RELATO DO CASO:
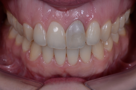
A QUEIXA: dente 21 escurecido.
O EXAME CLÍNICO/RADIOGRÁFICO: o dente 21 apresentava-se escurecido, porém com boa saúde endodôntica e periodontal.
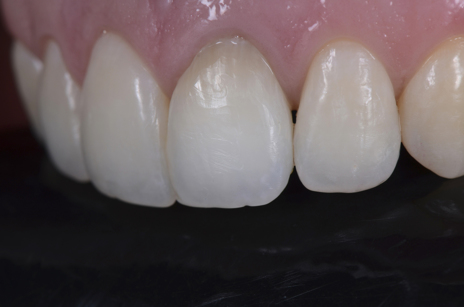
O TRATAMENTO: Optou-se por clareamento ambulatorial com peróxido de hidrogênio a 35% (2 sessões) associado a clareamento na técnica do curativo de demora com perborato de sódio (4 semanas).
Aspecto inicial evidenciando dente 21 que destaca-se pela alteração de cor.

O gel clareador Whiteness HP Maxx pode ser aplicado externamente e internamente na coroa dental, desde que se faça previamente a barreira cervical.


Ao concluir a sessão, a aplicação de outro gel clareador (Whiteness Perborato) como curativo de demora complementa a ação clareadora nos intervalos entre sessões e potencializa o resultado.


O resultado final foi satisfatório, integrando o dente ao sorriso.

“A combinação de técnicas para clareamento de dentes endodonticamente tratados é viável e pode evitar abordagem restauradora”. Dr. Fabio Sene
AUTORES:
Dr. Fabio Sene
