Autores: Dra. Laryssa Barbosa, Dra. Deisy Cordeiro, Dra. Gabrielle Centenaro, Dra. Letícia Condolo, Dr. Michael Willian Favoreto, Prof. Dr. Alessandro Loguercio e Profª Dra. Alessandra Reis.
A cor dos dentes é um dos principais determinantes da estética do sorriso, impactando significativamente a autoestima e a percepção de saúde e bem-estar dos pacientes¹. Esse fator tem impulsionado a crescente demanda por tratamentos odontológicos estéticos minimamente invasivos, sendo o clareamento dental um dos procedimentos mais procurados na prática clínica atual, especialmente entre jovens adultos. Entre as modalidades disponíveis, o clareamento dental pode ser realizado tanto em consultório quanto em casa, sob supervisão profissional.
Uma revisão sistemática de ensaios clínicos randomizados² demonstrou que, ambos os métodos apresentam eficácia semelhante quando avaliados por unidades de guia de cor Vita (∆SGU). No entanto, o protocolo caseiro proporcionou maior alteração de cor segundo o parâmetro ∆E, uma medida objetiva que avalia mudanças na tonalidade, luminosidade e saturação da cor dentária, em que valores mais altos indicam maior percepção de clareamento.
Além disso, o clareamento caseiro foi associado a menor intensidade de sensibilidade dentária. Nesse cenário, o clareamento dental caseiro supervisionado consolidou-se como uma alternativa amplamente recomendada, devido à sua comprovada eficácia, segurança e excelente custo-benefício.²
Entre os agentes clareadores disponíveis para o clareamento dental caseiro, o peróxido de carbamida (PC) a 10% destaca-se como a concentração padrão de referência na prática clínica. Sua ampla utilização se deve à combinação de eficácia clareadora comprovada e menor risco de efeitos adversos, como a sensibilidade dentária e irritações gengivais.
Revisão sistemática de ensaios clínicos randomizados demonstrou que PC a 10% promove mudanças de cor clinicamente perceptíveis, sendo tão eficaz quanto concentrações mais elevadas de PC ou concentrações equivalentes de peróxido de hidrogênio, mas com menor intensidade e prevalência de sensibilidade³
Além disso, o PC a 10% permite flexibilidade quanto ao tempo de aplicação diária, favorecendo a adaptação do tratamento à rotina do paciente e, com isso, melhorando sua adesão ao protocolo. Nesse sentido, um ensaio clínico randomizado demonstrou que aplicações de 2 ou 4 horas diárias durante 14 dias foram não inferiores ao protocolo convencional de 8 horas, tanto em relação à eficácia do clareamento (∆E) quanto à satisfação dos pacientes⁴. Além disso, as aplicações de menor duração não aumentaram a intensidade nem o risco de sensibilidade dentária, o que reforça a viabilidade de protocolos personalizados e mais confortáveis⁴
Outro diferencial do clareamento caseiro supervisionado é a praticidade na produção das moldeiras personalizadas, que são confeccionadas com placas de acetato de 1 mm de espessura, garantindo conforto e boa adaptação. A simplicidade técnica favorece a implementação clínica do tratamento, desde que antecedida por uma avaliação criteriosa, que deve considerar a saúde gengival, a integridade do esmalte, a presença de restaurações e sua extensão e o histórico prévio de sensibilidade dentária.
Paralelamente, práticas como a confecção de reservatórios nas moldeiras⁵-⁶, o recorte anatômico ao longo da margem gengival⁷, a aplicação simultânea do gel nas faces vestibular e lingual⁸ e a recomendação de dietas restritivas durante o tratamento⁹⁻¹¹ têm sido objeto de reavaliação à luz das evidências científicas mais atuais. Um estudo clínico conduzido demonstrou que a presença de reservatórios nas moldeiras não promoveu benefícios adicionais em termos de eficácia do clareamento, durabilidade dos resultados ou redução de efeitos adversos⁵-⁶.
Foi também observado que moldeiras com recorte reto a 1 mm da margem gengival apresentam desempenho clínico comparável às de recorte anatômico, tanto em termos de irritação gengival quanto em conforto para o paciente⁷.
Além disso, a aplicação simultânea do gel nas faces vestibular e lingual não trouxe vantagens clínicas relevantes, além de maior desperdício de material⁸. Também não há evidências que sustentem a recomendação de dietas restritivas durante o clareamento, como evitar café, vinho ou alimentos pigmentados, prática que pode representar um desconforto desnecessário para o paciente. ⁹⁻¹¹
Em conjunto, esses achados reforçam a tendência atual de otimizar a técnica com foco na eficácia, simplicidade e conforto do paciente, eliminando etapas ou recomendações que não impactam positivamente os resultados clínicos.
Dicas e orientação clínica para clareamento dental caseiro
| DICAS | ORIENTAÇÃO CLÍNICA |
| 1. Dieta durante o clareamento | Independentemente da técnica de clareamento dental vital, não é necessário restringir a dieta dos pacientes durante o tratamento⁹⁻¹¹. |
| 2. Concentração do peróxido de carbamida | O peróxido de carbamida a 10% é tão eficaz quanto concentrações mais altas, com menor risco de efeitos adversos, como sensibilidade dentária³. |
| 3. Comparação entre tipos de peróxidos | Tanto os produtos à base de peróxido de carbamida quanto os à base de peróxido de hidrogênio promovem clareamento eficaz, com risco e intensidade de sensibilidade dentária semelhantes em concentrações equivalentes¹². |
| 4. Espessura da moldeira | Utilizar placa de acetato com 1 mm de espessura, ideal para conforto e boa adaptação. |
| 5. Uso de reservatórios | Não é necessário confeccionar reservatórios nas moldeiras de clareamento caseiro, o que facilita a confecção, torna-se econômicas e requerem menor quantidade de gel clareador⁵-⁶ |
| 6. Placa de clareamento | Realizar a placa de clareamento com modelos de gesso em ferradura e uso de uma única placa para o arco superior e inferior. |
| 7. Frequência de uso da moldeira | Não é necessário recomendar o uso da moldeira mais de uma vez ao dia¹³⁻¹⁴. |
| 8. Tipo de recorte da moldeira | O recorte reto, com 1 mm acima da gengiva, proporciona boa adaptação e eficácia, sem diferença clínica significativa em relação ao recorte anatômico⁷. |
| 9. Aplicação vestibular e lingual simultânea | O uso do gel clareador simultaneamente pelas faces vestibular e lingual não oferece benefício adicional ao clareamento dental⁸. |
| 10. Quantidade de gel | Aplicar uma pequena gota de gel por dente na moldeira (equivalente a um grão de arroz), evitando excessos que possam extravasar e causar irritação gengival. |
| 11. Tempo de uso diário do gel | O peróxido de carbamida pode ser eficaz mesmo quando prescrito por períodos mais curtos (1 a 4 horas), com menor risco de sensibilidade dentária⁴. |
| 12. Uso noturno | O uso noturno pode aumentar a sensibilidade dentinária⁴ |
Tabela 1. Guia prático do clareamento dental caseiro: da confecção à aplicação
PASSO A PASSO DA TÉCNICA DE CLAREAMENTO DENTAL CASEIRO SUPERVISIONADO COM WHITENESS PERFECT 10%
Autores: Dra. Laryssa Barbosa, Dra. Deisy Cordeiro, Dra. Gabrielle Centenaro, Dra. Letícia Condolo, Dr. Michael Willian Favoreto, Prof. Dr. Alessandro Loguercio e Profª Dra. Alessandra Reis.
PACIENTE DO SEXO FEMININO, 21 ANOS DE IDADE.
AVALIAÇÃO INICIAL
Inicialmente, foi realizada uma anamnese detalhada, na qual a paciente negou histórico de doenças sistêmicas, uso crônico de medicamentos, traumas dentários, episódios prévios de sensibilidade dentária e não observou-se tratamentos restauradores extensos. A queixa principal estava relacionada à insatisfação com a coloração dos dentes, afetando sua autoestima e segurança ao sorrir.
O exame clínico revelou dentes com esmalte íntegro, sem lesões cariosas, trincas, fraturas, restaurações extensas, lesões cervicais não cariosas ou alterações endodônticas. A gengiva apresentava-se saudável, sem sinais de inflamação ou retração. Observou-se uma leve discrepância na coloração entre os dentes, com os caninos visivelmente mais amarelados em comparação aos incisivos centrais, o que é comum devido à maior espessura da dentina nesse elemento dental.
TRATAMENTO EXECUTADO
Considerando a integridade dental, a ausência de fatores predisponentes à sensibilidade e o desejo da paciente por um tratamento eficaz, seguro e com bom custo-benefício, optou-se pela realização do clareamento dental caseiro supervisionado. A escolha também foi pautada na previsibilidade clínica dos resultados e na boa adesão esperada da paciente ao protocolo.
Diante desse panorama, o presente relato tem como objetivo descrever, passo a passo, a técnica de clareamento dental caseiro supervisionado utilizando peróxido de carbamida a 10%, evidenciando condutas clínicas atualizadas, orientações práticas e os resultados estéticos obtidos a partir de um protocolo seguro e baseado em evidências científicas contemporâneas.
PASSO A PASSO
ETAPA 1 | Registo da cor inicial
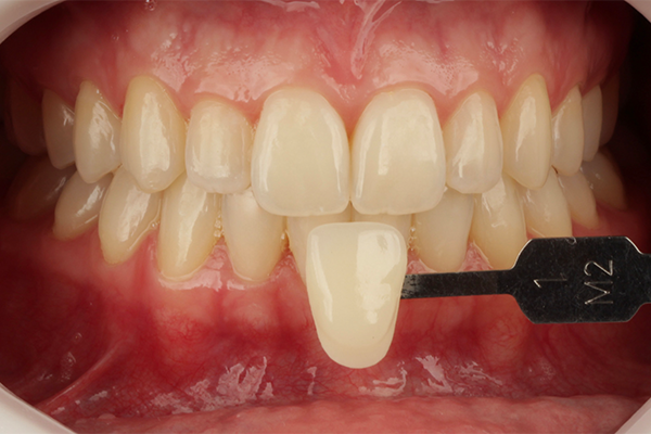
O registro da cor inicial foi realizado com fotografias padronizadas e escala visual Vita Bleachedguide 3D-MASTER (VITA Zahnfabrik, Alemanha). No terço médio dos incisivos centrais superiores, identificou-se a tonalidade 1M2, 1 enquanto nos caninos superiores observou-se a cor 3M2. A profilaxia prévia foi realizada para garantir uma avaliação precisa, já que biofilme e desidratação podem interferir na leitura da cor.

1 | Aspecto inicial do sorriso.

2 | Registro da cor inicial dos incisivos centrais utilizando escala de cor VITA Bleachedguide 3D-MASTER (1M2).

3 | Registro da cor inicial do canino utilizando escala de cor VITA Bleachedguide 3D-MASTER (3M2)
ETAPA 2 | Moldagem e confecção da moldeira personalizada
A moldagem dos arcos superior e inferior foi realizada com alginato, e os modelos foram vertidos em gesso. Os modelos foram recortados, e não foi realizada a confecção de reservatórios, considerando que sua presença não melhora a velocidade nem a durabilidade do clareamento, tampouco reduz significativamente efeitos adversos como sensibilidade ou irritação gengival⁵-⁶.
As moldeiras personalizadas foram confeccionadas com placas termoplásticas de EVA (Whiteness, FGM) com 1 mm de espessura, adaptadas por plastificação a vácuo. O recorte das moldeiras foi feito de forma reta, aproximadamente 1 mm acima do nível gengival. Essa abordagem foi escolhida por oferecer maior praticidade técnica ao profissional, sem comprometer a eficácia do clareamento, uma vez que não há diferença significativa entre o recorte reto e o recorte que contorna a margem gengival em relação à efetividade do tratamento ou à ocorrência de efeitos adversos⁷.

4 | Modelo superior em posicionamento para moldagem a vácuo em plastificadora.
ETAPA 3 | Prescrição e orientação sobre o gel clareador
Durante a prova das moldeiras, foi prescrito o uso de peróxido de carbamida a 10% Whiteness Perfect, com aplicação de uma gota equivalente a um grão de arroz na face vestibular de cada dente a ser clareado. O protocolo indicado consistiu em 3 horas diárias durante 14 dias consecutivos. A paciente foi orientada a realizar a aplicação apenas na face vestibular, visto que a aplicação simultânea nas faces vestibular e palatina não promove benefícios adicionais e resulta em desperdício de material⁸.

5 | Demonstração da aplicação de uma pequena gota de gel de peróxido de carbamida 10% Whiteness Perfect, nas faces vestibulares das moldeiras dos dentes a serem clareados.

6 | Prova das moldeiras.

7 | Prova das moldeiras.
ETAPA 4 | Avaliação semanal
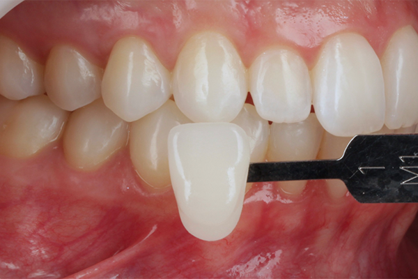
Após a primeira semana, foi realizada uma reavaliação clínica com novo registro de cor. Observou-se alteração para a tonalidade 1M1 no terço médio dos incisivos centrais superiores. Nos caninos superiores, também foi registrada a tonalidade 1M1.
Resultado final e considerações
Ao final das duas semanas de trata mento, a tonalidade 1M1 foi mantida tanto nos incisivos centrais quanto nos caninos superiores. O clareamento proporcionou uma melhora estética significativa, atendendo às expectativas da paciente e resultando em coloração dentária mais uni forme e harmoniosa. A obtenção de dentes visivelmente mais claros refletiu positivamente na autoestima da paciente e em sua segurança ao sorrir, contribuindo para um impacto direto em sua qualidade de vida. O caso evidencia os benefícios do clareamento dental caseiro com peróxido de carbamida a 10% como uma abordagem eficaz, segura e acessível, com potencial para promover não apenas melhorias estéticas, mas também bem-estar psicológico e social.

8 | Registro frontal da cor após duas semanas de tratamento do clareador utilizando escala VITA Bleachedguide 3D-MASTER (1M1).

9 | Registro lateral direito da cor da cor após duas semanas de tratamento clareador utilizando escala VITA Bleachedguide 3D-MASTER (1M1).

10 | Representação da diferença de cor entre caninos e incisivos centrais antes e após o clareamento dental, utilizando a escala VITA Bleachedguide 3D-MASTER. (1) Mudança de cor dos caninos, de 3M2 para 1M1 após o clareamento; (2) Mudança de cor dos incisivos centrais, de 1M2 para 1M1 após o clareamento.

11 | Aspecto final do sorriso após o tratamento
“Diferentemente de outros produtos, o Whiteness Perfect da FGM apresenta viscosidade adequada, que não escorre e se distribui de forma homogênea na moldeira e nas superfícies dentais, garantindo boa adaptação e conforto durante o uso. Mesmo com tempos curtos de aplicação (1 a 2 horas diárias), promove clareamento eficaz e baixa sensibilidade em apenas duas semanas, alcançando resultados semelhantes aos de produtos mais concentrados”.
Profª. Dra. Alessandra Reis, Dra. Laryssa Barbosa, Dra. Deisy Cordeiro, Dra. Gabrielle Centenaro e Dra. Letícia Condolo.
Whiteness Perfect é, mais uma vez, o nº 1 do mundo!🏆
7x premiado pela Dental Advisor, o que reforça a sua posição como referência global em clareamento dental. Como o primeiro clareador brasileiro, ele não apenas inovou o mercado, mas também elevou o padrão de qualidade e segurança, conquistando a confiança de profissionais e pacientes ao redor do mundo.
Esse reconhecimento é a prova do compromisso da FGM com a excelência e a ciência. Cada conquista reafirma que Whiteness Perfect é um símbolo de tecnologia, eficácia e credibilidade que ultrapassa fronteiras.
REFERÊNCIAS BIBLIOGRÁFICAS
- BONAFÉ, E.; REZENDE, M.; MACHADO, M. M.; et al. Personality traits, psychosocial effects and quality of life of patients submitted to dental bleaching. BMC Oral Health, v. 21, n. 1, p. 7, 2021.
- GEUS, J. L.; MARTINS, A.; REIS, A.; REZENDE, M. At-home vs in-office bleaching: an updated systematic review and meta-analysis. Operative Dentistry, 2025.
- TERRA, R. M. O.; FAVORETO, M. W.; MORRIS, T.; LOGUERCIO, A. D.; REIS, A. Effect of at-home bleaching agents and concentrations on tooth sensitivity: a systematic review and network meta-analysis. Journal of Dentistry, v. 160, p. 105891, 2025.
- TERRA, R. M. O.; SUTIL, E.; FERREIRA CORDEIRO, D. C.; et al. Different daily times for at-home bleaching with 10% carbamide peroxide: a randomized single-blind, noninferiority controlled trial. Journal of the American Dental Association, v. 156, n. 1, p. 57-67.e5, 2025.
- MARTINI, E. C.; FAVORETO, M. W.; COPPLA, F. M.; LOGUERCIO, A. D.; REIS, A. Evaluation of reservoirs in bleaching trays for at-home bleaching: a split-mouth single-blind randomized controlled equivalence trial. Journal of Applied Oral Science, v. 28, e20200332, 2020.
- MARTINI, E. C.; FAVORETO, M. W.; ANDRADE, H. F.; et al. One-year follow-up evaluation of reservoirs in bleaching trays for at-home bleaching. Journal of Esthetic and Restorative Dentistry, v. 33, n. 7, p. 992-998, 2021.
- CARNEIRO, T. S.; FAVORETO, M. W.; BERNARDI, L. G.; et al. Gingival irritation in patients submitted to at-home bleaching with different cutouts of the bleaching tray: a randomized, single-blind clinical trial. Clinical Oral Investigations, v. 26, n. 6, p. 4381-4390, 2022.
- FORVILLE, H.; BERNARDI, L. G.; FAVORETO, M. W.; et al. Efficacy of a buccal and lingual at-home bleaching protocol: a randomized, split-mouth, single-blind controlled trial. Journal of Esthetic and Restorative Dentistry, v. 36, n. 9, p. 1301-1310, 2024.
- HASS, V.; CARVALHAL, S. T.; LIMA, S. N. L.; et al. Effects of exposure to cola-based soft drink on bleaching effectiveness and tooth sensitivity of in-office bleaching: a blind clinical trial. Clinical Cosmetic and Investigational Dentistry, v. 11, p. 383-392, 2019.
- REZENDE, M.; LOGUERCIO, A. D.; REIS, A.; KOSSATZ, S. Clinical effects of exposure to coffee during at-home vital bleaching. Operative Dentistry, v. 38, n. 6, p. E229-E236, 2013.
- MENEZES, L. L.; LIMA, S. N. L.; MAIA-FILHO, E. M.; et al. Clinical effects of the exposure to red wine during at-home bleaching. Quintessence International, v. 53, n. 1, p. 48-57, 2021.
- LUQUE-MARTINEZ, I.; REIS, A.; SCHROEDER, M.; et al. Comparison of efficacy of tray-delivered carbamide and hydrogen peroxide for at-home bleaching: a systematic review and meta-analysis. Clinical Oral Investigations, v. 20, n. 7, p. 1419-1433, 2016.
- PAULA, A. M.; HANZEN, T. A.; ANDRADE, H. F.; et al. Evaluation of application protocol of the 4% hydrogen peroxide for at-home bleaching: a randomized clinical trial. Journal of Esthetic and Restorative Dentistry, v. 35, n. 2, p. 360-367, 2023.
- PAULA, A. M.; HANZEN, T. A.; OLIVEIRA, M.; LOGUERCIO, A. D.; REIS, A. Evaluation of different protocols with 4% hydrogen peroxide in bleaching efficacy and tooth sensitivity: a single-blind, randomized clinical trial. Operative Dentistry, v. 48, n. 3, p. 268-276, 2023.
