Resumo: Clareamento caseiro supervisionado com Whiteness Perfect 22% oferece dentes mais brancos, eficácia comprovada e tratamento sem sensibilidade.
Autora: Dra. Juliana Lopes de Sá
SEXO E IDADE DO PACIENTE: Paciente do sexo feminino, 22 anos de idade.
QUEIXA PRINCIPAL: Insatisfação com a coloração dos elementos dentários
AVALIAÇÃO INICIAL
Durante a anamnese, a paciente relatou grande insatisfação com a cor dos seus dentes, principalmente após remover o aparelho ortodôntico. Explicou que, apesar de ter vontade de clarear os dentes, nunca havia realizado, por receio de sentir sensibilidade. Após exame clínico intraoral, a paciente passou por uma adequação do meio bucal para que houvesse saúde bucal antes do clareamento, onde não foram observados elementos dentários cariados, fraturados ou com periodontopatias.
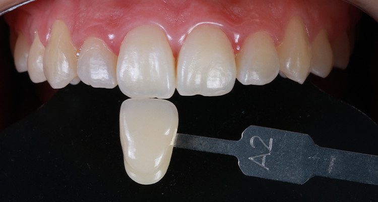
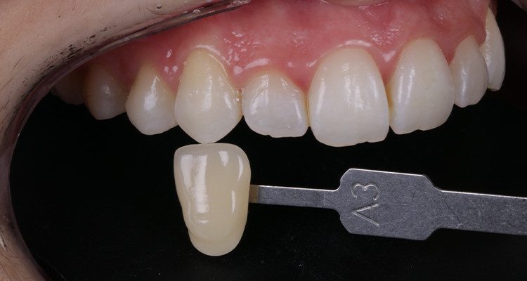
No exame intraoral utilizando a escala de cor Vita, foi observada a cor A2 nos terços médios dos incisivos e A3 para caninos. Foram levadas em consideração a idade da paciente e possível sensibilidade dentária, sendo então proposto o clareamento com o Whiteness Perfect 22% com o objetivo de utilizar um gel caseiro para maior comodidade da paciente, realizado em casa sob supervisão do cirurgião-dentista.
TRATAMENTO EXECUTADO
Para iniciar o tratamento proposto, foi realizada a profilaxia seguida do protocolo fotográfico, que evidenciou as cores A2 para incisivos e A3 para caninos. O procedimento iniciou com a moldagem das arcadas superior e inferior com alginato de boa qualidade. Em seguida, foi feito o vazamento do gesso para posterior confecção da moldeira de silicone, com as placas para moldeiras Whiteness. Depois de confeccionadas e higienizadas, a paciente recebeu as moldeiras para realização do teste em boca, para checar se estava bem adaptada ou se havia compressão de tecido mole.
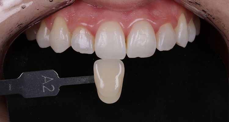
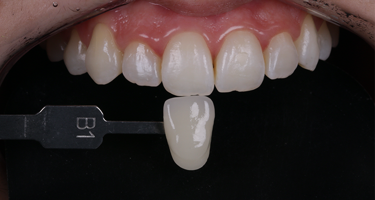
Para iniciar o clareamento, a paciente foi orientada a utilizar o gel clareador caseiro diariamente, por cerca de 1 hora, visto que se trata de uma concentração de 22% de peróxido de carbamida, sendo tempo suficiente para a ação clareadora diária. Além disso, o Whiteness Perfect possui composição dessensibilizante, além do pH próximo do neutro. Após passados 35 dias de tratamento, a paciente retornou para avaliar a cor final, onde foi evidenciada a coloração B1 para incisivos e A1 para caninos. Com o resultado, pode-se concluir que o tratamento foi extremamente eficaz com sensibilidade nula e completa satisfação da paciente.
PASSO A PASSO DO CLAREAMENTO CASEIRO

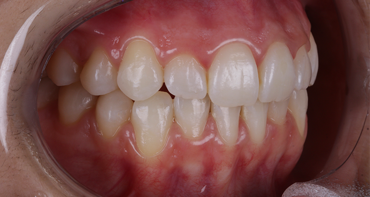
1 | Aspecto inicial.

2 | Foto intrabucal comparando escala de cores VITA – Incisivo A2, correspondendo a cor inicial do caso

3 | Foto intrabucal comparando escala de cores VITA – canino A3, correspondendo a cor inicial do caso.

4 | Aplicação do gel clareador na moldeira

5 | Gel aplicado.

6 | Adaptação da moldeira superior.

7 | Moldeira superior adaptada.

8 | Moldeira inferior adaptada.

9 | Foto intrabucal frontal após 35 dias do clareamento caseiro, comparando com a escala de cores VITA que foi selecionada no início do caso – A2 incisivo

10 | Foto intrabucal lateral após 35 dias do clareamento caseiro, comparando com a escala de cores VITA que foi selecionada no início do caso – A3 canino

11 | Foto intrabucal frontal comparando com a escala de cores VIT A, compatível com a cor final obtida após o clareamento – B1 incisivo.

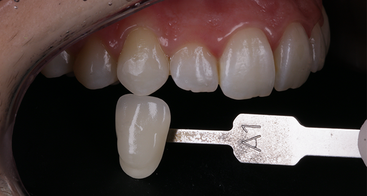
12 | Foto intrabucal lateral comparando com a escala de cores VIT A, compatível com a cor final obtida após o clareamento – A1 canino.

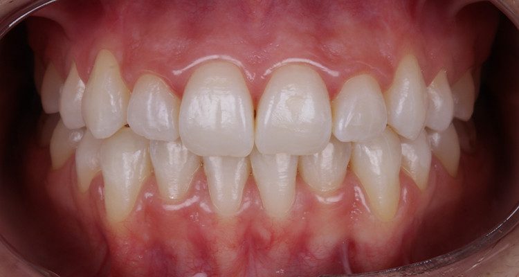
13 | Foto intrabucal frontal final.

14 | Foto intrabucal, lateral esquerda final

15 | Aspecto final.
Participe do Programa Especialista Whiteness e alcance o nível Diamante para receber todos os benefícios exclusivos!
O Programa Especialista Whiteness é uma comunidade exclusiva e gratuita, criada para cirurgiões-dentistas que querem se destacar na odontologia estética.
Ao participar do Especialista Whiteness, você pode fazer parte da galeria de casos clínicos e divulgar seus sorrisos transformados com a linha Whiteness!
▶️Saiba mais sobre o gel clareador caseiro Whiteness


