Resumo: Caso clínico de restauração estética com pino de fibra de vidro Whitepost, resina Vittra APS e cimento Allcem Core, devolvendo forma, cor e harmonia ao sorriso.
Autor: Prof. Dr. Carlos José Soares
SEXO E IDADE DO PACIENTE: Paciente sexo masculino, 33 anos de idade
QUEIXA PRINCIPAL: Insatisfação estética do sorriso com envolvimento de forma e cor nos dentes 11 e 21.
AVALIAÇÃO INICIAL
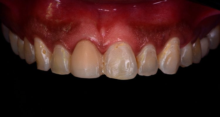
Ao procurar atendimento clínico, foi verificada restauração extensa no dente 11 devido a alteração de cor da resina composta associado à restauração insatisfatória.
TRATAMENTO EXECUTADO
Após exame radiográfico inicial no dente 11, foi proposto a reabilitação com pino Whitepost System, cimentado com a combinação de sistema adesivo Ambar Universal APS e cimento Allcem Core, além de reabilitação coronária com resina composta Vittra APS. No dente 21 foi verificada a necessidade de reanatomizar, empregando faceta vestibular confeccionada com o sistema de resina composta Vittra APS.
PASSO A PASSO

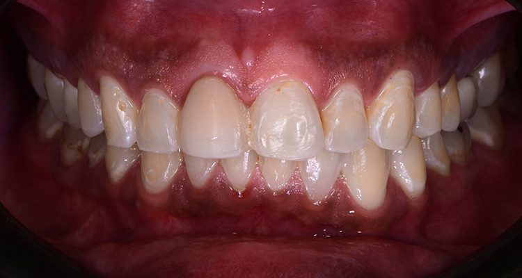
1 | Imagem intraoral do sorriso em oclusão

2 | Imagem intraoral frontal da arcada superior.

3 | Radiografia Inicial do dente 11 demonstrando adequado tratamento endodôntico e selamento com cimento de ionômero de vidro

4 | Arco superior isolado de forma absoluta com auxílio do grampo B4, observando a pouca estrutura remanescente e consequentemente a necessidade de se utilizar pino de fibra de vidro.

5 | Vista oclusal do preparo.

6 | Remoção da guta-percha, deixando de 3 a 4 mm na região apical.

7 | Preparo do conduto radicular com broca específica do sistema de pinos Whitepost System DC-E 2

8 | Vista oclusal após preparo do conduto.

9 | Aplicação de solução irrigadora EDTA a 17% três minutos no conduto radicular e instrumentação ativa de solução irrigadora com escova para conduto.

10 | Irrigação final com água destilada.

11 | Condicionamento com ácido fosfórico Condac 37 por 30 segundos em esmalte.

12 | Remoção do ácido fosfórico com jato de ar e água durante 30 segundos.

13 | Aplicação do adesivo Ambar Universal APS ao Cavibrush .

14 | Aplicação do sistema adesivo Ambar Universal APS, de forma ativa por 20 segundos na porção coronária e no interior do conduto.

15 | Remoção do excesso de adesivo depositado no fundo do canal radicular com cone de papel absorvente, preservando a camada adesiva das paredes radiculares.

16 | Fotoativação do sistema adesivo por 40 segundos.

17 | Sequência de preparo do pino com limpeza ativa do pino Whitepost System DC-E 2 com álcool 70% por 1 minuto, seguido pela aplicação ativa de silano Prosil na superfície do pino por 1 minuto


18 A e B | Inserção do cimento resinoso dual core Allcem Core no interior do canal radicular, posicionamento a ponteira o mais apicalmente possível (A). Remoção lenta da ponteira à medida que o cimento é injetado lentamente para evitar bolhas (B)

19 | Aguardar durante 5 minutos para presa química do cimento Allcem Core.

20 | Fotoativação por 40 segundos usando fonte de luz com boa potência/irradiância pela face incisal, seguido pela vestibular e palatina do pino de fibra de vidro

21 | Aplicação do sistema adesivo Ambar Universal APS no pino de fibra de vidro.

22 | Inserção de resina composta Vittra APS.

23 | Construção da camada palatina com resina composta Vittra APS, na cor EA2.

24 | Construção da camada de dentina com resina composta Vittra APS, na cor DA3.


25 A e B
A. Confecção dos mamelos; B. Aspecto final da camada de dentina.

26 | Construção da camada de esmalte, com resina Vittra APS, na cor EA2.

27 | Aspecto final do dente 11 e 21 após acabamento e polimento

28 | Radiografia final do dente 11.

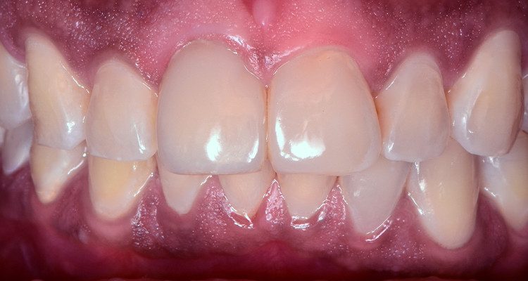
29 | Aspecto final mostrando uma harmonia de forma e cor dos dentes 11 e 21 com os demais dentes.
🔗Saiba mais sobre a linha de endodontia!
▶️Assista um vídeo sobre restaurações em dentes tratados endodonticamente
PRODUTOS UTILIZADOS






