Autores: Prof. Dr. Rafael Cury Cecato e Prof. Dr. Thiago Gemeli
PACIENTE DO SEXO FEMININO, 32 ANOS DE IDADE.
A paciente apresentou-se à clínica com a demanda de reabilitação oral na região do elemento 26, previamente perdido há longo período. A ausência dentária resultava em comprometimento estético, afetando a harmonia do sorriso e repercutindo negativamente em sua interação social.
AVALIAÇÃO INICIAL
Na primeira consulta, foi realizada anamnese minuciosa, não sendo identificados fatores sistêmicos ou locais que representassem risco ao procedimento cirúrgico. Em seguida, foram conduzidos exames clínicos extraorais e intraorais. A análise intraoral evidenciou saúde periodontal satisfatória, ausência dos elementos dentários 26, 37 e 47, além de redução da dimensão vestíbulo-palatal na região correspondente ao elemento 26, sugerindo atrofia óssea localizada. Após o exame clínico, foram solicitados exames complementares, incluindo tomografia computadorizada de feixe cônico (TCFC) para avaliação tridimensional da estrutura óssea e escaneamento intraoral para planejamento digital da reabilitação.
TRATAMENTO EXECUTADO
A cirurgia guiada é reconhecida como um dos avanços mais relevantes na implantodontia moderna, oferecendo precisão e previsibilidade ao posicionamento tridimensional dos implantes. O processo inicia-se com um planejamento virtual detalhado, realizado por meio de softwares que integram exames de imagem sobrepostos, permitindo simular a posição ideal do implante em um modelo digital personalizado do paciente.
A partir dessa etapa, são confeccionados guias cirúrgicos com tolerâncias mínimas, que direcionam a perfuração e a instalação do implante com segurança. No caso relatado, um implante cônico aparafusado foi planejado e instalado de forma guiada, confirmando os benefícios mencionados. A tomografia revelou espessura óssea reduzida e proximidade do seio maxilar, exigindo planejamento preciso. Foi selecionado um implante Aikkon (3,3 × 11 mm), posicionado 2 mm infra ósseo, tangenciando a parede medial do seio.
Embora a instalação do implante por técnica flapless fosse viável, a presença de deformidade estética na região vestibular indicou a necessidade de descolamento do tecido, associado à realização de enxerto conjuntivo complementar na área operada. O implante foi selado com cicatrizador Aikkon (5 mm) e, após 21 dias, realizou-se a instalação do pilar Aikkon.
Na mesma sessão, procedeu-se ao escaneamento intraoral utilizando o scanbody do pilar Aikkon, com o objetivo de confeccionar a prótese por tecnologia de impressão 3D. Cinco dias após o escane amento, a peça definitiva foi instalada, empregando link para pilar Aikkon e a resina Voxelprint Ceramic. Conclui-se que a cirurgia guiada representa uma ferramenta essencial na implantodontia contemporânea, garantindo resultados seguros, precisos e previsíveis.
PASSO A PASSO

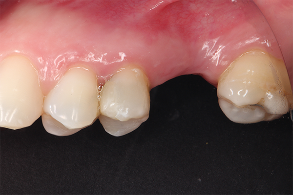
1 | Condição clínica inicial.

2 | Condição tomográfica inicial.

3 | Planejamento cirúrgico virtual.

4 | Vista oclusal evidenciando o defeito vestibular do rebordo.

5 | Incisão e descolamento tecidual.

6 | Instalação do guia cirúrgico.

7 | Perfuração guiada.

8 | Utilização do limitador de profundidade.

9 | Imagem ilustrativa demonstrando as características macrogeométricas e a microtextura da superfície do implante Aikkon.

10 | Início da instalação do implante (com contra-ângulo).

11 | Chave de instalação após desacoplamento do contra-ângulo.

12 | Finalização da instalação com adaptador de catraca CGA.

13 | Verificação do torque obtido.

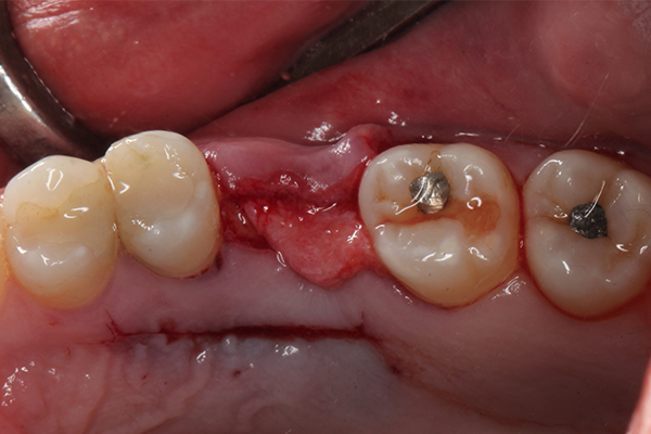
14 | Vista oclusal do implante instalado.

15 | Tecido conjuntivo coletado.

16 | Acomodação do tecido conjuntivo no defeito vestibular do rebordo.

17 | Vista oclusal do cicatrizador e sutura.

18 | Vista vestibular do cicatrizador e sutura.

19 | Aspecto tecidual após 21 dias da instalação do cicatrizador.

20 | Vista oclusal do tecido periimplantar após 21 dias do procedimento cirúrgico.

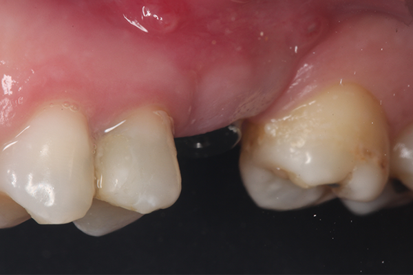
21 | Vista oclusal do pilar Aikkon instalado com torque de 32 N.cm.

22 | Vista oclusal do scan body instalado sobre o pilar Aikkon.

23 | Vista oclusal da coifa de proteção instalada sobre o pilar Aikkon. 24 | Peça modelada em software específico.

24 | Peça modelada em software específico.

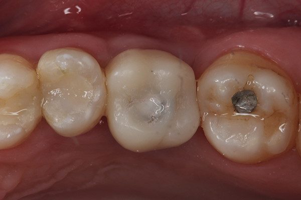
25 | Aspecto oclusal da prótese definitiva após sua instalação clínica.

26 | Vista vestibular da prótese definitiva posicionada sobre o implante Aikkon.
Saiba mais sobre o lançamento Cirurgia Guiada Precision!






