Clareamento em consultório com Whiteness HP Automixx 6% em paciente jovem
Autor: Dra. Juliana Lopes de Sá
Paciente sexo masculino, 15 anos de idade
Apresentou-se insatisfeita com a coloração dos elementos dentários
Avaliação inicial
Paciente chegou à Clínica Odontológica com a queixa principal de “dentes amarelados”. Durante a anamnese, paciente relatou grande insatisfação com a cor dos seus dentes, alegando que era assunto comentado na escola em que estudava, manifestando grande vontade de realizar o tratamento de clareamento.
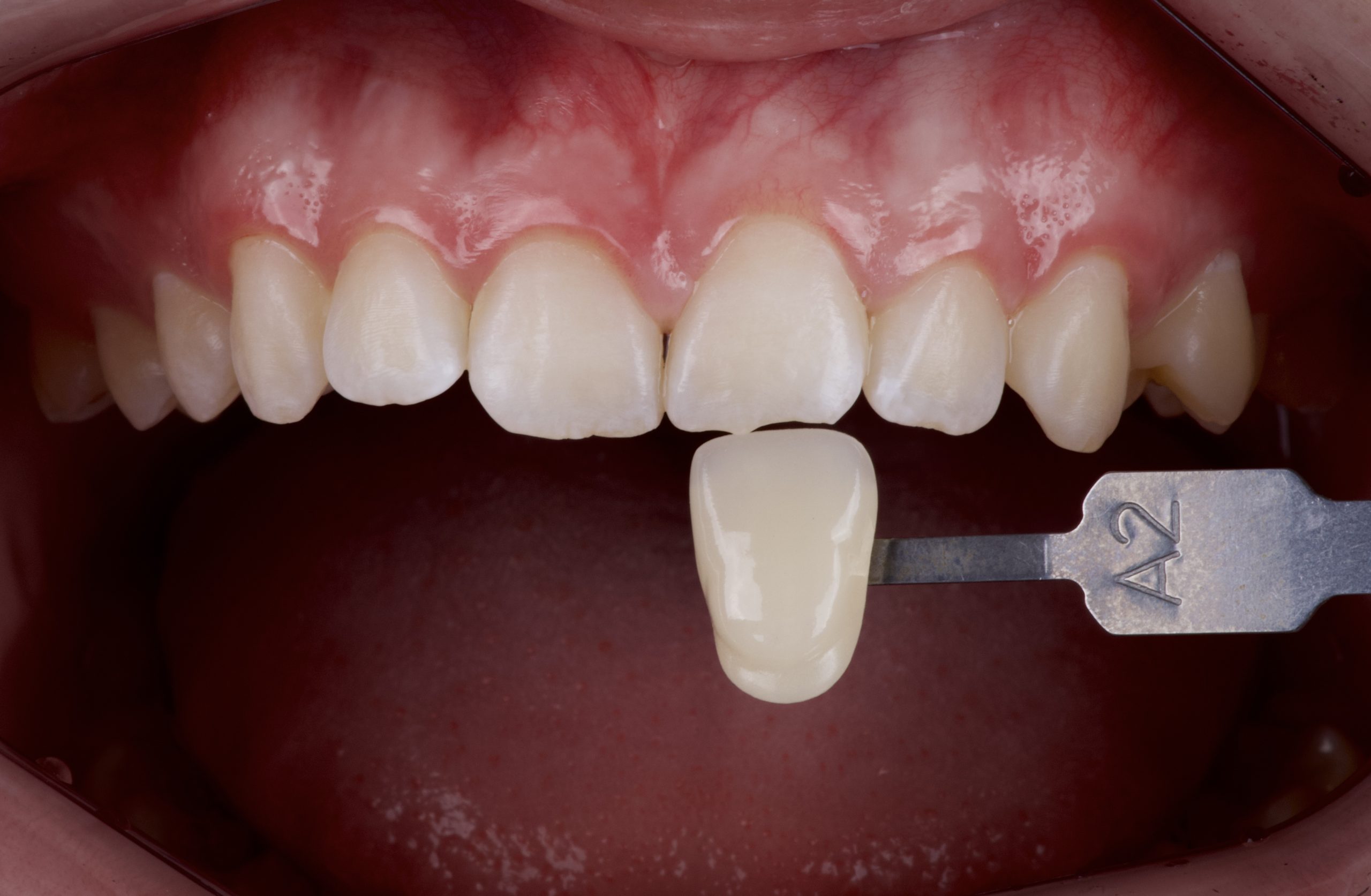
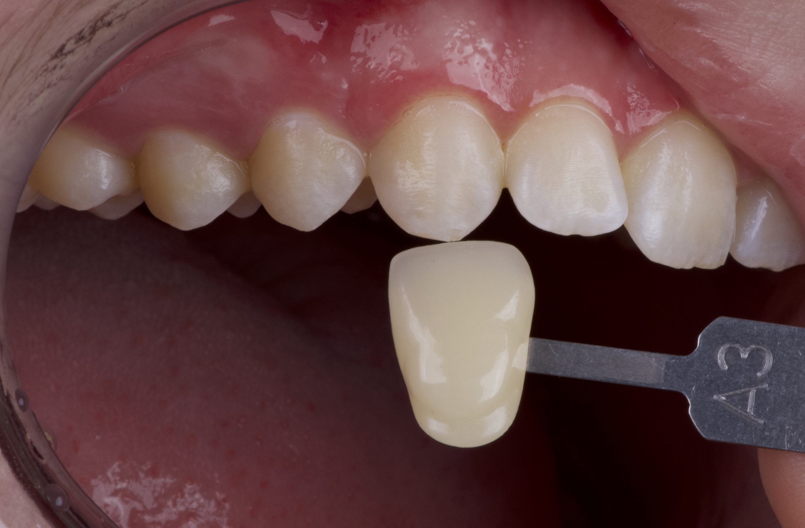
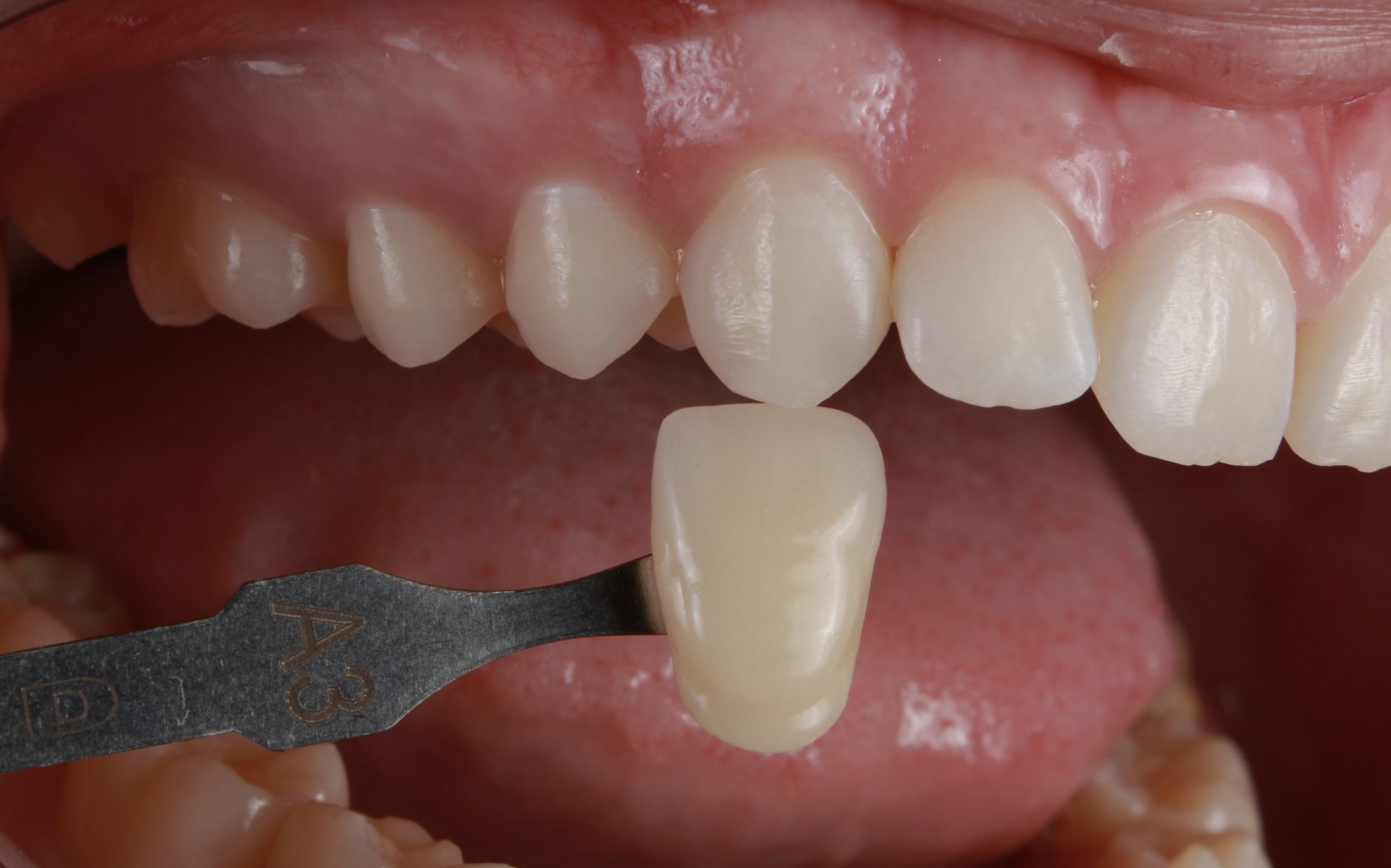
Após realizar o exame clínico intraoral, o paciente passou por uma adequação do meio bucal para que houvesse saúde bucal antes do clareamento. Não foram observados elementos dentários cariados, fraturados ou com periodontopatias. Dando seguimento ao exame intraoral utilizando a escala de cor Vita, foi observada a cor A2 nos terços médios dos incisivos e A3 para caninos.
Foram levadas em consideração a idade do paciente e possível sensibilidade dentária, sendo então proposto o clareamento em consultório com o Whiteness HP Automixx 6%, com o objetivo de utilizar um gel com baixa concentração de peróxido de hidrogênio, com menor quantidade de gel aplicado na superfície dental e sob supervisão do cirurgião-dentista.
Tratamento executado
Iniciando o tratamento proposto, foi realizada a profilaxia seguida do protocolo fotográfico, evidenciando as cores A2 para incisivos e A3 para caninos. O procedimento de clareamento começou com o afastamento dos lábios e tecidos moles intraorais do
paciente com o afastador ARCFLEX FGM.
De acordo com a bula do fabricante FGM, a utilização da barreira gengival para essa concentração de gel é facultativa, visto que é utilizada também para clareamentos caseiros, então procedeu-se a aplicação do gel de forma cuidadosa sem a realização da barreira. Ainda com o intuito de reduzir a sensibilidade, foi aplicado previamente ao gel o dessensibilizante DESENSIBILIZE KF 2%
FGM, por 10 minutos, sendo aplicado e espalhado ativamente com o auxílio do CAVIBRUSH REGULAR FGM (VERDE). Após agitar o dessensibilizante no último minuto de aplicação, o mesmo foi aspirado com auxílio de um sugador e o campo foi limpo para receber o gel.
Foi então realizada a aplicação do gel clareador WHITENESS HP AUTOMIXX 6%, dispensando o gel em uma gaze inicialmente até se obter a correta mistura do mesmo, com o uso da própria ponta misturadora e ponteira brush que acompanha o kit do fabricante FGM.
Em seguida foi aplicado nas superfícies vestibulares do 2º pré-molar de um lado do hemiarco até o 2º pré-molar do hemiarco oposto, promovendo uma aplicação precisa de uma camada fina e homogênea do gel clareador.
O gel foi aplicado por 50 minutos ininterruptos, visto que apresenta propriedades como boa viscosidade e estabilidade do pH no tempo de aplicação.
Durante esse tempo, notou-se a presença de bolhas no gel sugestivas da ação do subproduto oxigênio
advindo do peróxido de hidrogênio, evidenciando que o toque do gel clareador com o tecido gengival NÃO causa queimação em tecido mole, e o paciente não apresentou queixa de sensibilidade ou dor, comprovando a segurança da utilização do gel sem a
utilização da barreira gengival. O gel foi removido com o auxílio de um sugador cirúrgico, e na sequência, foi feita a lavagem abundante com água e a remoção do afastador labial.
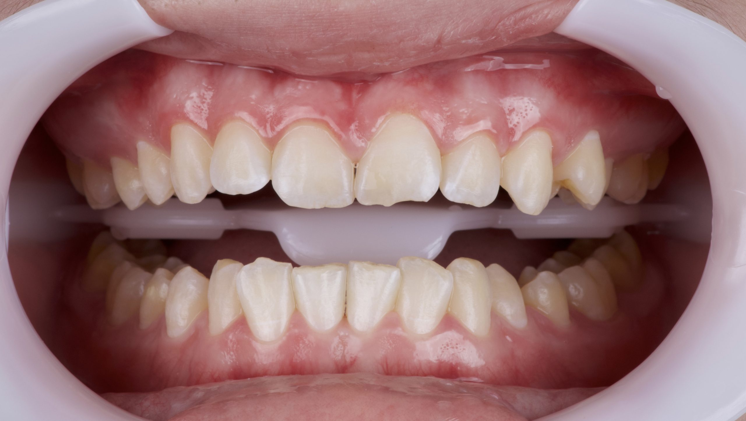
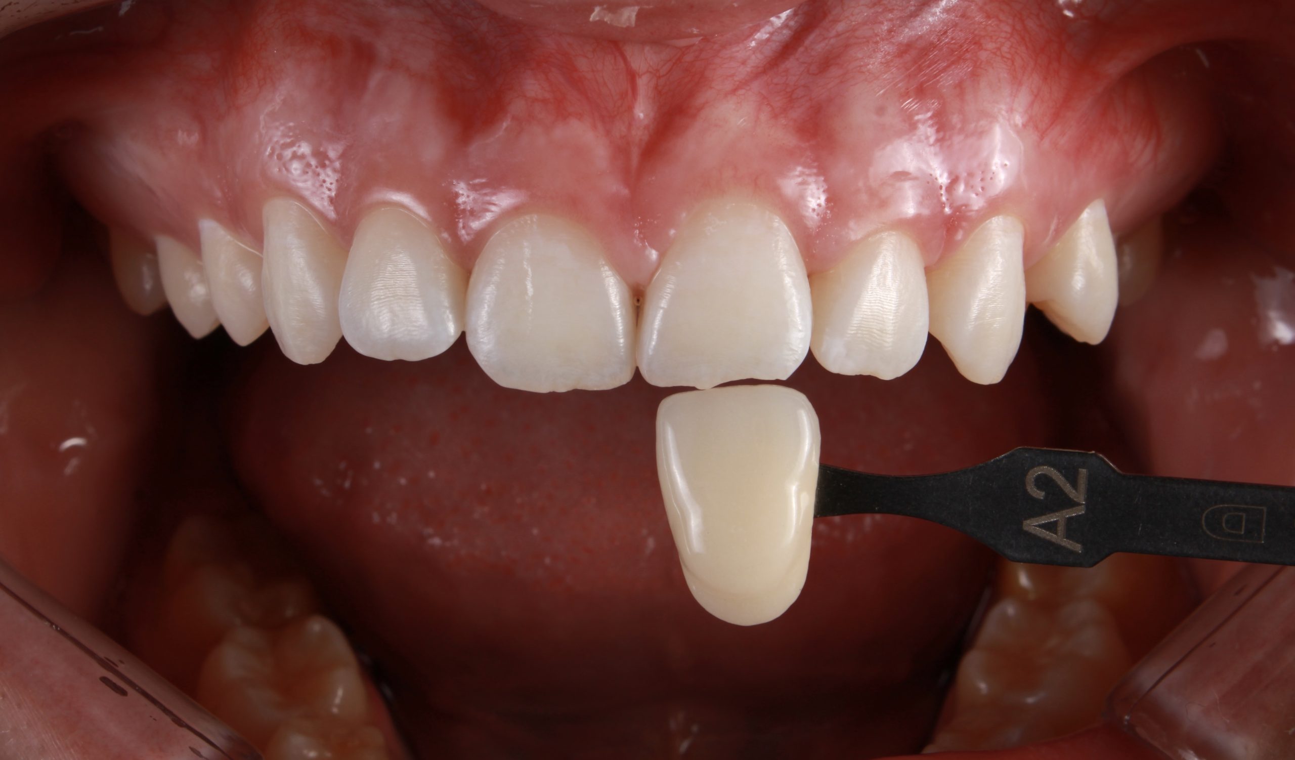
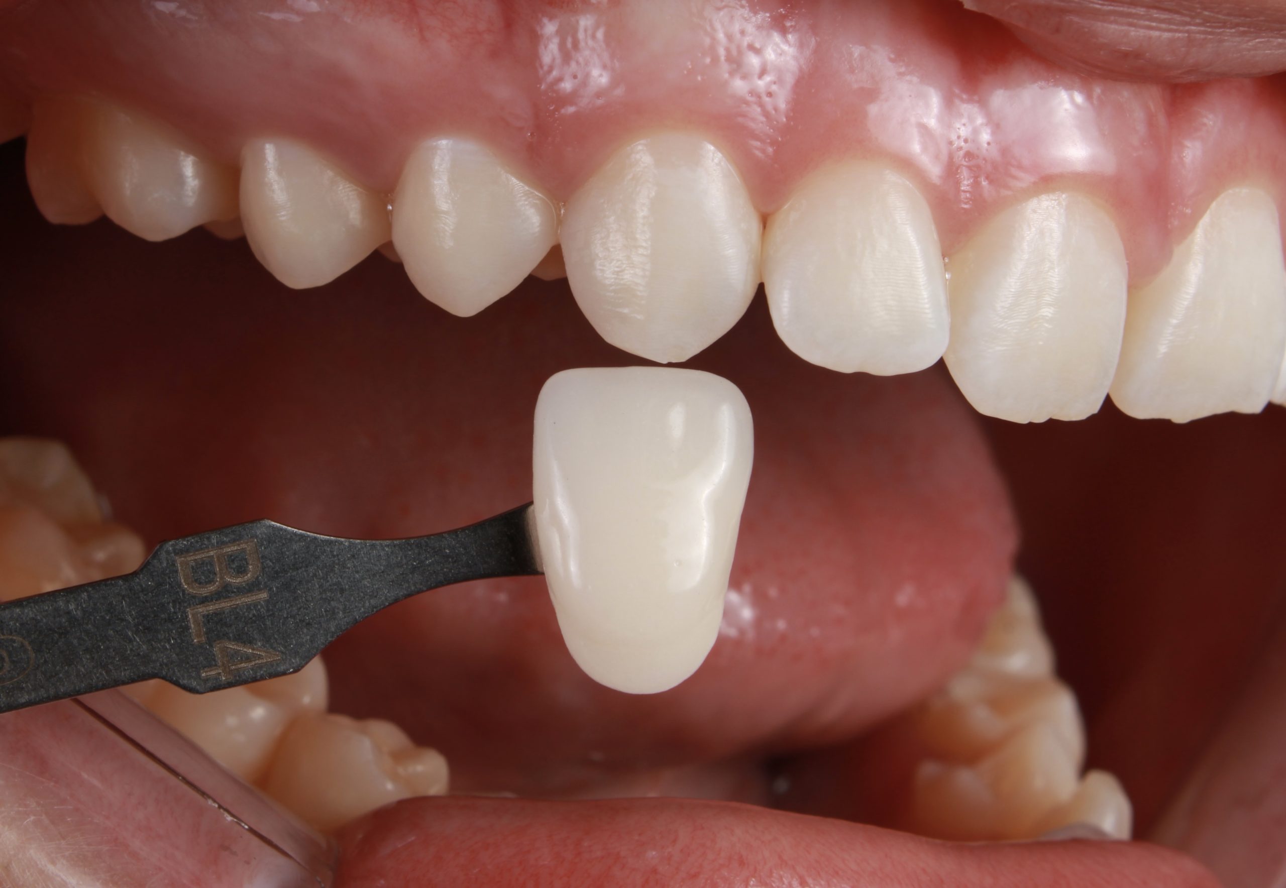
Foram realizadas no paciente 3 sessões de 50 minutos com 7 dias de intervalo. 30 dias após a última sessão, o paciente retornou para avaliar a cor final, onde após o polimento do esmalte utilizado os DISCOS E PASTAS DA LINHA DIAMOND FGM, foi evidenciada a coloração BL4 incisivos e caninos, resultando em um tratamento extremamente eficaz com sensibilidade nula.
Passo a passo

1 | Sorriso frontal

2 | Foto intrabucal comparando escala de cores VITA – Incisivo A2, correspondendo a cor inicial do caso

3 | Foto intrabucal comparando escala de cores VITA – canino A3, correspondendo a cor inicial do caso.

4 | Iniciando o procedimento, Arcflex FGM posicionado afastando tecidos moles.

5 | Profilaxia com pedra pomes e água.

6 | Aplicação ativa do dessensibilizante KF2% FGM com auxílio do Cavibrush regular FGM.

7 | Aspecto após aplicação do dessensibilizante KF2% FGM.

8 | Aplicação do gel clareador Whiteness HP AutoMixx 6% com ponteira brush.

9 | Aspecto após aplicação do Gel clareador Whiteness HP AutoMixx 6%.

10 | Polimento do esmalte com discos e pastas da linha Diamond FGM na conclusão do tratamento, 30 dias após a 3ª sessão de consultório.

12 | Foto intrabucal frontal comparando com a escala de cores VITA que foi selecionada no início do caso – A2 incisivo.

13 | Foto intrabucal frontal comparando com a escala de cores VITA que foi selecionada no início do caso – A3 canino.

15 | Foto intrabucal frontal comparando com a escala de cores VITA compatível com a cor final obtida após o clareamento – BL4 canino.

14 | Foto intrabucal frontal comparando com a escala de cores VITA compatível com a cor final obtida após o clareamento – BL4 incisivo.

16 | Sorriso final.
Produtos utilizados
Whiteness HP Automixx 35% PLUS, Desensibilize KF 0,2%, Diamond Excel Ultrafine, Diamond R, Arflex, Cavibrush.