Segurança e resistência na endodontia
Conheça a linha completa FGM
Opinião de especialistas
Acompanhe a reabilitação com pino de fibra de vidro de dente fragilizado
Autor: Prof. Dr. Carlos José Soares.

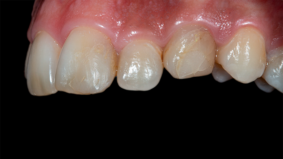
1 | Aspecto do dente 23 após remoção de restauração provisória.

2 | Preparo do conduto com broca específica do pino Whitepost System DC-E 2.

3 | Aplicação de álcool 70% para limpeza do pino de fibra de vidro

4 | Aplicação ativa de Prosil por um minuto em toda superfície do pino.

5 | Após secagem do conduto radicular, aplicação do adesivo Ambar Universal APS seguido de fotopolimerização.

6 | Aplicação do Allcem Core.

7 | Inserção do pino Whitepost System DC-E 2 no conduto radicular.

8 | Confecção de núcleo de preenchimento e preparo para coroa total.

9 | Cimentação da coroa cerâmica com Allcem Core.

11 | Aspecto inicial

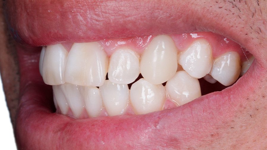
12 | Resultado final após cimentação da coroa e clareamento dental.
Segurança, resistência e longevidade com Whitepost System
Ao restaurar molares mandibulares sem remanescente coronário, o uso de pinos de fibra de vidro promove uma maior resistência à fadiga a cargas oblíquas¹
¹Vazzoler LO, Rosa LSD, Velho HC, et al. Exploring fiberglass post numbers for enhanced fatigue resistance in molars without coronary remnants. Braz Dent J. 2024;35:e245946. Published 2024 Sep 16. doi:10.1590/0103-6440202405946