Ir para o conteúdo
  • Brasil
    • International
    • Esp – Latam
    • France
    • Italia
    • България
    • Hrvatska
    • Danmark
    • Suomi
    • Deutschland
    • Ελλάδα
    • Norge
    • Polska
    • Sverige
  • Brasil
    • International
    • Esp – Latam
    • France
    • Italia
    • България
    • Hrvatska
    • Danmark
    • Suomi
    • Deutschland
    • Ελλάδα
    • Norge
    • Polska
    • Sverige
  • Brasil
    • International
    • Esp – Latam
    • France
    • Italia
    • България
    • Hrvatska
    • Danmark
    • Suomi
    • Deutschland
    • Ελλάδα
    • Norge
    • Polska
    • Sverige
  • Pesquisar
  • Quem somos
  • Shop FGM Implants
  • Produtos
    • FGM Esthetics
      • Clareadores de consultório
      • Estética
      • Equipamentos
    • FGM Home Care
      • Clareadores caseiros
    • FGM Implants
      • Implantes
      • Biomateriais
      • Prótese
    • FGM Digital
      • Evolution Digital Solutions
      • Scanner Runyes IOS-11
      • Impressoras 3D Start & Print
      • Linha Voxelprint
  • Conteúdos
    • IFU – Manuais de Uso
    • Blog/ casos clínicos
    • Biblioteca
    • Vídeos
    • Mentorias
    • Eventos
  • Contato
    • Fale conosco
    • Consultor FGM Implants
    • Trabalhe conosco
    • Ouvidoria
    • Redes sociais FGM
    • 2ª via do boleto
    • Pacientes
  • Onde encontrar
    • Encontre Dentais
    • Shop FGM Implants
    • Lojas FGM Implants
  • Comprovação científica
    • Apoio a pesquisa
    • Comprovações científicas
    • Longevidade Arcsys
  • Quem somos

    FGM pelo Mundo

    Nossos valores

    História

    Unidades

    Premiações e certificações

    Manual de marca

    Sustentabilidade

  • Produtos
    FGM Esthetics

    Clareadores consultório

    Ver todos

    • Whiteness HP Automixx 35% Plus
    • Whiteness HP Automixx 6%
    • Whiteness HP Blue
    • Whiteness HP
    • Whiteness HP Maxx
    Menu
    • Whiteness HP Automixx 35% Plus
    • Whiteness HP Automixx 6%
    • Whiteness HP Blue
    • Whiteness HP
    • Whiteness HP Maxx

    Estética

    Ver todos

    • Elóra APS
    • Vittra APS Flow
    • Linha Assist
    • Ambar Universal APS PLUS
    • Vittra APS
    Menu
    • Elóra APS
    • Vittra APS Flow
    • Linha Assist
    • Ambar Universal APS PLUS
    • Vittra APS

    Equipamentos

    Ver todos

    • Fotopolimerizador Quazar
    FGM Home Care

    Clareadores caseiros

    Ver todos

    • Whiteness Perfect
    • White Class
    • White Care
    • Whiteness Simple
    • Desensibilize KF 0,2%
    • Placas para moldeiras Whiteness
    Menu
    • Whiteness Perfect
    • White Class
    • White Care
    • Whiteness Simple
    • Desensibilize KF 0,2%
    • Placas para moldeiras Whiteness

    Saúde e Higiene Oral

    Ver todos

    • Witsmile Freshness
    • Witsmile Clean Sense
    • Witsmile Comfort Sense
    • Witsmile Expansive Floss
    • Witsmile Original Floss
    • Witsmile Simple Tape
    Menu
    • Witsmile Freshness
    • Witsmile Clean Sense
    • Witsmile Comfort Sense
    • Witsmile Expansive Floss
    • Witsmile Original Floss
    • Witsmile Simple Tape
    FGM Implants

    Implantes

    Ver todos

    • Sistema de Implantes Aikkon
    • Sistema de Implantes Arcsys
    • Sistema de Implantes Vezza
    • Cirurgia Guiada Arcsys
    • Cirurgia Guiada Precision
    • Fluxo Digital
    Menu
    • Sistema de Implantes Aikkon
    • Sistema de Implantes Arcsys
    • Sistema de Implantes Vezza
    • Cirurgia Guiada Arcsys
    • Cirurgia Guiada Precision
    • Fluxo Digital

    Biomateriais

    Ver todos

    • Linha Nanosynt
    • Enxerto ósseo Nanosynt Block
    • Enxerto ósseo Nanosynt
    Menu
    • Linha Nanosynt
    • Enxerto ósseo Nanosynt Block
    • Enxerto ósseo Nanosynt

    Prótese

    Ver todos

    • Fiber Pro
    • Brava Block
    FGM Digital

    Soluções Digitais

    Ver todos

    • Evolution Digital Solutions
    • Scanner Intraoral
    • Impressoras 3D Start&Print
    • Voxelprint
  • Conteúdos
    Blog

    Casos clínicos e matérias especiais

    Elóra APS: A ciência por trás da composição que eleva a performance dos compósitos restauradores

    Clareamento dental com técnica associada: consultório e caseiro supervisionado

    Técnica associada de clareamento dental: eficácia e ausência de sensibilidade

    Três décadas FGM: as raízes do sucesso

    Clareamento dental pela técnica caseira: praticidade, segurança e eficácia comprovadas

    Evolution Digital Solutions: a transformação do fluxo digital na odontologia moderna

    Ver todas publicações

    Biblioteca

    Eventos

    IFU (Manual de Uso)

    Mentorias

    Vídeos

  • Contato

    Fale conosco

    Consultor FGM Implants

    Trabalhe conosco

    Canal de ouvidoria

    Intranet FGM Conecta

    Redes sociais

    2ª via de boleto

    Pacientes

  • Onde encontrar

    Encontre Dentais

    Shop FGM Implants

    Lojas FGM Implants

  • Comprovação científica

    Programa de Incentivo à Pesquisa

    Comprovações científicas

    Longevidade Arcsys

logo fgm 30anos horizontal azul - FGM News 2026

A FGM News 2026
está disponível!

Pioneirismo • Liderança • Ciência

Baixar agora!
mockup fgmnews26 - FGM News 2026

FGM News: Edição Especial

A publicação científica da FGM completa sua 28ª edição, consolidando sua presença na odontologia com o conceito de integrar profissionais de diferentes especializações, promovendo soluções, tecnologia e inovações em um formato único.

Baixe agora a versão digital e tenha acesso a todos os conteúdos, casos clínicos e indicações de especialistas!

fgm 30 anos branco - FGM News 2026
logo fgm implantes 30anos horizontal branco - FGM News 2026

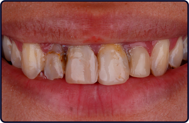
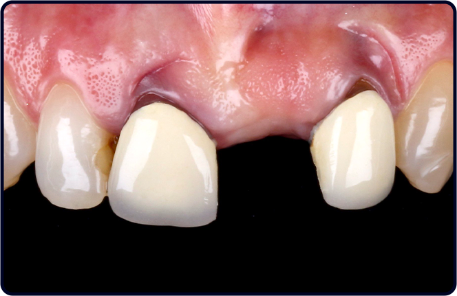
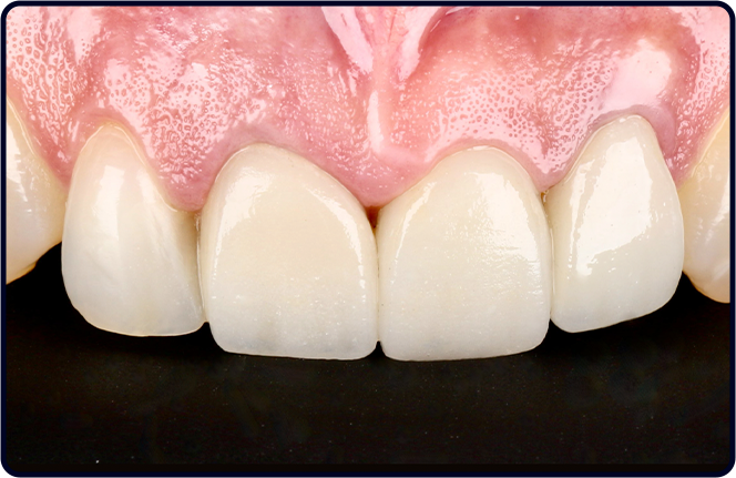
CASOS CLÍNICOS

Autora: Profª. Dra. Barbara Bravo

casos clinicos lp fgmnews 26 1 antes - FGM News 2026

Aspecto inicial.

casos clinicos lp fgmnews 26 1 depois - FGM News 2026

Aspecto final.

Autor: Prof. Dr. Edwin Ruales

casos clinicos lp fgmnews 26 2 antes 1 - FGM News 2026

Aspecto inicial.

casos clinicos lp fgmnews 26 2 antes - FGM News 2026

Aspecto final.

Baixar agora!

Três décadas de FGM: as raízes do sucesso

A FGM Dental Group carrega o maior portfólio do segmento, que vai do consagrado e premiado Whiteness Perfect até o inovador Whiteness HP Blue, com formulação inteligente e tecnologia de ponta.​ 

Como uma árvore que cresce com propósito e resiliência, a FGM simboliza a força da inovação enraizada em princípios éticos e humanos. Cada produto lançado é fruto dessa visão: soluções que inspiram confiança e transformam vidas ao redor do mundo.

Baixar agora!
elemento arvore dourada 30anos - FGM News 2026
logo fgm 30anos horizontal azul - FGM News 2026
logo fgm implantes 30anos horizontal azul - FGM News 2026

FGM Dental Group

  • Sobre a FGM
  • Manual de marca
  • Onde Encontrar
  • Eventos
  • Casos Clínicos
  • Biblioteca
  • Comprovações Científicas
  • Pacientes
  • Shop FGM Implants
  • Sobre a FGM
  • Manual de marca
  • Onde Encontrar
  • Eventos
  • Casos Clínicos
  • Biblioteca
  • Comprovações Científicas
  • Pacientes
  • Shop FGM Implants

Legal

  • IFU
  • Política de privacidade
  • Política de troca comercial Implantes
  • Programa de Incentivo à Pesquisa
  • 2° Via de Boleto
  • Política de Fornecimento
  • Relatório de Transparência Salarial
  • Manual de marca
  • Aviso de Fraude em Boletos
  • Política de Atendimento ao Cliente Linha Witsmile
  • IFU
  • Política de privacidade
  • Política de troca comercial Implantes
  • Programa de Incentivo à Pesquisa
  • 2° Via de Boleto
  • Política de Fornecimento
  • Relatório de Transparência Salarial
  • Manual de marca
  • Aviso de Fraude em Boletos
  • Política de Atendimento ao Cliente Linha Witsmile

Linhas de atuação

  • Estética
  • Clareadores
  • Implantes
  • Biomateriais
  • Prótese
  • Estética
  • Clareadores
  • Implantes
  • Biomateriais
  • Prótese

Consultor FGM Implantes

  • 0800 644 6111
  • WhatsApp

Central de Relacionamento

  • 0800 644 6100
  • WhatsApp
  • Entre em contato
  • Trabalhe Conosco
Siga a FGM nas redes sociais
Shop FGM Implants
Consultor FGM Implants

©

2026

FGM Dental Group.

Selecione seu idioma

Select your language

brasil
Brasil
Esp - Latam
intl
International
United States
france
France
italiano
Italia
българия
България
croata
Hrvatska
dinamarca
Danmark
finlandes
Suomi
alemanha
Deutschland
grecia
Ελλάδα
noruega
Norge
polonia
Polska
suecia
Sverige