Resumo: Caso clínico de confecção de attachments estéticos com resina Vittra APS Unique, dispensando seleção de cor e garantindo praticidade e estética.
Autores: Dra. Alexia Suemi Nakashima e Dr. Thiago Roberto Gemeli
SEXO E IDADE DO PACIENTE: Paciente do sexo masculino, 31 anos de idade.
QUEIXA PRINCIPAL: Descontentamento estético em razão da presença de diastemas.
AVALIAÇÃO INICIAL
Paciente compareceu à consulta com queixa estética associada aos diastemas entre incisivos laterais e caninos superiores. Após anamnese, exame clínico, escaneamento intraoral e exames complementares radiográficos e fotográficos, foi possível elaborar o planejamento do caso
TRATAMENTO EXECUTADO
Após o reestabelecimento da saúde bucal com sessão de raspagem supragengival e restaurações, foi proposto o tratamento com alinhadores ortodônticos para resolução da queixa do paciente.
No planejamento virtual do tratamento ortodôntico, foi incluído a instalação de attachments na arcada superior e inferior para auxiliar a retenção do alinhador e os movimentos ortodônticos necessários
Para a confecção dos attachments, a resina selecionada foi a Vittra APS Unique, que possui a propriedade óptica de mimetizar o tecido dental adjacente após a sua fotoativação, o que favorece a estética e a praticidade clínica, uma vez que não é preciso realizar a seleção de cor da resina
INSTALAÇÃO DOS ATTACHMENTS
Primeiramente, foi realizado a profilaxia dental nos elementos que iriam receber a resina com pedra pomes e água. Após a limpeza da superfície dental, realizou-se o condicionamento ácido e adesivo. Para o condicionamento ácido, foi utilizado Condac 37 durante 30 segundos, logo após lavado com água em abundância e seco. O primer adesivo selecionado foi o Ambar APS Ortho, o qual foi aplicado com Cavibrush e após a volatização, fotopolimerizado por apenas 3s com o fotopolimerizador Quazar, modo Ortho.
Para a instalação dos attachments, foi utilizado o template disponibilizado pela própria empresa do alinhador. Um pequeno incremento de resina Vittra APS Unique foi acomodado nas cavidades do template e posteriormente posicionado em boca. Após uma leve pressão para haver o escoamento do excesso de resina e adaptação do template, foi realizado a fotoativação com Quazar. Se necessário, pode ser realizado a remoção do excesso de resina com brocas multilaminadas. Com a resina Vittra APS Unique é possível obter um resultado estético e de alta resistência na confecção de attachments para tratamento com os alinhadores ortodônticos
PASSO A PASSO

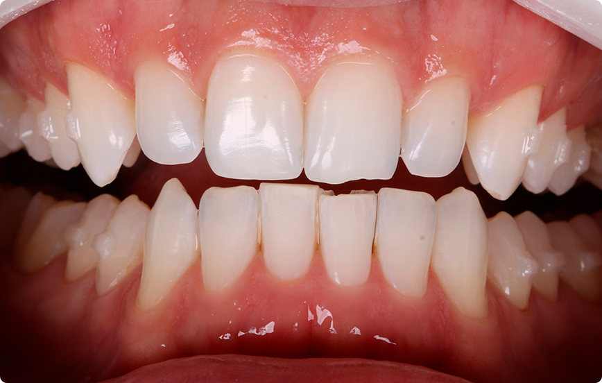
1 | Aspecto inicial.

2 | Profilaxia com pedra-pomes e água.

3 | Condicionamento ácido com Condac 37.

4 | Primer adesivo Ambar APS Ortho, para adesão ágil e segura do compósito para attachments.

5 | Aplicação do primer adesivo Ambar APS Ortho com Cavibrush.

6 | Fotoativação do primer adesivo por apenas 3 segundos, com Quazar, modo Ortho.
Ambar APS Ortho garante excelentes resultados em apenas 3s de fotopolimerização. O tempo acompanha a função Ortho disponível em alguns fotopolimerizadores do mercado, como o Quazar, para proporcionar maior agilidade nos atendimentos.

7 | Acomodação da resina Vittra APS Unique no template.

8 | Adaptação do template em boca.

9 | Fotoativação da resina composta com o Quazar.

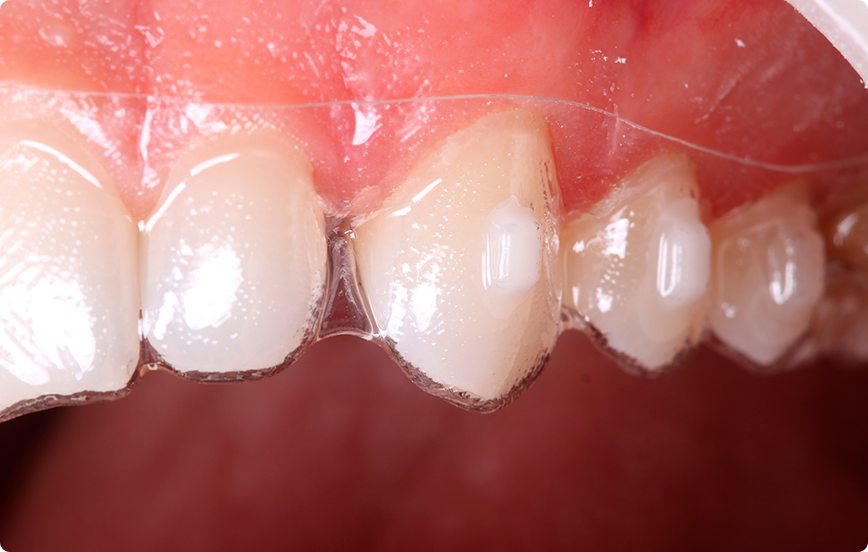
10 | Aspecto após fotoativação da resina.

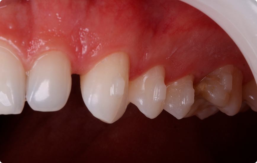
11 | Aspecto final.

“As propriedades ópticas da resina utilizada Vittra APS Unique, em conjunto com o adesivo de rápida polimerização Ambar APS Ortho, possibilitaram reduzir o tempo clínico e conferir elevada estética, além de alta resistência na confecção de attachments para tratamento com os alinhadores ortodônticos, constituindo uma interessante opção ao ortodontista.”
Dr. Thiago R. Gemeli
🔗Saiba mais sobre o lançamento do Ambar APS Ortho!



