Resumo: Caso clínico de reabilitação estética com laminados cerâmicos, planejamento digital e cimentação Allcem Veneer, garantindo resultado natural e harmônico.
Autores: Dr. Felipe Pinto Paredes Rodrigues e TPD Ariel Arnã da Costa
SEXO E IDADE DO PACIENTE: Paciente do sexo masculino, 36 anos de idade.
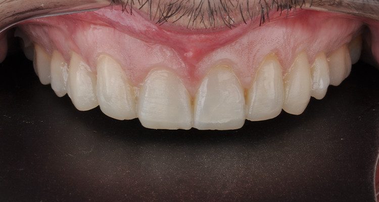
QUEIXA PRINCIPAL: Insatisfação estética com relação ao formato e coloração dos dentes.
AVALIAÇÃO INICIAL
Após anamnese, exame clínico e radiográfico, foi constatada a presença de diastemas, com tamanho e formato inadequados, além de agenesia dos dentes 12 e 22, com os caninos ocupando o espaço desses respectivos dentes.
TRATAMENTO EXECUTADO
Inicialmente, foi realizado um escaneamento intraoral no paciente e, em uma segunda etapa, o planejamento digital para uma reabilitação estética com laminados cerâmicos. Durante o planejamento, foram avaliados a proporção do tamanho dos dentes os contatos oclusais e guias de desoclusão. Na sequência, foi então realizado um mockup com resina bisacrílica PrimmaArt na cor A2, aonde o paciente aprovou o planejamento.
Na sessão seguinte, os preparos foram realizados sobre o mockup, visando a redução dos desgastes e preservação do esmalte dentário. A moldagem foi então realizada pela técnica de dupla moldagem com silicone de adição Silic-One. Nesta etapa, o paciente definiu a cor BL3 para os laminados cerâmicos
Para verificar a adaptação das peças protéticas, a prova seca dos laminados cerâmicos foi realizada. Na mesma sessão, também foi feito o teste de cor do cimento, utilizando a pasta Allcem Veneer Try-in nas cores Trans e Bleach.
Na etapa de cimentação, o condicionamento dos laminados foi realizado com Condac Porcelana 5%, por 20 segundos, e finalizado com a aplicação do adesivo com silano Ambar Universal APS Plus. Devido a presença de silano na composição do adesivo, o número de etapas foi reduzido e o procedimento tornou-se mais rápido e econômico, visto que, não houve a necessidade de aplicação prévia de silano
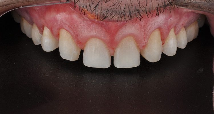
Os dentes foram condicionados pela técnica de condicionamento ácido total com o Condac 37 por 15 segundos. Após o condicionamento, o adesivo Ambar Universal APS Plus foi aplicado na superfície dos dentes, conforme as orientações do fabricante. A cimentação foi então concluída com a cor planejada do Allcem Veneer APS Trans. O resultado natural e harmônico, condizente com o planejado, foi perfeitamente aceito pelo paciente, o que gerou um aumento da sua autoestima.
PASSO A PASSO

1A | Aspecto inicial do sorriso do paciente.

1B | Aspecto inicial intraoral.

2 | Planejamento estético com Primmaart, na cor A2 – mockup.

3 | Guias de orientação – preparo sobre mockup.

4 | Término com brocas para micropreparos.

5 | Aspecto dos dentes após o preparo sobre mockup.

6 | Inserção do fio de afastamento gengival.

7 | Moldagem superior em silicone de adição Silic-One.

8 | Condicionamento com Condac Porcelana 5%.

9 | Aplicação do adesivo Ambar Universal APS Plus nos laminados.

10 | Aplicação do ácido fosfórico Condac 37.

11 | Após condicionamento dos dentes com Condac 37, foi realizada a aplicação do adesivo Ambar Universal APS Plus.


12A e 12B | Cimentação com Allcem Veneer APS Trans, remoção dos excessos e fotoativação com Quazar.

13 | Foto intraoral final.

14 | Aspecto final do sorriso.
🔗Confira um vídeo passo a passo de utilização do Allcem Veneer!
PRODUTOS UTILIZADOS








