Autores: Dr. Paulo Gabriel Warmling e Dra. Natália dos Santos
PACIENTE DO SEXO FEMININO, 27 ANOS DE IDADE.
Queixa Principal: Estética do sorriso relacionada à cor amarelada dos dentes.
AVALIAÇÃO INICIAL
A paciente relatou inicialmente que a coloração dos dentes impactava negativamente sua autoestima, além de influenciar suas interações no ambiente social e profissional. Mencionou também episódios de sensibilidade dental, especialmente ao consumir bebidas geladas.
Foi realizada anamnese detalhada, seguida de exame clínico e radiográfico complementar. A avaliação revelou boa saúde bucal e periodontal, sem evidência de lesões cariosas, necrose pulpar ou tratamentos endodônticos prévios. A alteração na coloração dental não estava associada a qualquer patologia.
Foi realizada anamnese detalhada, seguida de exame clínico e radiográfico complementar. A avaliação revelou boa saúde bucal e periodontal, sem evidência de lesões cariosas, necrose pulpar ou tratamentos endodônticos prévios. A alteração na coloração dental não estava associada a qualquer patologia.
TRATAMENTO EXECUTADO COM TÉCNICA ASSOCIADA
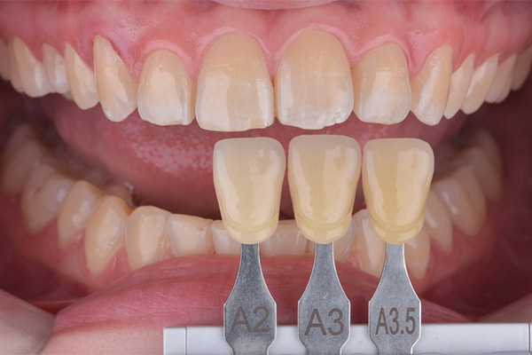
Na primeira consulta, foi realizada a profilaxia dos arcos dentários, com o objetivo de remover biofilme e facilitar a avaliação da coloração dental. Na consulta subsequente, foi realizada a mensuração da cor inicial dos dentes utilizando a escala de cor A-D. Foram identificadas as tonalidades A2 para os incisivos centrais superiores e A3 para os caninos superiores.
Considerando o relato prévio de sensibilidade dental durante a anamnese, foi estabelecido um protocolo clareador personalizado, utilizando géis de baixa concentração, com o intuito de minimizar o risco de exacerbação da sensibilidade. Em seguida, foi realizada a primeira sessão de clareamento em consultório, respeitando os parâmetros definidos no plano de tratamento. A superfície dental foi inicialmente limpa com escova profilática. Em seguida, foi posicionado o afastador labial Arcflex, devidamente ajustado à anatomia da paciente. Os dentes foram secos com jatos de ar, e o gel clareador à base de peróxido de hidrogênio a 6%, Whiteness HP AutoMixx 6% foi aplicado na arcada superior (dentes 16 a 26) e na arcada inferior (dentes 36 a 46).
Devido à apresentação do produto com ponta automisturadora, a primeira porção foi descartada para garantir a homogeneização adequada entre o peróxido de hidrogênio e o espessante. A ponta em formato de pincel facilitou a aplicação precisa, permitindo a formação de uma camada fina e uniforme do gel. A baixa concentração do agente clareador possibilitou a realização da sessão sem necessidade de barreira gengival, com segurança e conforto para a paciente.
Após 40 minutos de ação, o excesso de gel foi removido com auxílio de sugador cirúrgico, seguido de lavagem abundante com água. Ao término da sessão, foram entregues à paciente duas bisnagas de gel clareador à base de peróxido de carbamida a 10%, Whiteness Perfect 10%.
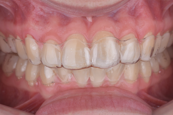
Considerando que a paciente havia finalizado recentemente o tratamento ortodôntico com alinhadores invisíveis, foram utilizadas as placas de acetato confeccionadas para contenção dos arcos como moldeiras personalizadas para o clareamento caseiro. A paciente foi orientada a aplicar uma pequena quantidade de gel (uma gota) na região mais profunda da placa, correspondente aos dentes envolvidos no clareamento em consultório, utilizando-as por 3 horas diárias durante o intervalo entre as sessões clínicas.
O protocolo completo incluiu 3 sessões de clareamento em consultório e 11 sessões de clareamento caseiro, realizadas ao longo de 14 dias. Como resultado, observou-se uma mudança significativa na coloração dental, passando das tonalidades A2 e A3 para BL4. Importante destacar que a paciente não apresentou qualquer episódio de sensibilidade dental durante todo o tratamento.
Os resultados deste relato de caso indicam que a associação entre as abordagens de clareamento em consultório e caseiro (técnica de clareamento combinado) foi eficaz na obtenção de resultados estéticos satisfatórios em um curto intervalo de tempo, sem relato de sensibilidade dentária por parte da paciente e com aumento da autoestima e qualidade de vida relacionada ao ambiente social.
PASSO A PASSO

1 | Sorriso inicial, vista frontal.

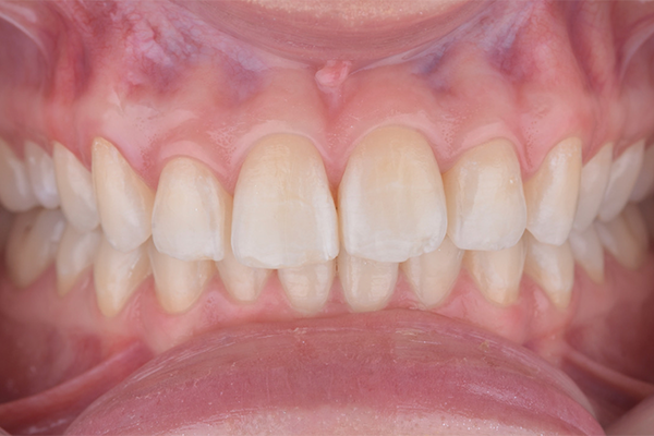
2 | Aspecto inicial, intraoral.


3 e 4 | Aspecto inicial, seleção de cor.



5A, 5B e 5C | Aplicação do gel clareador Whiteness HP AutoMixx 6%.

6 | Utilização das contenções como placas personalizadas de clareamento.

7 | Aspecto final, intraoral.


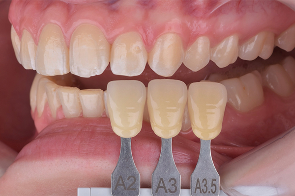
8 e 9 | Aspecto final, seleção de cor.

10 | Aspecto final.
“O Whiteness HP AutoMixx 6% se destaca por possuir uma concentração segura para casos de pacientes com alto grau de sensibilidade e pacientes jovens, demanda que cresce cada vez mais. Sua ponta aplicadora em formato de pincel é excelente, pois facilita a aplicação de uma camada fina e homogênea. Praticidade, segurança, eficácia e zero sensibilidade!”
Dr. Paulo Gabriel Warmling
▶️Descubra o poder do Whiteness HP Automixx 6% para clareamento dental em pacientes jovens ✨💫
REFERÊNCIAS:
Centenaro GG, Favoreto MW, Cordeiro DCF, et al. Effect of the type of application tip for 35% hydrogen peroxide on bleaching efficacy and tooth sensitivity: A randomized clinical trial. J Esthet Restor Dent. 2024; 36(7): 1029-1037. doi:10.1111/jerd.13219.
Martins I, Onofre S, Franco N, Martins LM, Montenegro A, Arana Gordillo LA, Reis A, Loguercio AD, da Silva LM. Effectiveness of In-office Hydrogen Peroxide With Two Different Protocols: A Two-center Randomized Clinical Trial. Oper Dent. 2018 Jul/ Aug;43(4):353-361. doi: 10.2341/17-128-C. PMID: 29949479.
Maran BM, Matos TP, de Castro ADS, Vochikovski L, Amadori AL, Loguercio AD, Reis A, Berger SB. In-office bleaching with low/ medium vs. high concentrate hydrogen peroxide: A systematic review and meta-analysis. J Dent. 2020 Dec;103:103499. doi: 10.1016/j.jdent.2020.103499. Epub 2020 Oct 15. PMID: 33068711.
Goettems ML, Fernandez MDS, Donassollo TA, Henn Donassollo S, Demarco FF. Impact of tooth bleaching on oral health-related quality of life in adults: A triple-blind randomised clinical trial. J Dent. 2021 Feb;105:103564. doi: 10.1016/j.jdent.2020.103564. Epub 2020 Dec 26. PMID: 33359042.


