Clareamento dental de consultório associado ao recontorno cosmético
Autor: Dra. Alexia Suemi Nakashima
PACIENTE DO SEXO MASCULINO, 24 ANOS DE IDADE
Apresentou-se insatisfeita com a cor e formato dos dentes.
Avaliação inicial
Após anamnese, exame clínico e radiográfico, não foi verificado qualquer achado clínico relevante, paciente cárie zero.
O tratamento foi iniciado com a profilaxia profissional e após três dias a paciente retornou para o clareamento dental. O tratamento clareador foi realizado em duas etapas: uma em consultório e outra seguindo a técnica de clareamento caseiro.
Tratamento executado
Na primeira consulta foi realizado a raspagem supragengival e polimento dos dentes para remoção do cálculo dental. Na segunda consulta, foi dado início ao processo de clareamento dental com a técnica de consultório, seguindo o seguinte passo a passo: primeiramente realizado a profilaxia com pedra pomes para remoção do biofilme e maximização do contato do gel com a superfície dental e a tomada de cor inicial com a Escala Vita Clássica, sendo selecionado a cor A1. Em seguida, foi utilizado o afastador labial Arcflex para facilitar manipulação e visualização da cavidade bucal.
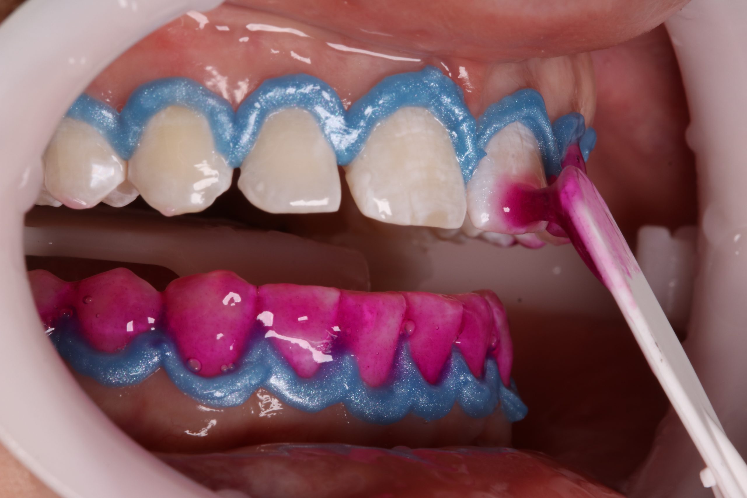
A gengiva e os dentes foram secos para aplicação da barreira gengival Top Dam, a qual foi realizada com 1mm de espessura e fotopolimerizada durante 20 segundos, de segundo pré-molar até segundo pré-molar do lado oposto em ambas arcadas. Logo após, foi utilizado o gel dessensibilizante contendo nitrato de potássio e fluoreto de sódio 2% (Desensibilize KF 2%) durante 10 min para maior conforto do paciente durante e após o procedimento. Após a dessensibilização, o gel foi aspirado e deu-se início ao clareamento propriamente dito.
O clareador de eleição foi o Whiteness HP 35% com sistema de frascos. Assim como é preconizado pelo fabricante, foi utilizado a proporção de 3 gotas do peróxido de hidrogênio (fase 1) para 1 gota de espessante (fase 2), misturado durante 40 segundos até possuir uma viscosidade de baixo escoamento e aplicado o gel clareador nos dentes com o aplicador disponibilizado no kit.
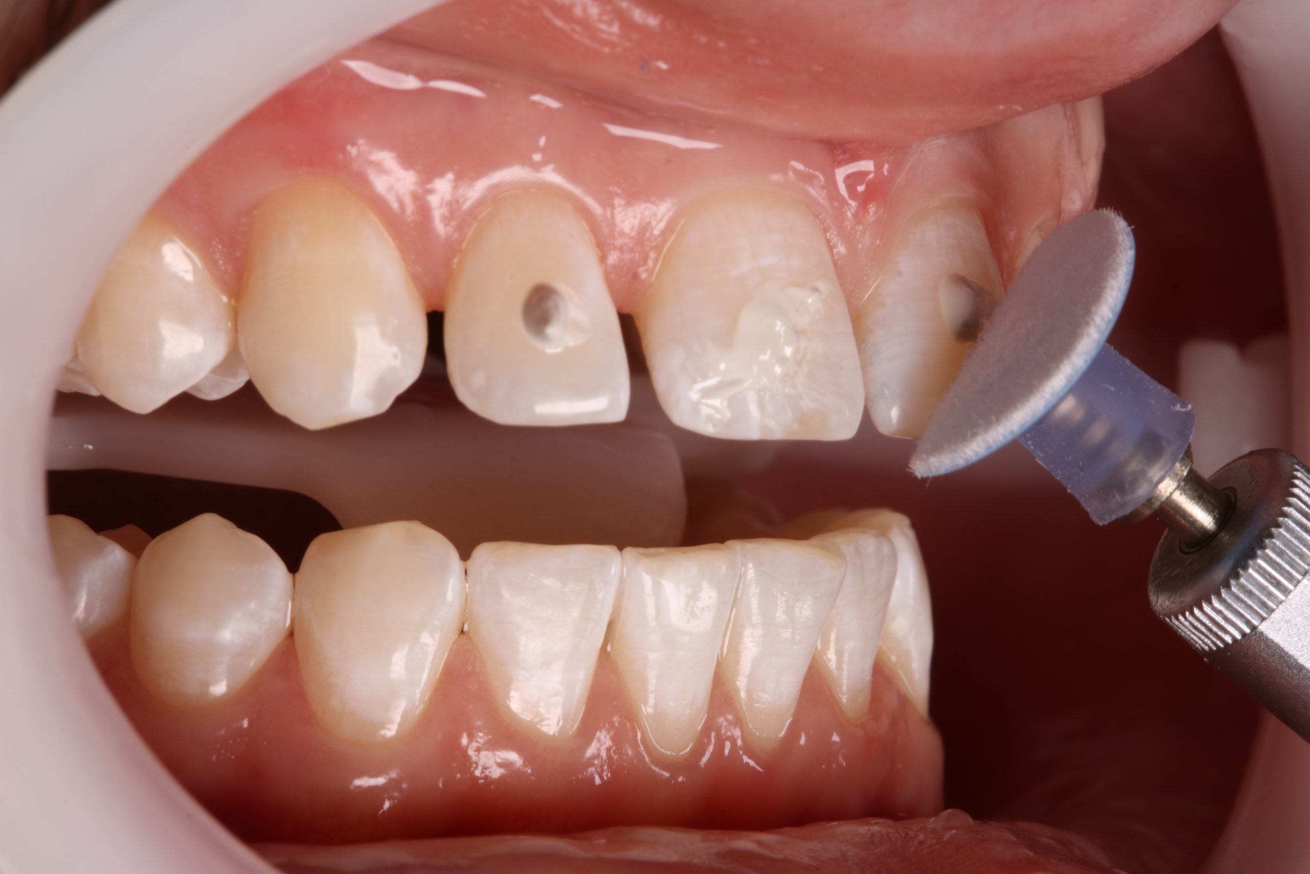
O gel clareador foi trocado apenas uma vez em uma sessão de 45 minutos, por conta da hipersensibilidade dental do paciente. Ao final da sessão realizou-se nova aplicação de gel dessensibilizante durante 10 min, removido a barreira gengival e realizado o polimento das superfícies vestibulares com pasta de polimento (Diamond Excel Ultrafine) e discos de feltro (Diamond Flex).
A segunda e terceira sessão foram realizadas com 7 dias de intervalo entre as sessões e a mesma técnica de clareamento foi empregada. Ao final do clareamento, foi realizado uma nova tomada de cor, sendo o resultado obtido cor B1 (Fig. 19). Para correção do tamanho e formato dos dentes anteriores superiores, foi optado por realizar recontorno cosmético com resina composta do dente 13 ao 23, utilizando resina Vittra APS cor EB1 para camada palatina e Vittra APS Unique para faces vestibulares e interproximais trazendo mais harmonia para o sorriso final do paciente (Fig. 23).
Passo a passo

1 | Sorriso inicial.

2 | Profilaxia com pedra pomes e água.

3 | Registro da cor inicial A1 com escala Vita Clássica.

4 | Aplicação da barreira gengival Top Dam.

5 | Aplicação dessensibilizante Desensibilize 2%.

6 | Mistura do peróxido de hidrogênio e espessante Whiteness HP 35%.

7 | Aplicação do gel clareador na superfície vestibular dos dentes a serem clareados.

8 | Gel clareador Whiteness HP 35% aplicado de pré-molar a pré-molar em ambas arcadas.

9 | Gel clareador Whiteness HP 35% no processo de oxidação e com mudança de cor.

10 | Polimento das superfícies vestibulares com discos de feltro Diamond Flex e pasta de polimento Diamond Excel Ultrafine.

11 | Registro da cor final B1 da escala Vita Clássica.

12 | Sorriso final.
Produtos utilizados
Top Dam, Desensibilize KF 2%, Whiteness HP, Arflex, Diamond Excel Ultrafine, Diamond Flex.