Autores: Prof. Dr. Marinio Pedroza Baptista Junior e Prof. Dr. Kelvin Varaschin
PACIENTE DO SEXO FEMININO, 45 ANOS DE IDADE.
Paciente compareceu à clínica privada com queixa de ausências dentárias e dificuldade de função mastigatória com desejo de reposição dos dentes perdidos.
AVALIAÇÃO INICIAL
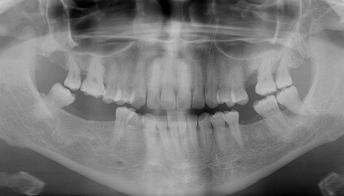
Na avaliação clínica observou-se ausência dos elementos 36, 46 e 47, com rebordo cicatrizado e atrofia de espessura. Ao exame radiográfico/tomográfico observou-se disponibilidade óssea para implantação e possibilidade de reabilitação em carga imediata com prótese provisória.
TRATAMENTO EXECUTADO
Após uma profilaxia a paciente foi submetida a anestesia local infiltrativa, retalho de espessura total e foi fresado com uma única broca com limitador de profundidade de 13 mm. Após foi conferida a posição das fresa gens com parelelizadores para posterior insta lação dos implantes. Os implantes Aikkon (3,8 × 11 mm) foram instalados 2 mm infraósseos. O torque de instalação foi de 40 N.cm (47), 60 N.cm (46) e 80 N.cm no (36). Como o torque alcançado permite a carga imediata como planejado já foram instalados os intermediários. Foi instalado o pilar Aikkon no 36 com 2,5 mm de altura de transmucoso e dois mini pilares Aikkon de altura de transmucoso 2,5 mm nos implantes 46 e 47.
Após instalação e torque de instalação final (32 N.cm para Pilar e 20 N.cm para Mini Pilar) foi suturado e escaneado com Scanner Dexis 3700. Após a primeira impressão digital foi duplicada a malha e apagadas na cópia as regiões dos implantes para aquisição dos scan bodies Aikkon. Em seguida foram removidos os corpos de escaneamento e os intermediários protegidos com coifas de proteção Aikkon e a paciente instruída dos cuidados pós opera tórios e liberada.
No dia seguinte a cirurgia, a paciente retornou para instalação das provisórias que foram desenhadas em software de desenho específico e impressas com a resina Voxelprint TEMP, cor A2 e cimentadas nos links Aikkon respectivos a cada componente utilizado. Assim foram instalados os provisórios e a paciente liberada. Foi realizada a remoção da sutura e fotos finais com 10 dias pós-opera tórios em que se contatou total adaptação e satisfação da paciente a nova condição.
PASSO A PASSO

1 | Panorâmica inicial.


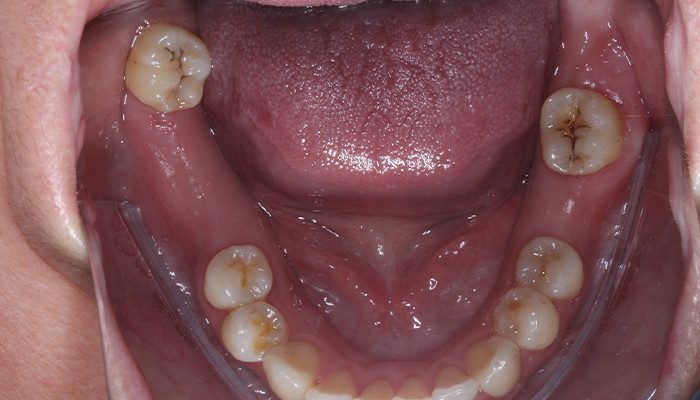
2 e 3 | Aspecto inicial intraoral.

4 | Retalho de espessura total.

5 | Realização de perfuração única utilizando a broca e o limitador Precision.

6 | Checagem dimensional da perfuração realizada utilizando os paralelizadores.

7 | Implante Aikkon 3,8 × 11 mm capturado utilizando a chave instalação monta implante Aikkon.

8 | Implantes instalados 2 mm infraósseo.

9 | Verificação do torque de instalação do implante 36.

10 | Pilar Aikkon sendo instalado em posição.

11 | Pilar Aikkon em posição após torque final de 32 N.cm.

12 | Mini pilares Aikkon sendo instalados.

13 | Mini pilares Aikkon instalados após torque final.

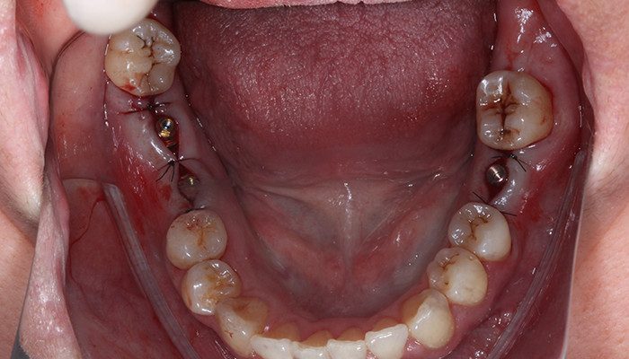
14 | Intermediários Aikkon instalados e sutura realizada.

15 | Scan bodies Aikkon instalados.

16 | Coroas 46 e 47 impressas em resina Voxelprint TEMP A2 e links para mini pilares Aikkon inteiros.

17 | Coroas 46 e 47 impressas em resina Voxelprint TEMP A2 e links para mini pilares Aikkon cortados.


18 e 19 | Coroas provisórias prontas para serem instaladas já com os links metálicos cimentados.

20 | Próteses provisórias instaladas.

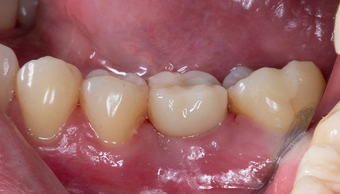
21 | Remoção de sutura e controle 10 dias de pós-operatório – 36 vista vestibular

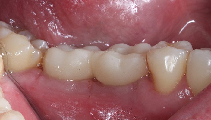
22 | Remoção de sutura e controle 10 dias de pós operatório – 46 e 47 vista vestibular.

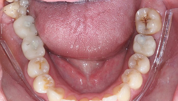
23 | Remoção de sutura e controle 10 dias de pós operatório – Vista oclusal
Saiba mais sobre Fluxo Digital Aikkon!





