Clareamento Caseiro: A solução estética e confortável para dentes amarelados
Autor: Dra. Carolina Cristina Silva Vasconcelos
PACIENTE DO SEXO FEMININO, 21 ANOS DE IDADE
Incômodo na cor dos dentes, relatou os achar “amarelados” e ter o desejo de ter dentes naturalmente mais brancos.
Avaliação inicial
A avaliação inicial da paciente envolveu uma anamnese cuidadosa e exames clínico e radiográfico detalhados. Os exames revelaram a presença de ranhuras generalizadas no esmalte dental vestibular, provavelmente decorrentes da remoção dos bráquetes ortodônticos, um fenômeno bem documentado na literatura (Janiszewska-Olszowska et al., 2014).
Durante o exame clínico, não foram identificadas lesões cariosas ativas ou cavitadas, nem restaurações, tanto nos dentes anteriores quanto nos posteriores. Contudo, observou-se a presença de pequena retração gengival no dente 33, sem associação com sintomas e uma assimetria gengival entre os dentes 13 e 23 por um excesso gengival no dente 23. Esses achados ressaltam a necessidade de uma avaliação minuciosa da saúde bucal e das condições dentárias dos pacientes antes de se iniciar um tratamento de clareamento dental, a fim de garantir a eficácia e segurança do procedimento.
Nesse contexto, após a correção gengival com bisturi elétrico no dente 23, a paciente recebeu a proposta de realizar sessões de clareamento dental caseiro, uma vez que essa abordagem apresenta uma alta taxa de sucesso e não requer intervenção na estrutura dental saudável, sendo uma técnica conservadora e eficaz para atender a sua queixa principal (Fioresta et al., 2023).
Tratamento executado
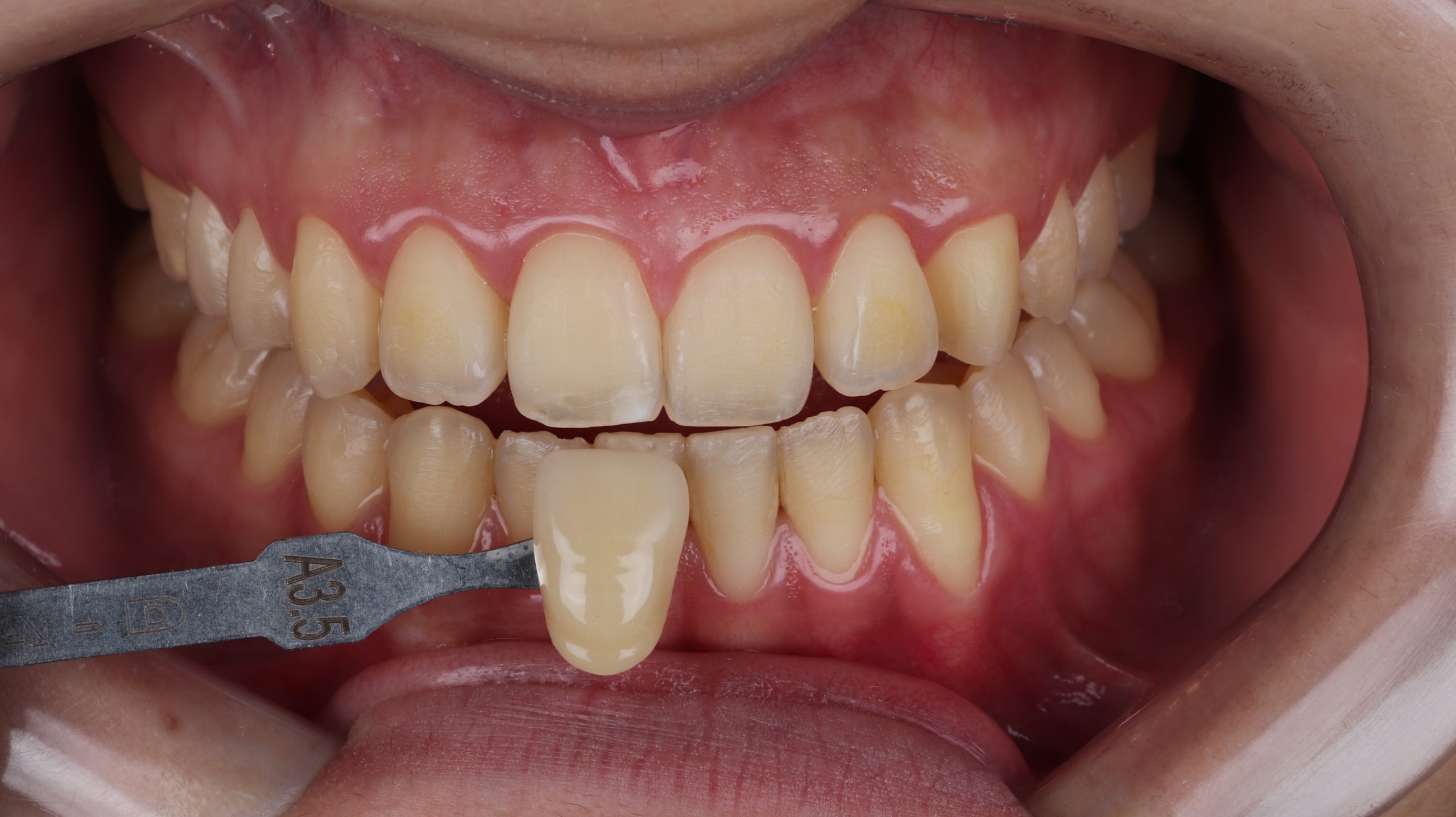
O protocolo de tratamento iniciou-se com a realização de uma raspagem supra-gengival e profilaxia com pedra-pomes. A avaliação inicial da tonalidade dentária da paciente foi realizada utilizando a escala de cor A-D (Vita Classical), e a tonalidade A3,5 foi selecionada para os dentes anteriores.
Em seguida, foram realizadas moldagens dos arcos dentários com alginato para obtenção de modelos em gesso. Moldeiras de silicone de 1 mm de espessura da linha Whiteness FGM foram confeccionadas sobre esses modelos utilizando uma plastificadora a vácuo. As moldeiras foram recortadas acima do nível gengival e submetidas a avaliação clínica para testar sua adaptação, retenção e conforto.
A paciente foi orientada a aplicar uma pequena quantidade de peróxido de carbamida Whiteness Perfect 16% nas faces vestibulares dos dentes a serem clareados. O uso recomendado foi de 2 horas diárias até o término da primeira bisnaga (aproximadamente 10 dias).
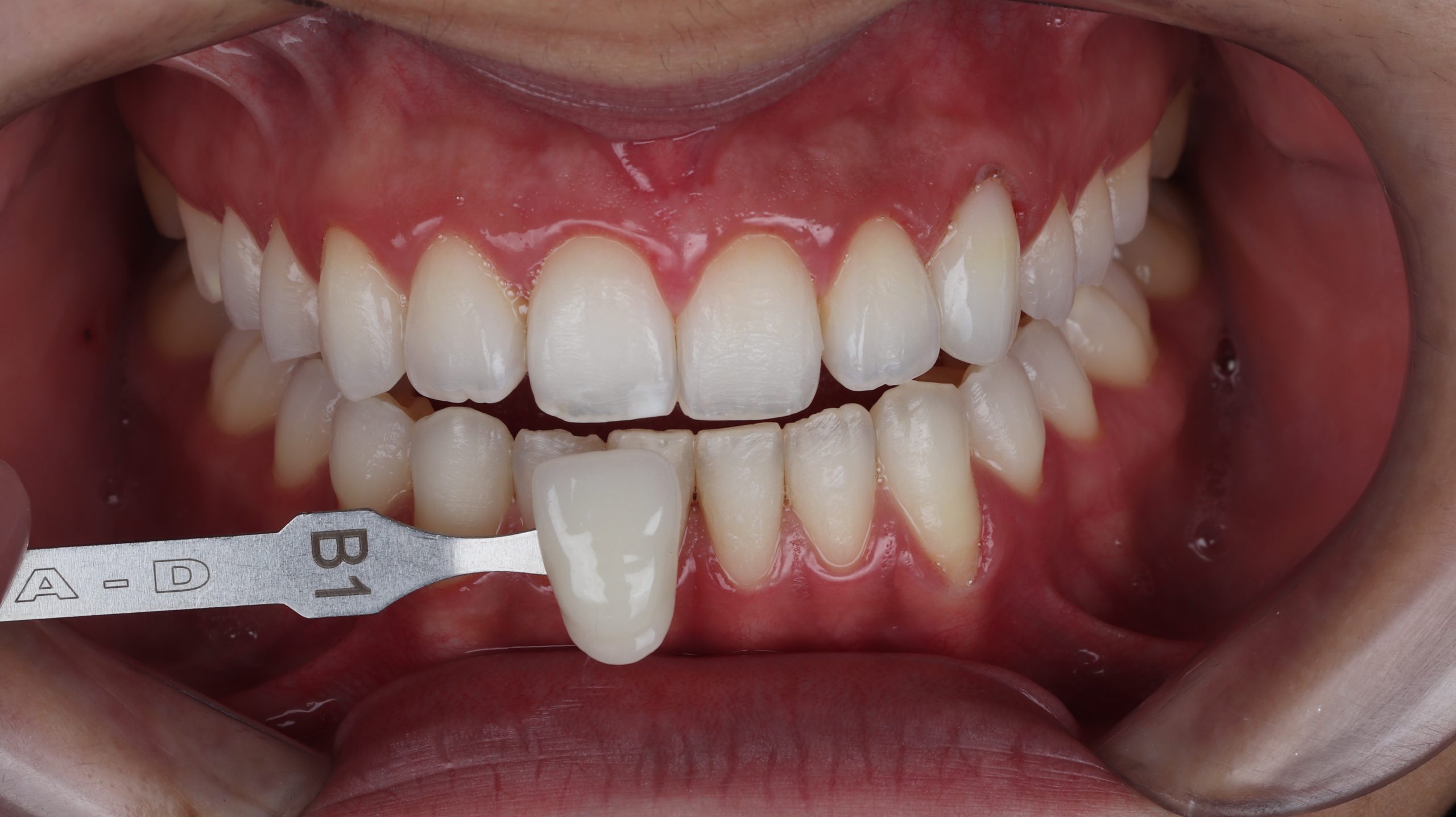
Na ausência de relatos de sensibilidade dental, a paciente passou a utilizar o peróxido de carbamida Whiteness Perfect 22% por 2 horas diárias, durante 20 dias. A paciente foi acompanhada semanalmente, e ao final do tratamento, realizou-se a avaliação final da tonalidade dentária que demonstrou total satisfação com o resultado obtido com o clareamento caseiro.
Após a conclusão bem sucedida da etapa de clareamento, implementou-se um cuidadoso polimento utilizando pasta de diamante micronizado de granulação extrafina Diamond Excel. Em seguida, procedeu-se pela aplicação de resina composta Vittra TRANS N
face mesio-vestibular do dente 23.
Passo a passo

1 | Sorriso inicial.

2 | Foto frontal, comparando com a escala de cor (Classical - Vita)

3 | Aplicação do gel Whiteness Simple na moldeira

4 | Moldeira adaptada no arco dental.

5 | Sorriso final pós clareamento.

6 | Foto frontal, comparando com a escala de cor final

7 | Aplicação da pasta de polimento Diamond Excel.

8 | Polimento com disco de lixa extrafino Diamond Pro.

9 | Acréscimo em resina composta Vittra APS TRANS N

10 | Comparação com as cores inicial e final da escala.

11 | Sorriso frontal após 1 ano de acompanhamento.
Produtos utilizados
Whiteness Simple, Diamond Excel, Diamond Pro, Vittra APS.