Caso clínico com reabilitação de maxila com carga imediata utilizando implantes FGM.
AUTORES: Me. Sérgio Funchal Filho, Espec. Ingrid Baldin de Oliveira, Me. Rogério Bragança, Dr. Luís Cláudio Aranha.
SEXO E IDADE DO PACIENTE: Sexo Feminino, 60 anos.
QUEIXA PRINCIPAL: O paciente relatava incômodo estético e funcional em relação ao sorriso, associado a uma sensação persistente de baixa autoestima. Mesmo após o uso de diversas próteses móveis, continuava apresentando desconforto gengival e dentário, o que dificultava sua adaptação e impactava a qualidade de vida.
AVALIAÇÃO INICIAL DA REABILITAÇÃO DE MAXILA
Após a realização da anamnese clínica e da verificação do estado de saúde geral do paciente, foi constatado que ela se encontrava na classificação ASA 1, o que indicava um bom prognóstico cirúrgico. Durante uma conversa de orientação, foi sugerida a reabilitação com implantes unitários, destacando as vantagens desse tipo de tratamento. No entanto, o paciente demonstrou falta de aceitação em relação ao número de cirurgias necessárias para enxertos ósseo e ao tempo prolongado para a resolução do caso. Diante disso, foi proposta a reabilitação por meio de uma prótese tipo protocolo, utilizando a técnica All-on-4.
Essa abordagem oferece a possibilidade de carregamento imediato, com a instalação de uma prótese fixa em poucos dias. Apesar de estar ciente das vantagens de preservar os dentes remanescentes, o paciente optou por essa solução devido ao menor tempo de tratamento e à previsibilidade do resultado, que consiste na extração de todos os dentes remanescentes e instalação de implantes utilizando a técnica All on 4.
TRATAMENTO EXECUTADO
Foram solicitados exames médicos para avaliar a condição geral de saúde do paciente. Exames de imagem iniciais foram realizados para análise detalhada do sorriso e planejamento do tratamento estético. Durante o procedimento cirúrgico, o paciente foi submetido à sedação consciente conduzida por um anestesiologista, garantindo controle da ansiedade e maior conforto.
Na análise radiográfica, constatou-se pneumatização do seio maxilar direito em direção ao pilar canino. No lado esquerdo, a extensão da pneumatização poderia inviabilizar a realização da técnica sem enxertos ósseos. Para garantir a instalação precisa e segura do implante, foi realizado um acesso lateral à janela do seio maxilar, permitindo o tratamento da parede anterior do seio com uma sonda para determinar a posição ideal do implante distal. Aproveitou-se o máximo de osso disponível, tangenciando o seio maxilar e eliminando a necessidade de enxertos ósseos. Foi escolhido o sistema Vezza da FGM, devido a geometria que fornece alta estabilidade primária e oferece conexão hexagonal externa universal, ou seja, bastante versátil.
Após a perfuração inicial com broca lança de 15 mm para os implantes distais e 11 mm para os anteriores, a perfuração com broca 2,4 nos mesmos comprimentos. paralelizadores foram utilizados para verificar o polígono formado e a posição dos implantes. A perfuração seguinte com broca 3.4 e, após, com broca 3.9, a onde foi realizado subperfuração em comprimento (50%), garantindo melhor estabilidade primária. Foram instalados implantes Vezza de 4,3×15 mm na região posterior da maxila e de 4,3×11 mm na região anterior.
Todos os implantes atingiram um torque de 80 N, possibilitando a realização de carga imediata. Mini pilares retos com transmucoso de 2mm foram instalados nos implantes anteriores e mini pilares angulados de 30 graus com transmucoso de 3mm nos distais, corrigindo a ajuste dos implantes e sustentando o assentamento passivo da barra.
A sutura simples dos tecidos foi realizada, seguida pela moldagem de transferência. O plano de cera foi confeccionado, assim como a prova dos dentes em cera, utilizando dentes Vita MFT da Wilcos®. No terceiro dia, a prótese tipo protocolo final foi instalada em carga imediata. O paciente retornou após 10 dias para remoção das suturas. No momento da escrita deste relatório, o caso conta com 26 meses de acompanhamento. Os resultados demonstraram sucesso na osseointegração dos implantes e plena satisfação do paciente, que em três dias já estava reabilitado e utilizando uma prótese fixa sobre implantes, atingindo a expectativa alinhada previamente.
Este caso clínico evidencia a eficácia da técnica All-on-4 em maxila com o uso do sistema Vezza da FGM®. A abordagem All-on-4 permitiu a instalação precisa e segura dos implantes, evitando a necessidade de enxertos ósseos. O paciente apresentou recuperação rápida e satisfação com o resultado. O acompanhamento continuará para garantir a durabilidade e o sucesso a longo prazo do tratamento.
Saiba mais sobre o implante Vezza!
Passo a passo


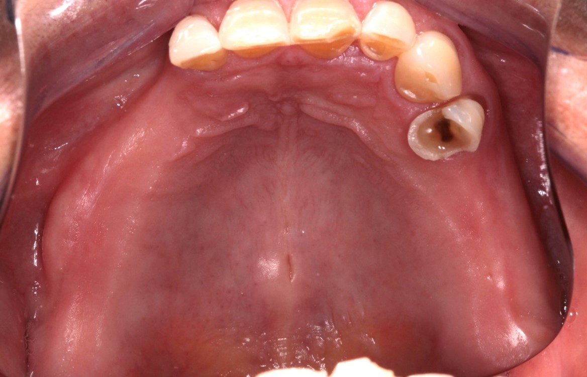
Fig. 1 e 2 – Vista oclusal

Fig. 2 – Radiografia inicial

FIG. 03 – Aspecto pós-descolamento do tecido e osteotomia para regularização óssea.

FIG. 04 – Após a perfuração da broca 2.4 e colocação dos paralelizadores para verificar o polígono.

FIG. 05 – Implante Vezza 4.3×15 mm

FIG. 06 – Visualização do acesso da janela lateral do seio maxilar e instalação do implante distal de 4.3x15mm realizada.

FIG. 07 – Torque de 80N obtido no implante distal.

FIG. 08 – Instalação dos mini pilares angulados de 30 graus nos posteriores e retos nos anteriores.

FIG. 09 – Sutura simples e pós operatório imediato.


FIG. 10a e b – Instalação da prótese protocolo.

FIG. 11 – Aspecto do tecido mole após 17 meses da cirurgia.

FIG. 12 – Radiografia de acompanhamento de 17 meses após a cirurgia.



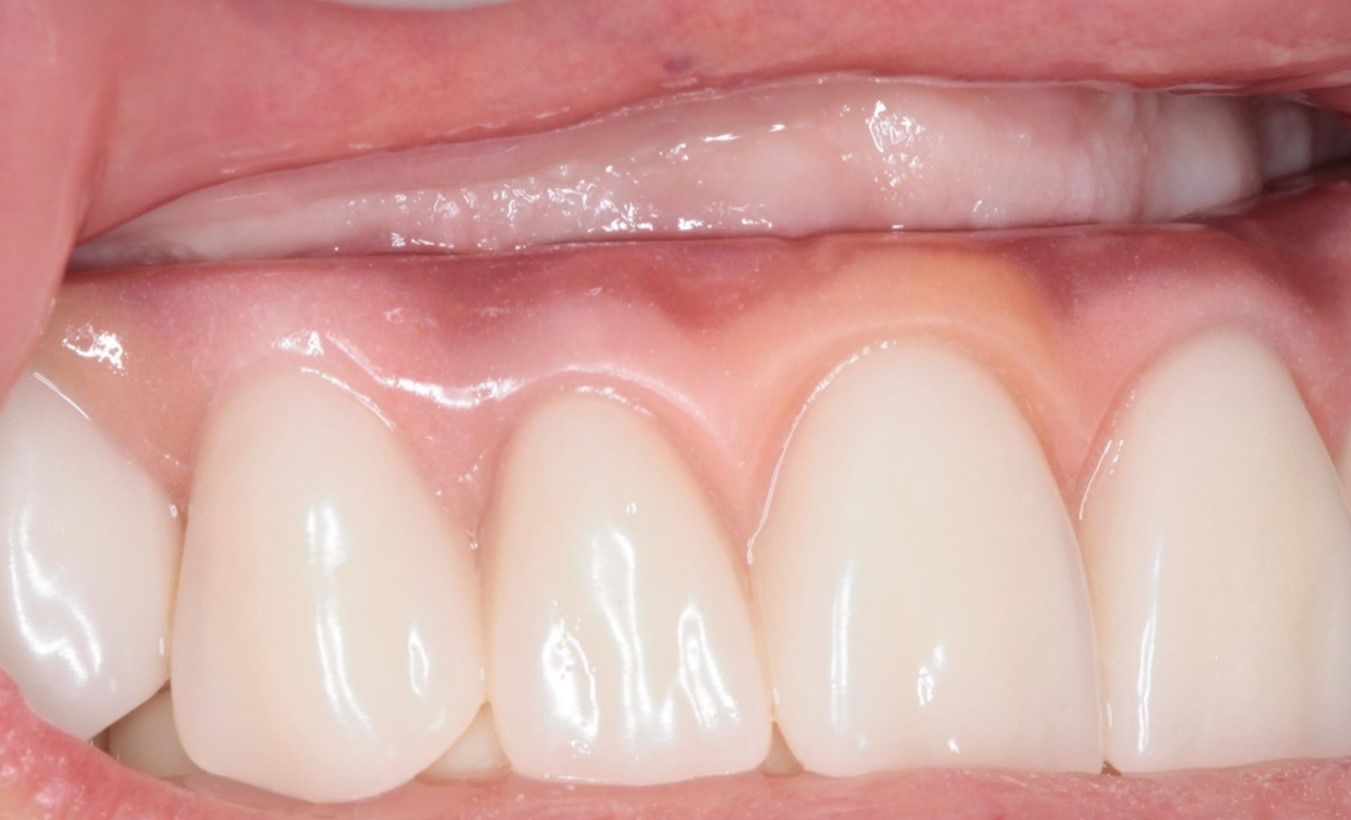
FIG. 13a b c – Aspecto dos tecidos moles após 26 meses da cirurgia.


FIG. 14a b c d – Radiografia de acompanhamento de 26 meses após a cirurgia. (implante 11)

FIG. 15 – Sorriso da paciente. (antes)

FIG. 16 – Sorriso da paciente. (depois)
REFERÊNCIAS BIBLIOGRÁFICAS
- Malo P, Rangert B, Nobre M. All-on-4 immediate-function concept with Brånemark System implants for completely edentulous mandibles: A retrospective clinical study. Clin Implant Dent Relat Res. 2003;5(Suppl 1):2-9. doi: 10.1111/j.1708-8208.2003.tb00010.x.
- Agliardi E, Clericò M, Ciancio P, Massironi D. Immediate loading of full-arch fixed prostheses supported by axial and tilted implants for the treatment of severe atrophic maxillae: A 2-year prospective study. Clin Oral Implants Res. 2014;25(5):576-83. doi: 10.1111/clr.12146.
- Maló P, de Araújo Nobre M, Lopes A, Moss SM, Molina GJ. A longitudinal study of the survival of All-on-4 implants in the mandible with up to 10 years of follow-up. J Am Dent Assoc. 2011;142(3):310-20. doi: 10.14219/jada.archive.2011.0169.
- Esposito M, Grusovin MG, Coulthard P, Worthington HV. The efficacy of various bone augmentation procedures for dental implants: A Cochrane systematic review of randomized controlled clinical trials. Int J Oral Maxillofac Implants. 2006;21(5):696-710.
- Maló P, de Araújo Nobre M, Lopes A. The use of computer-guided flapless surgery in the rehabilitation of the edentulous maxilla with an immediately loaded implant-supported fixed prosthesis. J Am Dent Assoc. 2007;138(2):233-40. doi: 10.14219/jada.archive.2007.0147.



