Autores: Profª Dra. Bruna Luiza do Nascimento e Prof. Dr. Renato Voss Rosa
SEXO E IDADE DO PACIENTE: Paciente do sexo feminino, 32 anos de idade.
QUEIXA PRINCIPAL: Insatisfação estética
AVALIAÇÃO INICIAL
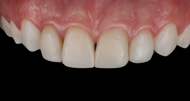
Durante a realização do exame intrabucal foram observadas restaurações do tipo facetas em resina composta nos dentes 12, 11, 21 e 22 com perda de brilho, formato insatisfatório e infiltrações.
TRATAMENTO EXECUTADO
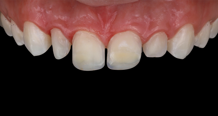
Ao planejar o caso, foi constatado que a proporção estética ideal, entre altura e largura dos incisivos centrais, não seria possível sem incluir uma cirurgia periodontal de recontorno gengival, a qual a paciente optou por não realizar. Foi proposta como alternativa a inclusão de facetas nos caninos, para assim distribuir os acréscimos de resina de forma a obter um resultado mais agradável esteticamente. A paciente aprovou e o tratamento foi iniciado. A partir da remoção parcial das restaurações prévias, demostrando diferença nos formatos dos dentes remanescentes e manchas hipoplásicas nos centrais
PASSO A PASSO

1 | Aspecto inicial intrabucal com resina composta insatisfatória nos dentes 12, 11, 21 e 22.

2 | Aspecto após a remoção parcial das resinas prévias.
Ao decidir manter a resina de restaurações pré-existentes, alguns pontos devem ser levados em consideração, como visualização das margens bem definidas e ausência de manchamentos ou infiltrações. Esse processo de reparo é considerado a alternativa mais conservadora por evitar maior desgaste de superfície dentária. Se houver dúvida quanto a esses aspectos, a remoção total é indicada.

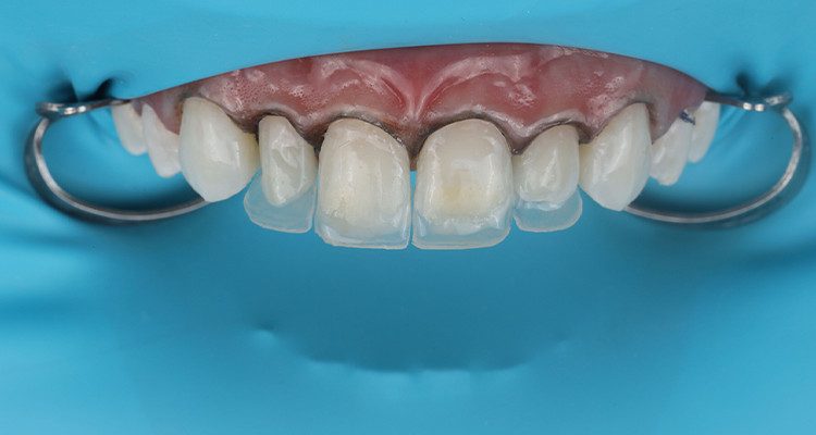
3 | Condicionamento ácido total de superfície com Condac 37, com isolamento absoluto modificado e fios retratores posicionados.

4 | Aplicação de silano Prosil por 1 minuto sobre as resinas que foram mantidas.
A aplicação do silano em procedimento de reparo é importante por melhorar a união entre compósitos

5 | Aplicação do adesivo Ambar Universal APS, sobre toda a superfície a ser restaurada

6 | Aplicação do sistema adesivo prévio ao início do procedimento restaurador.

7 | Concha palatina confeccionada com resina Vittra APS, na cor Trans N

8 | Confecção das cristas marginais Vittra APS, esmalte na cor EBL3.

9 | incremento da camada de dentina e confecção dos mamelos com Vittra APS, na cor DBL3.
A técnica restauradora iniciou com a construção das cristas marginais para facilitar a confecção dos pontos de contato e facilitar a escultura

10 | Camada vestibular com resina Vittra APS esmalte, na cor EBL3.

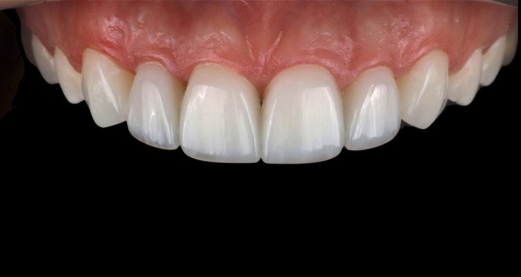
11 | Aspecto final das restaurações após acabamento e polimento.
“A resina Vittra APS faz parte da minha rotina clínica em diversas situações durante o dia a dia, em especial para a última camada de dentes anteriores. Com ela, consigo uma excelente esculpabilidade, o que facilita a escultura e minimiza a chance de erros, além de seu ótimo polimento que se mostra estável com o passar dos meses!”
Prof. Dr. Renato Voss Rosa





