Bactérias do bem: como cuidar da flora que vive na boca

A boca é um ambiente repleto de microrganismos, incluindo bactérias. Mas nem todas as bactérias são prejudiciais, algumas delas são consideradas bactérias do bem, e desempenham funções importantes para a saúde bucal. Neste artigo, discutiremos como cuidar da flora que vive na boca e a importância dessas bactérias para a saúde bucal. O que são […]
Nanosynt. Além do que você esperava.
Preenchimento alveolar com enxerto ósseo sintético

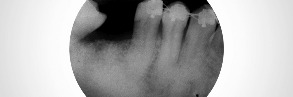
Paciente, sexo masculino, 30 anos, compareceu à clínica Naturale Odontologia, cidade de Joinville, apresentando lesão endoperiodontal com envolvimento de furca associada à mobilidade no elemento 46. Optou-se pela regeneração através de biomaterial sintético à base de fosfato de cálcio no mesmo ato cirúrgico da exodontia. A escolha se deveu dada sua excelente praticidade clínica […]
Conheça o Enxerto ósseo 100% sintético Nanosynt

Além da comprovação científica de maior formação óssea em menos tempo, o biomaterial sintético Nanosynt vem sendo aprovado e recomendado por especialistas pelo seu incrível resultado clínico, praticidade e economia. Confira abaixo e experimente você também. Acompanhamento – Dr. Bernardo Passoni “Neoformação óssea em tempo recorde e ainda sem desperdício de material.” Acompanhamento – Dr. Eduardo […]
Nanosynt – Nanotecnologia em benefício da enxertia óssea
Guia Essencial da Osseointegração para Implantodontistas

A osseointegração é um conceito muito importante quando falamos em implantes dentários e gera algumas das dúvidas mais frequentes entre nossos pacientes: o que é e como afeta a eles. Neste post, vamos tentar esclarecer essas dúvidas sobre esse tema e sobre a relação entre osseointegração e implantologia de carga imediata. O que é osseointegração? […]
Nanosynt – Nanotecnologia em benefício da enxertia óssea
Luvas de procedimento e luvas cirúrgicas: importância e cuidados necessários

Por que as luvas são tão essenciais na área da saúde? As luvas de procedimento e luvas cirúrgicas são essenciais na área da saúde porque ajudam a proteger os profissionais de saúde e os pacientes contra a exposição a fluidos corporais, sangue e outros materiais potencialmente infecciosos. Isso pode ajudar a prevenir a propagação de […]
Por que Nanosynt é diferente?
O Uso de L-PRF na Odontologia: Uma Abordagem Inovadora para a Regeneração Tecidual

A odontologia moderna tem se beneficiado enormemente das novas tecnologias e técnicas que aprimoram os resultados dos tratamentos e aceleram a recuperação dos pacientes. Entre essas inovações, destaca-se o uso de L-PRF (Leucocyte and Platelet-Rich Fibrin), uma técnica avançada de regeneração tecidual que utiliza os componentes do próprio sangue do paciente para promover a cicatrização […]