Manutenção óssea alveolar com Nanosynt e implantes dentários hexágono externo Vezza HE

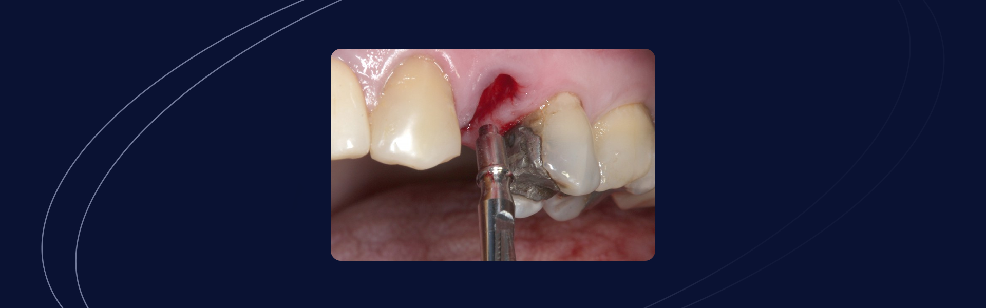
Autores: Diego Bazan e Fábio Lorenzoni Gênero e idade do paciente: Paciente do sexo masculino, 57 anos de idade. Queixa Principal Necessidade de exodontias e implantes dentários Avaliação inicial Após anamnese detalhada o paciente apresentava um bom estado de saúde geral. Durante o exame clínico e radiográfico foi detectado dente 46 com fratura radicular e […]
IFU
Comprovações Científicas
Mentoria FGM
Mentoria Biomateriais
Página Membrana Sintética
Página Enxerto Ósseo Nanosynt
Preenchimento Alveolar de Elemento Posterior com Fratura Associada à Restauração de Amálgama

Autor: Thiago Roberto Gemeli Amplas restaurações de amálgama comumente estão associadas à fraturas dentais, que por vezes, podem comprometer a permanência desses elementos em função. Quando a substituição de um elemento dentário por um implante se faz necessário e possível, uma série de avaliações locais são realizadas para tornar o resultado mais assertivo e previsível. […]
FGM Implantes: soluções à frente de seu tempo

A FGM Dental Group, líder em clareadores dentais e fabricante de produtos pioneiros no universo odontológico, aproveita seu reconhecimento mundial para expandir sua atuação também na área de Implantes e Biomateriais. Presente em mais de 10 países, a FGM Implantes possui a certificação CE, selo que confirma a qualidade dos produtos de acordo com parâmetros […]
Exodontia e preservação alveolar com Nanosynt e posterior reabilitação com implantes Vezza

Autores: Diego Bazan e Fabio Lorenzoni Gênero e idade do paciente: Paciente gênero feminino, 56 anos Queixa principal: Dente com grande perda de estrutura coronária e necessidade de reabilitação dentária posterior Avaliação inicial Após exame clínico e radiográfico observamos que o elemento 445 apresentava grande perda de estrutura dentária que inviabilizaria a sua manutenção bem […]