Autor Dr. Alex Sandro Olivaldo
SEXO E IDADE DO PACIENTE Paciente do sexo masculino, 38 anos de idade.
QUEIXA PRINCIPAL Sensibilidade e insatisfação com restauração fraturada.
AVALIAÇÃO INICIAL
O paciente compareceu à clínica odontológica com relato de sensibilidade e insatisfação estética em uma restauração no dente 16. O exame clínico revelou uma restauração em amálgama extensa, com fratura na cúspide mesiodistal, infiltração marginal evidente e escurecimento da estrutura dentária adjacente. Após a discussão das opções de tratamento com a paciente, decidiu-se pela substituição da restauração em amálgama por uma restauração em resina composta
TRATAMENTO EXECUTADO
Inicialmente o campo operatório foi isolado com dique de borracha para garantir um ambiente seco e controlado. A restauração em amálgama foi removida cuidadosamente com brocas apropriadas, para evitar danos à estrutura dental saudável
Após a remoção do amálgama, a cavidade foi limpa com pasta de pedra-pomes e água. A cúspide mesiodistal fraturada foi preparada com a remoção das partes instáveis para reconstrução da área com resina composta
Foi realizado ataque ácido seletivo de esmalte com Condac 37 por 30 segundos nas superfícies de esmalte, seguido por lavagem abundante com água e jato de ar
O sistema adesivo Ambar Universal APS Plus foi aplicado em toda a superfície da cavidade com o microaplicador Cavibrush de forma ativa por 10 segundos, seguido de volatização do solvente com jato de ar por mais 10 segundos e fotoativação por 10 segundos.
Para bloquear o escurecimento do dente causado pelo amálgama, foi utilizada a resina opacificadora de cor universal Assist APS Opaquer, aplicada em fina camada na parede pulpar e paredes circundantes fotopolimerizada por 40 segundos, para mascarar a descoloração e proporcionar um fundo uniforme para a aplicação da resina composta.
A resina composta unicromática Vittra APS Unique foi inserida na cavidade por meio da técnica incremental, com início pela parede pulpar, seguido pelas paredes vestibular e lingual, a fim de simplificar a reconstrução anatômica.
A morfologia oclusal foi realizada com a construção cúspide a cúspide. Cada incremento foi fotopolimerizado por 20 segundos. Após a finalização da restauração, foram realizados ajuste oclusal, acabamento e polimento
PASSO A PASSO

1 | Aspecto inicial da restauração em amálgama com fratura de cúspide mesiodistal.

2 | Isolamento absoluto do campo operatório.

3 | Aspecto da cavidade após remoção da restauração de amálgama, parede pulpar e adjacentes escurecidas

4 | Limpeza da cavidade com auxílio de escova e pasta de pedrapomes e água

5 | Condicionamento ácido seletivo em esmalte com Condac 37 por 30 segundos.

6 | Aplicação ativa do adesivo Ambar Universal APS Plus em toda cavidade por 10 segundos, seguido de volatização e fotopolimerização por 20 segundos

7 | Aspecto da cavidade após polimerização do adesivo.

8 | Aplicação de uma fina camada de resina opacificadora Assist APS Opaquer, cor universal, na parede pulpar e adjacentes.

9 | Incremento inicial com a utilização da resina Vittra APS Unique.

10 | Aspecto da resina Vittra APS Unique após fotopolimerização.

11 | Reconstrução da parede vestibular com Vittra APS Unique .

12 | Escultura da superfície oclusal com Vittra APS Unique.

13 | Aspecto após fotopolimerização completa e acabamento.

14 | Ajuste oclusal e polimento da restauração.

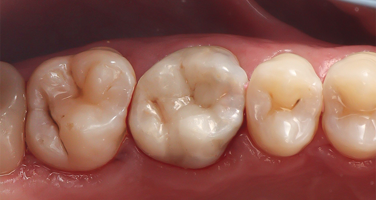
15 | Aspecto final após polimento.
“A substituição de restaurações antigas apresenta um grande desafio: mascarar a cor escurecida do substrato na parede pulpar. Nestes casos, quando escolhemos resinas unicromáticas para substituição, vantajosas por mimetizarem a cor do substrato dental simplificando a seleção de cor, é recomendado aplicar uma resina opacificadora da cor do dente, como a Assist APS Opaquer Universal na parede de fundo. Isso permite que a resina mimetize a cor dental de forma mais precisa, além de bloquear a tonalidade escura da parede de fundo e evitar o acinzentamento.”
Dr. Alex Sandro Olivaldo
Saiba mais sobre Vittra APS Unique!




