Autores Dra. Deisy Cordeiro, Dra. Gabrielle Centenaro, Dr. Tobias Navarro, Dra. Laryssa Barbosa, Dra. Maria Alice Rodrigues, Dra. Mariah Lenhani, Dra. Roberta Dias, Prof. Dr. Alessandro Loguercio, Profa. Dra. Alessandra Reis
SEXO E IDADE DO PACIENTE Paciente do sexo masculino, 22 anos de idade.
QUEIXA PRINCIPAL O paciente procurou atendimento odontológico com queixa estética do seu sorriso, devido à coloração dos dentes.
AVALIAÇÃO INICIAL
Ao exame clínico, foi registrada inicialmente a cor A3 nos incisivos centrais e a cor A4 nos caninos. Devido à limitação de tempo do paciente para sessões de longa duração em consultório e visando minimizar a sensibilidade dental, optou-se pelo clareamento caseiro supervisionado com Whiteness Perfect 10%, de peróxido de carbamida.
TRATAMENTO EXECUTADO
Inicialmente foram realizadas moldagens em alginato das arcadas superior e inferior para obtenção dos modelos. As moldeiras foram confeccionadas em uma plastificadora a vácuo utilizando placas para moldeiras de clareamento Whiteness. Após a confecção, as moldeiras foram ajustadas para garantir adaptação adequada, boa retenção e conforto, sendo então entregues ao paciente. O paciente foi orientado a aplicar uma gota do gel clareador na face vestibular de pré-molar a pré-molar. O protocolo consistiu em três horas diárias de uso durante 21 dias. O acompanhamento foi realizado semanalmente e a cor foi avaliada um mês após o término do tratamento para verificar a alteração cromática.
O paciente relatou alta satisfação com o tratamento, ausência de sensibilidade e irritação gengival, além de ter se beneficiado da flexibilidade de poder realizar o tratamento supervisionado em casa. A percepção dos pacientes sobre a aparência estética do sorriso é fortemente influenciada pela cor dos dentes. A técnica caseira de clareamento dental é uma alternativa eficaz para melhorar esse aspecto, reconhecida como uma das técnicas mais antigas e ainda amplamente utilizada. O gel de peróxido de carbamida 10% é considerado o padrão ouro, ao proporcionar um protocolo seguro e eficaz, com baixo risco de sensibilidade dental e irritação gengival1 .
PASSO A PASSO DO CLAREAMENTO

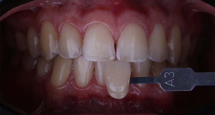
1 | Tomada de cor inicial com a escala de cor, A3 nos incisivos

2 | Tomada de cor inicial com a escala de cor, A4 nos caninos.

3 | Aplicação do gel Whiteness Perfect 10% de peróxido de carbamida na moldeira de clareamento.

4 | Inserção da moldeira de clareamento

5 | Tomada de cor final com a escala de cor, B1 nos incisivos.

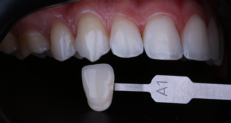
6 | Tomada de cor final com a escala de cor, A1 nos caninos

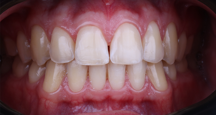
7 | Aspecto intraoral inicial do sorriso

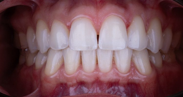
8 | Aspecto intraoral final do sorriso.

9 | Aspecto final do sorriso.
Saiba mais sobre a Linha Whiteness!
PRODUTOS UTILIZADOS
REFERÊNCIAS BIBLIOGRÁFICAS
- de Geus JL, Wambier LM, Boing TF, Loguercio AD, Reis A. At-home Bleaching With 10% vs More Concentrated Carbamide Peroxide Gels: A Systematic Review and Meta-analysis. Operative dentistry. 2018; Jul/ Aug;43(4):E210-e22


