SEXO E IDADE DO(A) PACIENTE:
Feminino, 30 anos de idade.
QUEIXA PRINCIPAL:
Estética geral do sorriso com sensação de maxila estreita e falta de alinhamento dos incisivos.
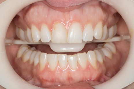
AVALIAÇÃO CLÍNICA/RADIOGRÁFICA INICIAL
Pequeno desalinhamento dentário e restauração inadequada no dente 11. Paciente apresenta discreta classe II subdivisão esquerda. Boas condições periodontais e ausência de alterações radiográficas.
TRATAMENTO EXECUTADO
Após o restabelecimento do alinhamento dentário e adequação do corredor bucal, a paciente irá realizar a troca da restauração do dente 11 por laminado cerâmico. Optou-se pelo uso de ORTHOCEM APS para colagem do aparelho. Devido sua menor sensibilidade à luz ambiente, o sistema adesivo permite tempo de trabalho suficiente para instalação dos bráquetes por sextantes e fotopolimerização de todos os bráquetes simultaneamente.



ORTHOCEM APS dispensa o uso de adesivo em esmalte.







AUTOR(ES)
Suzana Ramos Ferrari e Thiago Roberto Gemeli.
