Resumo: Fluxo digital 100% para reabilitações cimentáveis com munhão Arcsys, escaneamento intraoral e zircônia estratificada, unindo precisão e estética.
Ficha técnica do Manual Fluxo Digital
Reabilitações cimentáveis poderão ser finalizadas rapidamente pelo fluxo 100% digital. Essa técnica permite que a área de interesse possa ser facilmente replicada virtualmente, para que o laboratório tenha condições precisas de posicionamento e entregue um trabalho de qualidade. A estética propiciada pela reabilitação unitária por essa modalidade de fluxo poderá ser estendida a toda a família dos munhões Arcsys, seja em próteses anteriores ou posteriores.
- Região Anatômica: Elemento 34
- Componente protético: Munhão Arcsys 4,2x4x3,5
- Escaneamento: Intraoral
- Modelo impresso e análogo digital: Sim
- Material restaurador: Zircônia estratificada*
OBS: Esteja atento a todos os detalhes. Áreas críticas, como tecidos pré-condicionados, exigem escaneamentos com destreza e velocidade.
*O material restaurador pode ser alterado pela preferência do protesista, desde que atenda as especificações do fabricante.
Baixe o material completo

Fig. 1 – Vista oclusal de implante Arcsys, na região do 34.

Fig. 2 – Posicione o medidor, para selecionar a altura transmucosa do componente protético. Neste exemplo, o implante está posicionado aproximadamente entre 4 e 5 mm abaixo da margem tecidual vestibular.

Fig. 3 – Munhão Arcsys 4,2x4x3,5 instalado.


Fig. 4 e 5 – Realize o escaneamento inicialmente sem o Scanbody, visando capturar com precisão o condicionamento tecidual obtido.

Fig. 6 – Scan Body corretamente posicionado sobre munhão 4,2X4mm. Confirme seu adequado assentamento através da janela de inspeção.
Dica clínica

Os Scanbodies de munhão Arcsys possuem uma janela de inspeção para assegurar o adequado posicionamento destes sobre seus respectivos componentes.


Fig. 7, 8 e 9 – Realize o escaneamento com o Scan body, visando capturar com precisão o posicionamento do componente. Sobreponha os arquivos de escaneamento para permitir o adequado enceramento digital.

Fig. 10 – Referencie o posicionamento do scan body no software.

Fig. 11 – No caso da necessidade de um modelo físico para condução da fase protética, crie e imprima um modelo de trabalho.

Fig. 12 – Vista oclusal do modelo impresso.

Fig. 13 – Utilize o montador de análogos digitais para estabilizar o análogo no nicho do modelo de trabalho.

Fig. 14 – Sequencia recomendada para adaptação do análogo digital no modelo impresso.
a) Adapte o Montador para análogos digitais no orifício inferior do modelo;
b) Rosqueie o pino do Montador no análogo digital;
c) Rosqueie o corpo do Montador até que o análogo clique no modelo impresso;
d) Acomode a gengiva artificial no modelo para dar sequencia ao trabalho protético.

Fig. 15 – Embora existam diversas formas e diferentes materiais para confecção protética, para este caso, uma infra estrutura foi encerada digitalmente e usinada em Zircônia.

Fig. 16 – Vista frontal da infraestrutura usinada;

Fig. 17 – Vista lateral da infra estrutura usinada após ajuste cervical.

Fig. 18 – Infraestrutura posicionada sobre munhão 4,2x4mm.

Fig. 19 – Prova da peça cerâmica sobre munhão 4,2x4mm.

Fig. 20 – Após limpeza, aplique o cimento resinoso na borda interna da peça.
Dica clínica

a) Utilize um análogo para promover o escoamento do excesso de cimento, visando evitar que este excesso se deposite nos tecidos adjacentes ao componente protético.

b) Utilize o Cavibrush para remover o excesso do cimento previamente à cimentação da peça em boca.

Fig. 21 – Fotopolimerização por 40 segundos em cada face.

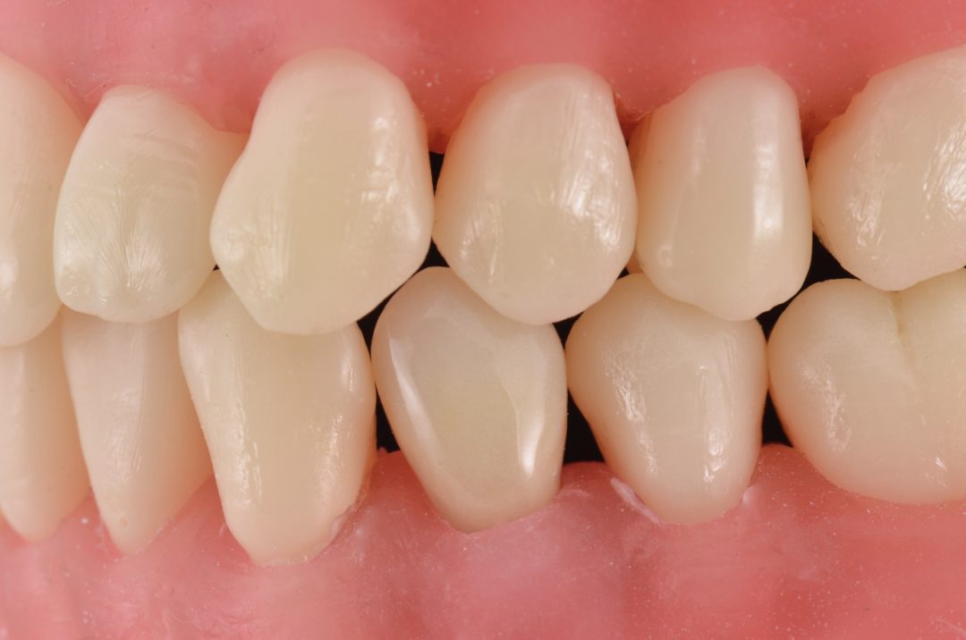
Fig. 22 – Conclusão do caso.
Confira tudo isso e mais um pouco na página do Fluxo Digital, acesse aqui!



