Colagem de aparelho ortodôntico com cimento autoadesivo

Autores: Bruno Lippmann e Rafaella Ronchi Zinelli. Paciente do sexo masculino, 12 anos. A queixa: Má oclusão e desalinhamento dental. Exame clínico/radiográfico: O paciente apresentava mordida cruzada posterior, sendo viável a correção com expansor fixo e posteriormente aparelhagem ortodôntica fixa. Tratamento: Foi instalado expansor ancorado com bandas ortodônticas nos molares e apoios resinosos nos pré-molares […]
Versatilidade e estética em reabilitação de dentes posteriores com Brava Block

Prof. Dr. Dimas João Rodrigues Neto Paciente apresentou-se com múltiplas lesões de cárie e restaurações extensas insatisfatórias em todo quadrante posterior superior esquerdo. Optou-se pela utilização da técnica indireta devido a quantidade e extensão das cavidades, tornando difícil e contraindicada a reabilitação pela técnica direta uma vez que a mesma apresenta algumas limitações. Depoimento “Fiquei […]
Restauração direta em passo único

Paciente do sexo feminino, 40 anos Queixa principal: Sensibilidade com estímulo térmico em um dente com uma restauração antiga. Avaliação clínico/radiográfica : Presença de uma restauração em amálgama na oclusal do dente 46 com superfície porosa oxidada e ausência de anatomia. Tratamento executado: Remoção da restauração antiga e confecção de uma nova restauração com resina […]
FGM premia universitários, professores e instituições de ensino em concurso voltado à estética odontológica

Maior fabricante latino-americana de clareadores dentais, a FGM Produtos Odontológicos, que produz soluções em estética e biomateriais, investe em ações para incentivar a pesquisa avançada na sua área de atuação. Uma dessas iniciativas é a realização de concurso voltado a acadêmicos e professores universitários de odontologia. Na semana passada, a empresa recebeu, na sede em […]
Clareamento de dentes tratados endodonticamente. Com a utilização da combinação de técnicas para a realização do clareamento

RELATO DO CASO: A QUEIXA: dente 21 escurecido. O EXAME CLÍNICO/RADIOGRÁFICO: o dente 21 apresentava-se escurecido, porém com boa saúde endodôntica e periodontal. O TRATAMENTO: Optou-se por clareamento ambulatorial com peróxido de hidrogênio a 35% (2 sessões) associado a clareamento na técnica do curativo de demora com perborato de sódio (4 semanas). Aspecto inicial evidenciando […]
[2º lugar CTAC APS] Devolução de estética em caso de hipoplasia de esmalte
![foto113 - [2º lugar CTAC APS] Devolução de estética em caso de hipoplasia de esmalte foto113 - [2º lugar CTAC APS] Devolução de estética em caso de hipoplasia de esmalte](https://fgmdentalgroup.com/wp-content/uploads/2022/07/foto113-1024x686.jpg)
Iasmim Mainny Diógenes Véras – Orientador: Prof. Alex José Souza dos Santos Paciente do sexo feminino, 26 anos, procurou o serviço de atendimento do curso de Especialização em Dentística, queixando-se da estética do seu sorriso. Foi realizado exame clínico e protocolo fotográfico. Foi diagnosticado escurecimento fisiológico e hipoplasia de esmalte no incisivo lateral superior esquerdo […]
[1º lugar CTAC APS] Obtendo opalescência natural com resinas Vittra APS e Opallis
![foto9 - [1º lugar CTAC APS] Obtendo opalescência natural com resinas Vittra APS e Opallis foto9 - [1º lugar CTAC APS] Obtendo opalescência natural com resinas Vittra APS e Opallis](https://fgmdentalgroup.com/wp-content/uploads/2022/07/foto9-1024x678.jpg)
Erica Cristina Dias Queiroz – Orientador: Prof. Adilson Yoshio Furuse Paciente do sexo feminino, 20 anos de idade, procurou atendimento odontológico para tratamento restaurador do elemento 21. Observou-se fratura do ângulo incisal e o tratamento de escolha foi a realização da restauração policromática com resinas compostas Vittra APS e Opallis, a fim de obter cor […]
Conheça os ganhadores do Concurso Trabalhando às Claras APS, da FGM.

A equipe FGM agradece aos 300 alunos que se inscreveram no concurso, assim como aos professores e universidades que apoiaram o projeto e trabalharam conosco. Para a FGM é uma honra desenvolver iniciativas que vinculem a indústria e a academia em prol da promoção da saúde e estética bucal dos pacientes. Lançado no Ciosp de […]
Clareamento dental associado a restauração direta: combinando técnicas para um sorriso radiante

A diversidade de materiais odontológicos oferece alternativas eficientes e pouco invasivas que podem resultar em um grande diferencial para os pacientes. O vídeo abaixo demonstra um caso clínico onde a técnica de clareamento combinada foi empregada para melhoria estética do sorriso. Após o clareamento, resina composta foi utilizada para fechamento de diastema de linha média […]
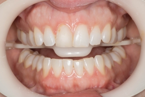
Técnica mista para Clareamento Dental

Sexo e idade do(a) paciente: Paciente do sexo feminino, 20 anos. A queixa: Dentes escuros. Exame clínico/radiográfico: todos os dentes apresentavam-se saudáveis, com coloração amarelada. Tratamento: Foi proposto o clareamento misto, combinando 1 aplicação de clareador em consultório (Whiteness HP Blue) durante 45 minutos e 2 semanas de uso de gel caseiro em moldeiras (Whiteness Perfect […]