Condicionamento de blocos cerâmicos utilizando ácido hidrofluorídrico 10%

Análise por microscopia (FESEM). Autores: Dr. Guilherme Carpena Lopes e Dra. Deise Rebelo Consoni Novos sistemas cerâmicos têm sido desenvolvidos e disponibilizados no mercado internacional. A adequada adesão à cerâmica é alcançada mediante dois princípios: aplicação de ácido hidrofluorídrico (HF) em baixa concentração por alguns segundos seguido da aplicação de agente de ligação silano¹ Respectivamente, […]
Clareamento de consultório com gel de automistura: agilidade e eficiência

Autores: Leonardo Cunha e Ubiracy Gaião. Paciente gênero feminino, 19 anos. QUEIXA PRINCIPAL Dentes muito amarelados. AVALIAÇÃO INICIAL Após exame clínico e radiográfico, foram constatados dentes hígidos, ausência de restaurações e lesões, porém amarelamento exacerbado, característica que a fez procurar o tratamento clareador. A paciente relatou não ter sensibilidade a trocas térmicas e não […]
Garanta sempre a melhor posição do implante dentário e da prótese

A rotina clínica do profissional que trabalha com implantodontia envolve ter de lidar com uma série de desafios. Algumas das maiores dificuldades aparecem em pacientes emergenciais ou com limitações biológicas. Muitas vezes a prótese cerâmica precisa compensar o posicionamento do componente protético pré-angulado. Outras vezes, em casos ainda mais complexos, a região a ser implantada […]
Por que optar pela utilização da Cirurgia Guiada?

Por Prof. Augusto Bessa A Cirurgia Guiada Arcsys (CGA) é uma técnica que possibilita realizar o implante com muito conforto, precisão e rapidez. Com o exame tomográfico e os modelos digitalizados, o Centro de Planejamento irá realizar a cirurgia virtualmente no computador, em um software específico (figura 1) , instalando o implante na melhor posição […]
Saiba mais sobre a técnica Bulk Filling

A utilização de resinas bulk fill em cavidades classe I e II de dentes posteriores, está amplamente difundida internacionalmente pela praticidade da técnica. No Brasil, essa tendência mundial vem ganhando mais adeptos, que ao utilizar tal técnica, percebem sua versatilidade. Compósitos bulk fill têm desempenho de mesma qualidade de resinas convencionais, pois sua composição garante […]
Reabilitação maxilar anterior com Sticky Bone

Autores: Prof. Dr. Helder Hirabara, Prof. Flavio Menoli e Prof. Dr. Ricardo Alves Matheus. Objetivo Clínico Promover um aumento da espessura óssea vestibular da maxila valendo-se de biomaterial sintético associado a agregados leucoplaquetários autólogos. A reconstrução da arquitetura de pré-maxilas severa ou moderadamente reabsorvidas é fundamental para uma reabilitação anterior mais previsível, pois permitirá […]
A importância do clareamento dental na valorização de resultados ortodônticos.

Clareamento Dental durante o Tratamento Ortodôntico. O Dr. Leonardo Muniz, de Salvador-BA, em parceria com a Dra. Máyra Seixas produziram um super vídeo sobre a importância do clareamento dental na valorização de resultados ortodônticos. O material mostra um caso clínico de clareamento realizado durante tratamento ortodôntico de um paciente que tinha dificuldades para sorrir, em […]
Clareamento com Whiteness Perfect 22%

Autora Stephanie Gomes Assunção Alves – Concurso Whiteness Descrição Completa do Caso O paciente G.V.S., do gênero masculino, leucoderma, com 23 anos de idade procurou tratamento estético queixando-se da coloração escurecida dos seus dentes. Foi realizada uma anamnese detalhada e exame clínico, sendo verificado saúde periodontal, ausência de lesões cervicais não cariosas, assim como ausência […]
1º Lugar – Prêmio Whiteness

Dra. Luciana Mendonça da Silva Martins DESCRIÇÃO COMPLETA DO CASO Descrição do paciente: Paciente J.L., leucoderma, sexo masculino e 22 anos. Queixa principal: “Desejo ter dentes brancos” SIC Avaliação clínica: Dentes escurecidos, centrais na cor 3M2 e caninos 4M2 da escala Vita 3D. Saúde periodontal satisfatória, presença de cálculo nos incisivos inferiores, ausência de lesões […]
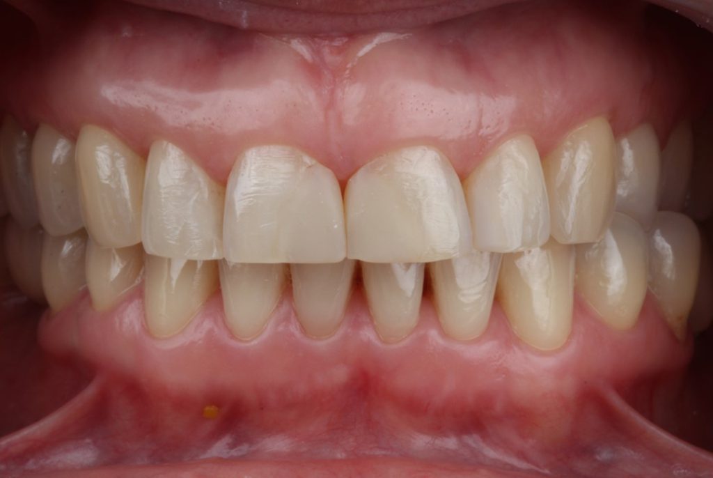
Restaurações em dentes anteriores ao alcance do clinico

Queixa Principal As principais queixas da paciente eram sobre o tamanho do dentes pois achava muito curto assim como o aspecto opaco das restaurações. Avaliação Clinica Tecido gengival saudável e dentes apresentavam restaurações ja com desgastes assim como perda incisal deixando o sorriso sem harmonia Tratamento Executado Foi realizado enceramento diagnostico para correção da harmonia […]