodo ao passar o fio dental, que segundo a paciente, sempre enroscava
AVALIAÇÃO INICIAL
Na avaliação inicial, observou-se que as restaurações anteriores tinham deficiências estéticas e funcionais. Os elementos 11, 12, 21 e 22 apresentavam sobrecontorno cervical, comprometendo o perfil de emergência, favorecendo acúmulo de biofilme e já mostrando sinais de alterações nos tecidos gengivais, decorrentes da má adaptação nas proximais.
TRATAMENTO EXECUTADO COM ELÓRA APS
Optou-se por remover cuidadosamente as restaurações insatisfatórias dos elementos 11, 12, 21 e 22, preservando ao máximo a estrutura dental remanescente, mantendo as restaurações que estavam em condições satisfatórias em termos de adesão e adaptação. Com os dentes devidamente regularizados e o tecido periodontal estabilizado, foi feito o isolamento absoluto para maior controle de umidade da região cervical.
Iniciou-se o processo de construção das facetas diretas em resina composta, utilizando técnica a mão livre. Com o auxílio de uma matriz de poliéster, a concha palatina foi confeccionada com a resina Elóra APS, na cor Trans, tanto nos incisivos centrais e laterais.
Antes de prosseguir com a sequência restauradora de dentina, foram observadas regiões de mais baixo valor e alta saturação, exigindo correção prévia. Para promover o equilíbrio óptico, realizou-se a neutralização dessas áreas com resina de dentina Elóra APS, na cor DB1, utilizada nos incisivos laterais e na classe IV nos incisivos centrais. Essa etapa é essencial para evitar que as interferências cromáticas impactem no resultado final.
Depois de equilibrar esses pontos, foi feito o preenchimento das proximais com resina A1 da Elóra APS, uniformizando o substrato. Na etapa de caracterização incisal, aplicou-se Assist APS Opaquer, na cor OW, utilizado nesse caso como pigmento, para promover efeitos internos sutis, respeitando o espaço limitado disponível para a estratificação, e o preenchimento incisal com Vittra APS Flow, na cor TRANS.
A camada de dentina foi construída com a resina de dentina Elóra APS, na cor BL, proporcionando aumento de luminosidade, dando aspecto de dente clareado – exigência estética apresentada pela própria paciente.
Para a camada final de esmalte, foi utilizada a resina Elóra APS, na cor WE, que conferiu brilho, naturalidade, equilíbrio óptico e um tom levemente clareado.
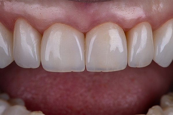
Após a conclusão da escultura, finalizou-se com o protocolo de acabamento e polimento. O resultado final demonstrou uma melhora estética significativa, morfologia e proporções mais equilibradas, cor compatível ao desejo da paciente, mantendo a naturalidade, proporcionando boa adaptação cervical, integração com os tecidos gengivais ocasionando a melhora no aspecto das papilas.
PASSO A PASSO DA RESINA COMPOSTA


1 e 2 | Aspecto inicial.

3 | Aspecto após a remoção das resinas insatisfatórias.

4 | Conchas palatinas feitas com matriz de poliéster e resina Elóra APS, na cor Trans.

5 | Equalização dos substratos com Elóra APS, na cor DB1.

6 | Áreas proximais com Elóra APS, na cor A1, camada de dentina com Elóra APS, na cor BL, efeitos incisais com Assist APS Opaquer, na cor OW e Vittra APS Flow, na cor Trans.

7 | Camada de esmalte final com Elóra APS, na cor WE.




8, 9, 10 e 11 | Resultado após acabamento e polimento.
“Meu trabalho clínico e a forma como registro e divulgo meus casos me fazem exigir muito de todas as características das resinas de alta estética. Alto brilho, perfeita manipulação, e um sistema fácil de ser totalmente assimilado, a resina Elóra APS chega pra ser uma excelente opção para entregarmos naturalidade em qualquer restauração estética.”
— Dr. Ariel Braga



