
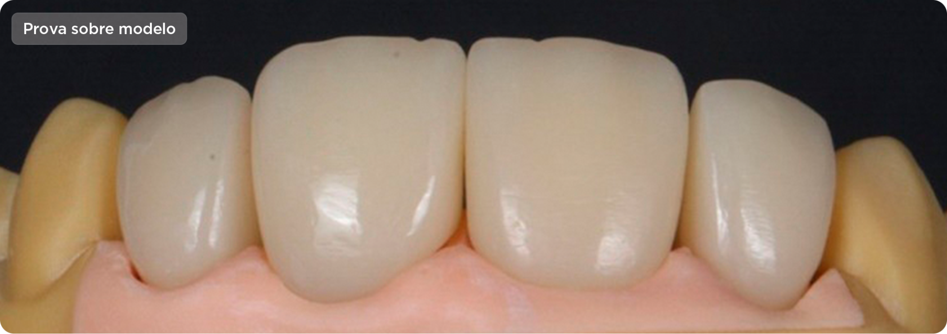
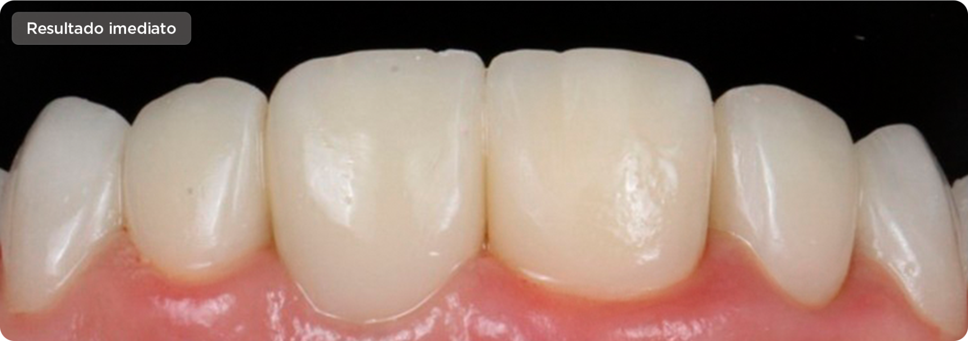
ideais para aplicação em próteses temporárias.

e detalhamento de impressão.

com diferentes materiais, sem a necessidade de tratamento de superfície.

para maior precisão e confiança nos resultados.
Ampla variedade de indicações clínicas para dentes anteriores e posteriores.
Compatíveis com a escala Vita, as cores da Voxelprint TEMP atendem as necessidades clínicas mais frequentes. Apresentam opacidade universal, entre LT (baixa translucidez) e MT (média translucidez), além de permitir maquiagem e caracterização individualizada.
*Tabela de cores meramente ilustrativa.
A estabilidade de cor evita alterações visuais perceptíveis na etapa de pós-cura, ocasionando em melhor performance estética, reduzindo a necessidade de substituições e custos clínicos associados.
Foto: Dr. Diego Orsine
Ensaio que mede a estabilidade de cor de resinas para Impressão 3D de próteses dentárias provisórias em diferentes tempos de pós-cura.
Especificação | Valor |
|---|---|
Altura de Camada (mm) | 0,1 |
Tempo de Cura (seg)
| 4,4 |
Tempo de Aderência (seg)
| 25
|
Camadas de Transição
| 8
|
Intensidade de Luz (%)
| 100
|
Ajuste de Tamanho em X (%)
| 100
|
Ajuste de Tamanho em Y (%)
| 100
|
Compensação Externa (mm)
| 0,00
|
Especificação | Valor |
|---|---|
Altura de Camada (mm) | 0,1 |
Tempo de Cura (seg)
| 4,6 |
Tempo de Aderência (seg)
| 25
|
Camadas de Transição
| 8
|
Intensidade de Luz (%)
| 100
|
Ajuste de Tamanho em X (%)
| 100
|
Ajuste de Tamanho em Y (%)
| 100
|
Compensação Externa (mm)
| 0,00
|
Especificação | Valor |
|---|---|
Altura de Camada (mm) | 0,1 |
Tempo de Cura (seg)
| 4,8 |
Tempo de Aderência (seg)
| 25
|
Camadas de Transição
| 8
|
Intensidade de Luz (%)
| 100
|
Ajuste de Tamanho em X (%)
| 100
|
Ajuste de Tamanho em Y (%)
| 100
|
Compensação Externa (mm)
| 0,00
|
Especificação | Valor |
|---|---|
Altura de Camada (mm) | 0,1 |
Tempo de Cura (seg)
| 10,1 |
Tempo de Aderência (seg)
| 35 |
Camadas de Transição
| 8
|
Ajuste de Tamanho em X (%)
| 100,5 |
Ajuste de Tamanho em Y (%)
| 100,5
|
Ajuste de Tamanho em Z (%) | 100,5
|
Especificação | Valor |
|---|---|
Altura de Camada (mm) | 0,1 |
Tempo de Cura (seg)
| 5,3 |
Tempo de Aderência (seg)
| 25 |
Camadas de Transição
| 8
|
Ajuste de Tamanho em X (%)
| 100,4 |
Ajuste de Tamanho em Y (%)
| 100,4 |
Ajuste de Tamanho em Z (%) | 100,4 |
Especificação | Valor |
|---|---|
Altura de Camada (mm) | 0,1 |
Tempo de Cura (seg)
| 3,2 |
Tempo de Aderência (seg)
| 20
|
Camadas de Transição
| 8
|
Intensidade de Luz (%)
| – |
Ajuste de Tamanho em X (%)
| 100
|
Ajuste de Tamanho em Y (%)
| 100
|
Compensação Externa (mm)
| 0,00
|
Especificação | Valor |
|---|---|
Altura de Camada (mm) | 0,1 |
Tempo de Cura (seg)
| 3,3 |
Tempo de Aderência (seg)
| 20
|
Camadas de Transição
| 8
|
Intensidade de Luz (%)
| – |
Ajuste de Tamanho em X (%)
| 100
|
Ajuste de Tamanho em Y (%)
| 100
|
Compensação Externa (mm)
| 0,00
|
Especificação | Valor |
|---|---|
Altura de Camada (mm) | 0,1 |
Tempo de Cura (seg)
| 3,4 |
Tempo de Aderência (seg)
| 20
|
Camadas de Transição
| 8
|
Intensidade de Luz (%)
| – |
Ajuste de Tamanho em X (%)
| 100
|
Ajuste de Tamanho em Y (%)
| 100
|
Compensação Externa (mm)
| 0,00
|
Especificação | Valor |
|---|---|
Altura de Camada (mm) | 0,1 |
Tempo de Cura (seg)
| 7,2 |
Tempo de Aderência (seg)
| 30 |
Camadas de Transição
| 8
|
Ajuste de Tamanho em X (%)
| 100,5 |
Ajuste de Tamanho em Y (%)
| 100,5
|
Ajuste de Tamanho em Z (%)
| 100,5
|
Especificação | Valor |
|---|---|
Altura de Camada (mm) | 0,1 |
Tempo de Cura (seg)
| 3,8 |
Tempo de Aderência (seg)
| 25 |
Camadas de Transição
| 8
|
Ajuste de Tamanho em X (%)
| 100,4 |
Ajuste de Tamanho em Y (%)
| 100,4 |
Ajuste de Tamanho em Z (%) | 100,4 |
Especificação | Valor |
|---|---|
Altura de Camada (mm) | 0,1 |
Tempo de Cura (seg)
| 4,8 |
Tempo de Aderência (seg)
| 30 |
Camadas de Transição
| 8
|
Intensidade de Luz (%)
| – |
Ajuste de Tamanho em X (%)
| 100
|
Ajuste de Tamanho em Y (%)
| 100
|
Compensação Externa (mm)
| 0,00
|
Especificação | Valor |
|---|---|
Altura de Camada (mm) | 0,1 |
Tempo de Cura (seg)
| 5 |
Tempo de Aderência (seg)
| 30 |
Camadas de Transição
| 8
|
Intensidade de Luz (%)
| – |
Ajuste de Tamanho em X (%)
| 100
|
Ajuste de Tamanho em Y (%)
| 100
|
Compensação Externa (mm)
| 0,00
|
Especificação | Valor |
|---|---|
Altura de Camada (mm) | 0,1 |
Tempo de Cura (seg)
| 5,2 |
Tempo de Aderência (seg)
| 30 |
Camadas de Transição
| 8
|
Intensidade de Luz (%)
| – |
Ajuste de Tamanho em X (%)
| 100
|
Ajuste de Tamanho em Y (%)
| 100
|
Compensação Externa (mm)
| 0,00
|
Especificação | Valor |
|---|---|
Altura de Camada (mm) | 0,1 |
Tempo de Cura (seg)
| 11 |
Tempo de Aderência (seg)
| 40 |
Camadas de Transição
| 8
|
Ajuste de Tamanho em X (%)
| 100,5 |
Ajuste de Tamanho em Y (%)
| 100,5
|
Ajuste de Tamanho em Z (%)
| 100,5
|
Especificação | Valor |
|---|---|
Altura de Camada (mm) | 0,1 |
Tempo de Cura (seg)
| 5,8 |
Tempo de Aderência (seg)
| 30 |
Camadas de Transição
| 8
|
Ajuste de Tamanho em X (%)
| 100,4 |
Ajuste de Tamanho em Y (%)
| 100,4 |
Ajuste de Tamanho em Z (%) | 100,4 |
Especificação | Valor |
|---|---|
Altura de Camada (mm) | 0,1 |
Tempo de Cura (seg)
| 3,9 |
Tempo de Aderência (seg)
| 35 |
Camadas de Transição
| 8
|
Intensidade de Luz (%)
| – |
Ajuste de Tamanho em X (%)
| 100
|
Ajuste de Tamanho em Y (%)
| 100
|
Compensação Externa (mm)
| 0,00
|
Especificação | Valor |
|---|---|
Altura de Camada (mm) | 0,1 |
Tempo de Cura (seg)
| 4 |
Tempo de Aderência (seg)
| 35 |
Camadas de Transição
| 8
|
Intensidade de Luz (%)
| – |
Ajuste de Tamanho em X (%)
| 100
|
Ajuste de Tamanho em Y (%)
| 100
|
Compensação Externa (mm)
| 0,00
|
Especificação | Valor |
|---|---|
Altura de Camada (mm) | 0,1 |
Tempo de Cura (seg)
| 4,2 |
Tempo de Aderência (seg)
| 35 |
Camadas de Transição
| 8
|
Intensidade de Luz (%)
| – |
Ajuste de Tamanho em X (%)
| 100
|
Ajuste de Tamanho em Y (%)
| 100
|
Compensação Externa (mm)
| 0,00
|
Especificação | Valor |
|---|---|
Altura de Camada (mm) | 0,1 |
Tempo de Cura (seg)
| 8,9 |
Tempo de Aderência (seg)
| 45 |
Camadas de Transição
| 8
|
Ajuste de Tamanho em X (%)
| 100,5 |
Ajuste de Tamanho em Y (%)
| 100,5
|
Ajuste de Tamanho em Z (%)
| 100,5
|
Especificação | Valor |
|---|---|
Altura de Camada (mm) | 0,1 |
Tempo de Cura (seg)
| 4,7 |
Tempo de Aderência (seg)
| 35 |
Camadas de Transição
| 8
|
Ajuste de Tamanho em X (%)
| 100,4 |
Ajuste de Tamanho em Y (%)
| 100,4 |
Ajuste de Tamanho em Z (%) | 100,4 |
Especificação | Valor |
|---|---|
Altura de Camada (mm) | 0,1 |
Tempo de Cura (seg)
| – |
Tempo de Aderência (seg)
| – |
Camadas de Transição
| – |
Intensidade de Luz (%)
| – |
Ajuste de Tamanho em X (%)
| – |
Ajuste de Tamanho em Y (%)
| – |
Compensação Externa (mm)
| 0,00
|
Especificação | Valor |
|---|---|
Altura de Camada (mm) | 0,1 |
Tempo de Cura (seg)
| – |
Tempo de Aderência (seg)
| – |
Camadas de Transição
| – |
Intensidade de Luz (%)
| – |
Ajuste de Tamanho em X (%)
| – |
Ajuste de Tamanho em Y (%)
| – |
Compensação Externa (mm)
| 0,00
|
Especificação | Valor |
|---|---|
Altura de Camada (mm) | 0,1 |
Tempo de Cura (seg)
| – |
Tempo de Aderência (seg)
| – |
Camadas de Transição
| – |
Intensidade de Luz (%)
| – |
Ajuste de Tamanho em X (%)
| – |
Ajuste de Tamanho em Y (%)
| – |
Compensação Externa (mm)
| 0,00
|
Especificação | Valor |
|---|---|
Altura de Camada (mm) | 0,1 |
Tempo de Cura (seg)
| 9,5 |
Tempo de Aderência (seg)
| 30 |
Camadas de Transição
| 8
|
Ajuste de Tamanho em X (%)
| 100,5 |
Ajuste de Tamanho em Y (%)
| 100,5
|
Ajuste de Tamanho em Z (%)
| 100,5
|
Especificação | Valor |
|---|---|
Altura de Camada (mm) | 0,1 |
Tempo de Cura (seg)
| 5,0 |
Tempo de Aderência (seg)
| 25 |
Camadas de Transição
| 8
|
Ajuste de Tamanho em X (%)
| 100,4 |
Ajuste de Tamanho em Y (%)
| 100,4 |
Ajuste de Tamanho em Z (%) | 100,4 |
Especificação | Valor |
|---|---|
Altura de Camada (mm) | 0,1 |
Tempo de Cura (seg)
| 4,2 |
Tempo de Aderência (seg)
| 20
|
Camadas de Transição
| 8
|
Intensidade de Luz (%)
| –
|
Ajuste de Tamanho em X (%)
| 100
|
Ajuste de Tamanho em Y (%)
| 100
|
Compensação Externa (mm)
| 0,00
|
Especificação | Valor |
|---|---|
Altura de Camada (mm) | 0,1 |
Tempo de Cura (seg)
| 4,4 |
Tempo de Aderência (seg)
| 20
|
Camadas de Transição
| 8
|
Intensidade de Luz (%)
| – |
Ajuste de Tamanho em X (%)
| 100
|
Ajuste de Tamanho em Y (%)
| 100
|
Compensação Externa (mm)
| 0,00
|
Especificação | Valor |
|---|---|
Altura de Camada (mm) | 0,1 |
Tempo de Cura (seg)
| 4,5 |
Tempo de Aderência (seg)
| 20
|
Camadas de Transição
| 8
|
Intensidade de Luz (%)
| – |
Ajuste de Tamanho em X (%)
| 100
|
Ajuste de Tamanho em Y (%)
| 100
|
Compensação Externa (mm)
| 0,00
|
Especificação | Valor |
|---|---|
Altura de Camada (mm) | 0,1 |
Tempo de Cura (seg)
| 9,5 |
Tempo de Aderência (seg)
| 30 |
Camadas de Transição
| 8
|
Ajuste de Tamanho em X (%)
| 100,5 |
Ajuste de Tamanho em Y (%)
| 100,5
|
Ajuste de Tamanho em Z (%)
| 100,5
|
Especificação | Valor |
|---|---|
Altura de Camada (mm) | 0,1 |
Tempo de Cura (seg)
| 5,0 |
Tempo de Aderência (seg)
| 25 |
Camadas de Transição
| 8
|
Ajuste de Tamanho em X (%)
| 100,4 |
Ajuste de Tamanho em Y (%)
| 100,4 |
Ajuste de Tamanho em Z (%) | 100,4 |
Especificação | Valor |
|---|---|
Altura de Camada (mm) | 0,1 |
Tempo de Cura (seg)
| 5 |
Tempo de Aderência (seg)
| 20
|
Camadas de Transição
| 8
|
Intensidade de Luz (%)
| –
|
Ajuste de Tamanho em X (%)
| 100
|
Ajuste de Tamanho em Y (%)
| 100
|
Compensação Externa (mm)
| 0,00
|
Especificação | Valor |
|---|---|
Altura de Camada (mm) | 0,1 |
Tempo de Cura (seg)
| 5,2 |
Tempo de Aderência (seg)
| 20
|
Camadas de Transição
| 8
|
Intensidade de Luz (%)
| – |
Ajuste de Tamanho em X (%)
| 100
|
Ajuste de Tamanho em Y (%)
| 100
|
Compensação Externa (mm)
| 0,00
|
Especificação | Valor |
|---|---|
Altura de Camada (mm) | 0,1 |
Tempo de Cura (seg)
| 5,5 |
Tempo de Aderência (seg)
| 20
|
Camadas de Transição
| 8
|
Intensidade de Luz (%)
| – |
Ajuste de Tamanho em X (%)
| 100
|
Ajuste de Tamanho em Y (%)
| 100
|
Compensação Externa (mm)
| 0,00
|
Especificação | Valor |
|---|---|
Altura de Camada (mm) | 0,1 |
Tempo de Cura (seg)
| 11,6 |
Tempo de Aderência (seg)
| 30 |
Camadas de Transição
| 8
|
Ajuste de Tamanho em X (%)
| 100,5 |
Ajuste de Tamanho em Y (%)
| 100,5
|
Ajuste de Tamanho em Z (%)
| 100,5
|
Especificação | Valor |
|---|---|
Altura de Camada (mm) | 0,1 |
Tempo de Cura (seg)
| 6,1 |
Tempo de Aderência (seg)
| 30 |
Camadas de Transição
| 8
|
Ajuste de Tamanho em X (%)
| 100,4 |
Ajuste de Tamanho em Y (%)
| 100,4 |
Ajuste de Tamanho em Z (%) | 100,4 |
Especificação | Valor |
|---|---|
Altura de Camada (mm) | 0,1 |
Tempo de Cura (seg)
| 5 |
Tempo de Aderência (seg)
| 20
|
Camadas de Transição
| 8
|
Intensidade de Luz (%)
| –
|
Ajuste de Tamanho em X (%)
| 100
|
Ajuste de Tamanho em Y (%)
| 100
|
Compensação Externa (mm)
| 0,00
|
Especificação | Valor |
|---|---|
Altura de Camada (mm) | 0,1 |
Tempo de Cura (seg)
| 5,2 |
Tempo de Aderência (seg)
| 20
|
Camadas de Transição
| 8
|
Intensidade de Luz (%)
| – |
Ajuste de Tamanho em X (%)
| 100
|
Ajuste de Tamanho em Y (%)
| 100
|
Compensação Externa (mm)
| 0,00
|
Especificação | Valor |
|---|---|
Altura de Camada (mm) | 0,1 |
Tempo de Cura (seg)
| 5,5 |
Tempo de Aderência (seg)
| 20
|
Camadas de Transição
| 8
|
Intensidade de Luz (%)
| – |
Ajuste de Tamanho em X (%)
| 100
|
Ajuste de Tamanho em Y (%)
| 100
|
Compensação Externa (mm)
| 0,00
|
Especificação | Valor |
|---|---|
Altura de Camada (mm) | 0,1 |
Tempo de Cura (seg)
| 11,6 |
Tempo de Aderência (seg)
| 30 |
Camadas de Transição
| 8
|
Ajuste de Tamanho em X (%)
| 100,5 |
Ajuste de Tamanho em Y (%)
| 100,5
|
Ajuste de Tamanho em Z (%)
| 100,5
|
Especificação | Valor |
|---|---|
Altura de Camada (mm) | 0,1 |
Tempo de Cura (seg)
| 6,1 |
Tempo de Aderência (seg)
| 30 |
Camadas de Transição
| 8
|
Ajuste de Tamanho em X (%)
| 100,4 |
Ajuste de Tamanho em Y (%)
| 100,4 |
Ajuste de Tamanho em Z (%) | 100,4 |
Especificação | Valor |
|---|---|
Altura de Camada (mm) | 0,1 |
Tempo de Cura (seg)
| 5 |
Tempo de Aderência (seg)
| 25
|
Camadas de Transição
| 8
|
Intensidade de Luz (%)
| –
|
Ajuste de Tamanho em X (%)
| 100
|
Ajuste de Tamanho em Y (%)
| 100
|
Compensação Externa (mm)
| 0,00
|
Especificação | Valor |
|---|---|
Altura de Camada (mm) | 0,1 |
Tempo de Cura (seg)
| 5,5 |
Tempo de Aderência (seg)
| 25
|
Camadas de Transição
| 8
|
Intensidade de Luz (%)
| – |
Ajuste de Tamanho em X (%)
| 100
|
Ajuste de Tamanho em Y (%)
| 100
|
Compensação Externa (mm)
| 0,00
|
Especificação | Valor |
|---|---|
Altura de Camada (mm) | 0,1 |
Tempo de Cura (seg)
| 6 |
Tempo de Aderência (seg)
| 25 |
Camadas de Transição
| 8
|
Intensidade de Luz (%)
| – |
Ajuste de Tamanho em X (%)
| 100
|
Ajuste de Tamanho em Y (%)
| 100
|
Compensação Externa (mm)
| 0,00
|
Especificação | Valor |
|---|---|
Altura de Camada (mm) | 0,1 |
Tempo de Cura (seg)
| 9,5 |
Tempo de Aderência (seg)
| 35 |
Camadas de Transição
| 8
|
Ajuste de Tamanho em X (%)
| 100,5 |
Ajuste de Tamanho em Y (%)
| 100,5
|
Ajuste de Tamanho em Z (%)
| 100,5
|
Especificação | Valor |
|---|---|
Altura de Camada (mm) | 0,1 |
Tempo de Cura (seg)
| 5,0 |
Tempo de Aderência (seg)
| 30 |
Camadas de Transição
| 8
|
Ajuste de Tamanho em X (%)
| 100,4 |
Ajuste de Tamanho em Y (%)
| 100,4 |
Ajuste de Tamanho em Z (%) | 100,4 |
Especificação | Valor |
|---|---|
Altura de Camada (mm) | 0,1 |
Tempo de Cura (seg)
| 5,4 |
Tempo de Aderência (seg)
| 25
|
Camadas de Transição
| 8
|
Intensidade de Luz (%)
| –
|
Ajuste de Tamanho em X (%)
| 100
|
Ajuste de Tamanho em Y (%)
| 100
|
Compensação Externa (mm)
| 0,00
|
Especificação | Valor |
|---|---|
Altura de Camada (mm) | 0,1 |
Tempo de Cura (seg)
| 5,5 |
Tempo de Aderência (seg)
| 25
|
Camadas de Transição
| 8
|
Intensidade de Luz (%)
| – |
Ajuste de Tamanho em X (%)
| 100
|
Ajuste de Tamanho em Y (%)
| 100
|
Compensação Externa (mm)
| 0,00
|
Especificação | Valor |
|---|---|
Altura de Camada (mm) | 0,1 |
Tempo de Cura (seg)
| 6 |
Tempo de Aderência (seg)
| 25
|
Camadas de Transição
| 8
|
Intensidade de Luz (%)
| – |
Ajuste de Tamanho em X (%)
| 100
|
Ajuste de Tamanho em Y (%)
| 100
|
Compensação Externa (mm)
| 0,00
|
Especificação | Valor |
|---|---|
Altura de Camada (mm) | 0,1 |
Tempo de Cura (seg)
| 12,7 |
Tempo de Aderência (seg)
| 35 |
Camadas de Transição
| 8
|
Ajuste de Tamanho em X (%)
| 100,5 |
Ajuste de Tamanho em Y (%)
| 100,5
|
Ajuste de Tamanho em Z (%)
| 100,5
|
Especificação | Valor |
|---|---|
Altura de Camada (mm) | 0,1 |
Tempo de Cura (seg)
| 6,7 |
Tempo de Aderência (seg)
| 30 |
Camadas de Transição
| 8
|
Ajuste de Tamanho em X (%)
| 100,4 |
Ajuste de Tamanho em Y (%)
| 100,4 |
Ajuste de Tamanho em Z (%) | 100,4 |
Especificação | Valor |
|---|---|
Altura de Camada (mm) | 0,1 |
Tempo de Cura (seg)
| 5,7 |
Tempo de Aderência (seg)
| 20 |
Camadas de Transição
| 6
|
Intensidade de Luz (%)
| –
|
Ajuste de Tamanho em X (%)
| 100
|
Ajuste de Tamanho em Y (%)
| 100
|
Compensação Externa (mm)
| 0,00
|
Especificação | Valor |
|---|---|
Altura de Camada (mm) | 0,1 |
Tempo de Cura (seg)
| 5,4 |
Tempo de Aderência (seg)
| 25
|
Camadas de Transição
| 8
|
Intensidade de Luz (%)
| – |
Ajuste de Tamanho em X (%)
| 100
|
Ajuste de Tamanho em Y (%)
| 100
|
Compensação Externa (mm)
| 0,00
|
Especificação | Valor |
|---|---|
Altura de Camada (mm) | 0,1 |
Tempo de Cura (seg)
| 5,9 |
Tempo de Aderência (seg)
| 20
|
Camadas de Transição
| 8
|
Intensidade de Luz (%)
| – |
Ajuste de Tamanho em X (%)
| 100
|
Ajuste de Tamanho em Y (%)
| 100
|
Compensação Externa (mm)
| 0,00
|
Especificação | Valor |
|---|---|
Altura de Camada (mm) | 0,1 |
Tempo de Cura (seg)
| 12,5 |
Tempo de Aderência (seg)
| 30 |
Camadas de Transição
| 8
|
Ajuste de Tamanho em X (%)
| 100,5 |
Ajuste de Tamanho em Y (%)
| 100,5
|
Ajuste de Tamanho em Z (%)
| 100,5
|
Especificação | Valor |
|---|---|
Altura de Camada (mm) | 0,1 |
Tempo de Cura (seg)
| 6,6 |
Tempo de Aderência (seg)
| 30 |
Camadas de Transição
| 8
|
Ajuste de Tamanho em X (%)
| 100,4 |
Ajuste de Tamanho em Y (%)
| 100,4 |
Ajuste de Tamanho em Z (%) | 100,4 |
Especificação | Valor |
|---|---|
Altura de Camada (mm) | 0,1 |
Tempo de Cura (seg)
| 4,3 |
Tempo de Aderência (seg)
| 20 |
Camadas de Transição
| 8
|
Intensidade de Luz (%)
| –
|
Ajuste de Tamanho em X (%)
| 100
|
Ajuste de Tamanho em Y (%)
| 100
|
Compensação Externa (mm)
| 0,00
|
Especificação | Valor |
|---|---|
Altura de Camada (mm) | 0,1 |
Tempo de Cura (seg)
| 4,5 |
Tempo de Aderência (seg)
| 20
|
Camadas de Transição
| 8
|
Intensidade de Luz (%)
| – |
Ajuste de Tamanho em X (%)
| 100
|
Ajuste de Tamanho em Y (%)
| 100
|
Compensação Externa (mm)
| 0,00
|
Especificação | Valor |
|---|---|
Altura de Camada (mm) | 0,1 |
Tempo de Cura (seg)
| 4,7 |
Tempo de Aderência (seg)
| 20
|
Camadas de Transição
| 8
|
Intensidade de Luz (%)
| – |
Ajuste de Tamanho em X (%)
| 100
|
Ajuste de Tamanho em Y (%)
| 100
|
Compensação Externa (mm)
| 0,00
|
Especificação | Valor |
|---|---|
Altura de Camada (mm) | 0,1 |
Tempo de Cura (seg)
| 9,9 |
Tempo de Aderência (seg)
| 30 |
Camadas de Transição
| 8
|
Ajuste de Tamanho em X (%)
| 100,5 |
Ajuste de Tamanho em Y (%)
| 100,5
|
Ajuste de Tamanho em Z (%)
| 100,5
|
Especificação | Valor |
|---|---|
Altura de Camada (mm) | 0,1 |
Tempo de Cura (seg)
| 5,2 |
Tempo de Aderência (seg)
| 25 |
Camadas de Transição
| 8
|
Ajuste de Tamanho em X (%)
| 100,4 |
Ajuste de Tamanho em Y (%)
| 100,4 |
Ajuste de Tamanho em Z (%) | 100,4 |
Especificação | Valor |
|---|---|
Altura de Camada (mm) | 0,1 |
Tempo de Cura (seg)
| 4,5 |
Tempo de Aderência (seg)
| 20 |
Camadas de Transição
| 8
|
Intensidade de Luz (%)
| –
|
Ajuste de Tamanho em X (%)
| 100
|
Ajuste de Tamanho em Y (%)
| 100
|
Compensação Externa (mm)
| 0,00
|
Especificação | Valor |
|---|---|
Altura de Camada (mm) | 0,1 |
Tempo de Cura (seg)
| 4,8 |
Tempo de Aderência (seg)
| 20
|
Camadas de Transição
| 8
|
Intensidade de Luz (%)
| – |
Ajuste de Tamanho em X (%)
| 100
|
Ajuste de Tamanho em Y (%)
| 100
|
Compensação Externa (mm)
| 0,00
|
Especificação | Valor |
|---|---|
Altura de Camada (mm) | 0,1 |
Tempo de Cura (seg)
| 4,9 |
Tempo de Aderência (seg)
| 20
|
Camadas de Transição
| 8
|
Intensidade de Luz (%)
| – |
Ajuste de Tamanho em X (%)
| 100
|
Ajuste de Tamanho em Y (%)
| 100
|
Compensação Externa (mm)
| 0,00
|
Especificação | Valor |
|---|---|
Altura de Camada (mm) | 0,1 |
Tempo de Cura (seg)
| 10,3 |
Tempo de Aderência (seg)
| 30 |
Camadas de Transição
| 8
|
Ajuste de Tamanho em X (%)
| 100,5 |
Ajuste de Tamanho em Y (%)
| 100,5
|
Ajuste de Tamanho em Z (%)
| 100,5
|
Especificação | Valor |
|---|---|
Altura de Camada (mm) | 0,1 |
Tempo de Cura (seg)
| 5,4 |
Tempo de Aderência (seg)
| 25 |
Camadas de Transição
| 8
|
Ajuste de Tamanho em X (%)
| 100,4 |
Ajuste de Tamanho em Y (%)
| 100,4 |
Ajuste de Tamanho em Z (%) | 100,4 |
Especificação | Valor |
|---|---|
Altura de Camada (mm) | 0,1 |
Tempo de Cura (seg)
| 4,3 |
Tempo de Aderência (seg)
| 20 |
Camadas de Transição
| 8
|
Intensidade de Luz (%)
| –
|
Ajuste de Tamanho em X (%)
| 100
|
Ajuste de Tamanho em Y (%)
| 100
|
Compensação Externa (mm)
| 0,00
|
Especificação | Valor |
|---|---|
Altura de Camada (mm) | 0,1 |
Tempo de Cura (seg)
| 4,5 |
Tempo de Aderência (seg)
| 20
|
Camadas de Transição
| 8
|
Intensidade de Luz (%)
| – |
Ajuste de Tamanho em X (%)
| 100
|
Ajuste de Tamanho em Y (%)
| 100
|
Compensação Externa (mm)
| 0,00
|
Especificação | Valor |
|---|---|
Altura de Camada (mm) | 0,1 |
Tempo de Cura (seg)
| 4,7 |
Tempo de Aderência (seg)
| 20
|
Camadas de Transição
| 8
|
Intensidade de Luz (%)
| – |
Ajuste de Tamanho em X (%)
| 100
|
Ajuste de Tamanho em Y (%)
| 100
|
Compensação Externa (mm)
| 0,00
|
Especificação | Valor |
|---|---|
Altura de Camada (mm) | 0,1 |
Tempo de Cura (seg)
| 9,9 |
Tempo de Aderência (seg)
| 30 |
Camadas de Transição
| 8
|
Ajuste de Tamanho em X (%)
| 100,5 |
Ajuste de Tamanho em Y (%)
| 100,5
|
Ajuste de Tamanho em Z (%)
| 100,5
|
Especificação | Valor |
|---|---|
Altura de Camada (mm) | 0,1 |
Tempo de Cura (seg)
| 5,2 |
Tempo de Aderência (seg)
| 25 |
Camadas de Transição
| 8
|
Ajuste de Tamanho em X (%)
| 100,4 |
Ajuste de Tamanho em Y (%)
| 100,4 |
Ajuste de Tamanho em Z (%) | 100,4 |
Especificação | Valor |
|---|---|
Altura de Camada (mm) | 0,1 |
Tempo de Cura (seg)
| 4 |
Tempo de Aderência (seg)
| 25 |
Camadas de Transição
| 6 |
Intensidade de Luz (%)
| –
|
Ajuste de Tamanho em X (%)
| 100
|
Ajuste de Tamanho em Y (%)
| 100
|
Compensação Externa (mm)
| 0,00
|
Especificação | Valor |
|---|---|
Altura de Camada (mm) | 0,1 |
Tempo de Cura (seg)
| 4,2 |
Tempo de Aderência (seg)
| 25
|
Camadas de Transição
| 6 |
Intensidade de Luz (%)
| – |
Ajuste de Tamanho em X (%)
| 100
|
Ajuste de Tamanho em Y (%)
| 100
|
Compensação Externa (mm)
| 0,00
|
Especificação | Valor |
|---|---|
Altura de Camada (mm) | 0,1 |
Tempo de Cura (seg)
| 4,5 |
Tempo de Aderência (seg)
| 25 |
Camadas de Transição
| 6 |
Intensidade de Luz (%)
| – |
Ajuste de Tamanho em X (%)
| 100
|
Ajuste de Tamanho em Y (%)
| 100
|
Compensação Externa (mm)
| 0,00
|
Especificação | Valor |
|---|---|
Altura de Camada (mm) | 0,1 |
Tempo de Cura (seg)
| 9,5 |
Tempo de Aderência (seg)
| 35 |
Camadas de Transição
| 6
|
Ajuste de Tamanho em X (%)
| 100,5 |
Ajuste de Tamanho em Y (%)
| 100,5
|
Ajuste de Tamanho em Z (%)
| 100,5
|
Especificação | Valor |
|---|---|
Altura de Camada (mm) | 0,1 |
Tempo de Cura (seg)
| 5,0 |
Tempo de Aderência (seg)
| 25 |
Camadas de Transição
| 6
|
Ajuste de Tamanho em X (%)
| 100,4 |
Ajuste de Tamanho em Y (%)
| 100,4 |
Ajuste de Tamanho em Z (%) | 100,4 |
Especificação | Valor |
|---|---|
Altura de Camada (mm) | 0,1 |
Tempo de Cura (seg)
| 4,2 |
Tempo de Aderência (seg)
| 25 |
Camadas de Transição
| 6 |
Intensidade de Luz (%)
| –
|
Ajuste de Tamanho em X (%)
| 100
|
Ajuste de Tamanho em Y (%)
| 100
|
Compensação Externa (mm)
| 0,00
|
Especificação | Valor |
|---|---|
Altura de Camada (mm) | 0,1 |
Tempo de Cura (seg)
| 4,5 |
Tempo de Aderência (seg)
| 25 |
Camadas de Transição
| 6 |
Intensidade de Luz (%)
| – |
Ajuste de Tamanho em X (%)
| 100
|
Ajuste de Tamanho em Y (%)
| 100
|
Compensação Externa (mm)
| 0,00
|
Especificação | Valor |
|---|---|
Altura de Camada (mm) | 0,1 |
Tempo de Cura (seg)
| 4,7 |
Tempo de Aderência (seg)
| 25 |
Camadas de Transição
| 6 |
Intensidade de Luz (%)
| – |
Ajuste de Tamanho em X (%)
| 100 |
Ajuste de Tamanho em Y (%)
| 100
|
Compensação Externa (mm)
| 0,00
|
Especificação | Valor |
|---|---|
Altura de Camada (mm) | 0,1 |
Tempo de Cura (seg)
| 9,9 |
Tempo de Aderência (seg)
| 35 |
Camadas de Transição
| 6
|
Ajuste de Tamanho em X (%)
| 100,5 |
Ajuste de Tamanho em Y (%)
| 100,5
|
Ajuste de Tamanho em Z (%)
| 100,5
|
Especificação | Valor |
|---|---|
Altura de Camada (mm) | 0,1 |
Tempo de Cura (seg)
| 5,2 |
Tempo de Aderência (seg)
| 25 |
Camadas de Transição
| 6 |
Ajuste de Tamanho em X (%)
| 100,4 |
Ajuste de Tamanho em Y (%)
| 100,4 |
Ajuste de Tamanho em Z (%) | 100,4 |
Especificação | Valor |
|---|---|
Altura de Camada (mm) | 0,1 |
Tempo de Cura (seg)
| 4,5 |
Tempo de Aderência (seg)
| 25 |
Camadas de Transição
| 6 |
Intensidade de Luz (%)
| –
|
Ajuste de Tamanho em X (%)
| 100 |
Ajuste de Tamanho em Y (%)
| 100 |
Compensação Externa (mm)
| 0,00
|
Especificação | Valor |
|---|---|
Altura de Camada (mm) | 0,1 |
Tempo de Cura (seg)
| – |
Tempo de Aderência (seg)
| –
|
Camadas de Transição
| – |
Intensidade de Luz (%)
| – |
Ajuste de Tamanho em X (%)
| –
|
Ajuste de Tamanho em Y (%)
| –
|
Compensação Externa (mm)
| 0,00
|
Especificação | Valor |
|---|---|
Altura de Camada (mm) | 0,1 |
Tempo de Cura (seg)
| 4,7 |
Tempo de Aderência (seg)
| 25 |
Camadas de Transição
| 6 |
Intensidade de Luz (%)
| – |
Ajuste de Tamanho em X (%)
| 100 |
Ajuste de Tamanho em Y (%)
| 100
|
Compensação Externa (mm)
| 0,00
|
Especificação | Valor |
|---|---|
Altura de Camada (mm) | 0,1 |
Tempo de Cura (seg)
| 9,9 |
Tempo de Aderência (seg)
| 35 |
Camadas de Transição
| 6
|
Ajuste de Tamanho em X (%)
| 100,5 |
Ajuste de Tamanho em Y (%)
| 100,5
|
Ajuste de Tamanho em Z (%)
| 100,5
|
Especificação | Valor |
|---|---|
Altura de Camada (mm) | 0,1 |
Tempo de Cura (seg)
| 5,2 |
Tempo de Aderência (seg)
| 25 |
Camadas de Transição
| 6 |
Ajuste de Tamanho em X (%)
| 100,4 |
Ajuste de Tamanho em Y (%)
| 100,4 |
Ajuste de Tamanho em Z (%) | 100,4 |
Especificação | Valor |
|---|---|
Altura de Camada (mm) | 0,1 |
Tempo de Cura (seg)
| 4,5 |
Tempo de Aderência (seg)
| 25 |
Camadas de Transição
| 6 |
Intensidade de Luz (%)
| –
|
Ajuste de Tamanho em X (%)
| 100 |
Ajuste de Tamanho em Y (%)
| 100 |
Compensação Externa (mm)
| 0,00
|
Especificação | Valor |
|---|---|
Altura de Camada (mm) | 0,1 |
Tempo de Cura (seg)
| 4,6 |
Tempo de Aderência (seg)
| 25
|
Camadas de Transição
| 6 |
Intensidade de Luz (%)
| – |
Ajuste de Tamanho em X (%)
| 100% |
Ajuste de Tamanho em Y (%)
| 100% |
Compensação Externa (mm)
| 0,00
|
Especificação | Valor |
|---|---|
Altura de Camada (mm) | 0,1 |
Tempo de Cura (seg)
| 4,7 |
Tempo de Aderência (seg)
| 25 |
Camadas de Transição
| 6 |
Intensidade de Luz (%)
| – |
Ajuste de Tamanho em X (%)
| 100 |
Ajuste de Tamanho em Y (%)
| 100
|
Compensação Externa (mm)
| 0,00
|
Especificação | Valor |
|---|---|
Altura de Camada (mm) | 0,1 |
Tempo de Cura (seg)
| 9,9 |
Tempo de Aderência (seg)
| 35 |
Camadas de Transição
| 6
|
Ajuste de Tamanho em X (%)
| 100,5 |
Ajuste de Tamanho em Y (%)
| 100,5
|
Ajuste de Tamanho em Z (%)
| 100,5
|
Especificação | Valor |
|---|---|
Altura de Camada (mm) | 0,1 |
Tempo de Cura (seg)
| 5,0 |
Tempo de Aderência (seg)
| 25 |
Camadas de Transição
| 6 |
Ajuste de Tamanho em X (%)
| 100,4 |
Ajuste de Tamanho em Y (%)
| 100,4 |
Ajuste de Tamanho em Z (%) | 100,4 |
Especificação | Valor |
|---|---|
Altura de Camada (mm) | 0,1 |
Tempo de Cura (seg)
| 4 |
Tempo de Aderência (seg)
| 25 |
Camadas de Transição
| 6 |
Intensidade de Luz (%)
| –
|
Ajuste de Tamanho em X (%)
| 100 |
Ajuste de Tamanho em Y (%)
| 100 |
Compensação Externa (mm)
| 0,00
|
Especificação | Valor |
|---|---|
Altura de Camada (mm) | 0,1 |
Tempo de Cura (seg)
| 4,2 |
Tempo de Aderência (seg)
| 25
|
Camadas de Transição
| 6 |
Intensidade de Luz (%)
| – |
Ajuste de Tamanho em X (%)
| 100
|
Ajuste de Tamanho em Y (%)
| 100
|
Compensação Externa (mm)
| 0,00
|
Especificação | Valor |
|---|---|
Altura de Camada (mm) | 0,1 |
Tempo de Cura (seg)
| 4,5 |
Tempo de Aderência (seg)
| 25 |
Camadas de Transição
| 6 |
Intensidade de Luz (%)
| – |
Ajuste de Tamanho em X (%)
| 100 |
Ajuste de Tamanho em Y (%)
| 100
|
Compensação Externa (mm)
| 0,00
|
Especificação | Valor |
|---|---|
Altura de Camada (mm) | 0,1 |
Tempo de Cura (seg)
| 9,5 |
Tempo de Aderência (seg)
| 35 |
Camadas de Transição
| 6
|
Ajuste de Tamanho em X (%)
| 100,5 |
Ajuste de Tamanho em Y (%)
| 100,5
|
Ajuste de Tamanho em Z (%)
| 100,5
|
Especificação | Valor |
|---|---|
Altura de Camada (mm) | 0,1 |
Tempo de Cura (seg)
| 5,2 |
Tempo de Aderência (seg)
| 25 |
Camadas de Transição
| 6 |
Ajuste de Tamanho em X (%)
| 100,4 |
Ajuste de Tamanho em Y (%)
| 100,4 |
Ajuste de Tamanho em Z (%) | 100,4 |
Especificação | Valor |
|---|---|
Altura de Camada (mm) | 0,1 |
Tempo de Cura (seg)
| 4,2 |
Tempo de Aderência (seg)
| 25 |
Camadas de Transição
| 6 |
Intensidade de Luz (%)
| 100 |
Ajuste de Tamanho em X (%)
| 100 |
Ajuste de Tamanho em Y (%)
| 100 |
Ajuste de Tamanho em Z (%) | 100 |
Especificação | Valor |
|---|---|
Altura de Camada (mm) | 0,1 |
Tempo de Cura (seg)
| 4,4 |
Tempo de Aderência (seg)
| 25
|
Camadas de Transição
| 6 |
Intensidade de Luz (%)
| – |
Ajuste de Tamanho em X (%)
| 100
|
Ajuste de Tamanho em Y (%)
| 100
|
Ajuste de Tamanho em Z (%)
| 100 |
Especificação | Valor |
|---|---|
Altura de Camada (mm) | 0,1 |
Tempo de Cura (seg)
| 4,7 |
Tempo de Aderência (seg)
| 25 |
Camadas de Transição
| 6 |
Intensidade de Luz (%)
| – |
Ajuste de Tamanho em X (%)
| 100 |
Ajuste de Tamanho em Y (%)
| 100
|
Ajuste de Tamanho em Z (%) | 100 |
Especificação | Valor |
|---|---|
Altura de Camada (mm) | 0,1 |
Tempo de Cura (seg)
| 9,5 |
Tempo de Aderência (seg)
| 35 |
Camadas de Transição
| 6
|
Ajuste de Tamanho em X (%)
| 100,5 |
Ajuste de Tamanho em Y (%)
| 100,5
|
Ajuste de Tamanho em Z (%)
| 100,5
|
Especificação | Valor |
|---|---|
Altura de Camada (mm) | 0,1 |
Tempo de Cura (seg)
| 5,2 |
Tempo de Aderência (seg)
| 25 |
Camadas de Transição
| 6 |
Ajuste de Tamanho em X (%)
| 100,4 |
Ajuste de Tamanho em Y (%)
| 100,4 |
Ajuste de Tamanho em Z (%) | 100,4 |
Especificação | Valor |
|---|---|
Altura de Camada (mm) | 0,1 |
Tempo de Cura (seg)
| 3,7 |
Tempo de Aderência (seg)
| 25 |
Camadas de Transição
| 8 |
Intensidade de Luz (%)
| –
|
Ajuste de Tamanho em X (%)
| 100
|
Ajuste de Tamanho em Y (%)
| 100
|
Compensação Externa (mm)
| 0,00
|
Especificação | Valor |
|---|---|
Altura de Camada (mm) | 0,1 |
Tempo de Cura (seg)
| 3,9 |
Tempo de Aderência (seg)
| 25
|
Camadas de Transição
| 8 |
Intensidade de Luz (%)
| – |
Ajuste de Tamanho em X (%)
| 100
|
Ajuste de Tamanho em Y (%)
| 100
|
Compensação Externa (mm)
| 0,00
|
Especificação | Valor |
|---|---|
Altura de Camada (mm) | 0,1 |
Tempo de Cura (seg)
| 4 |
Tempo de Aderência (seg)
| 25 |
Camadas de Transição
| 8 |
Intensidade de Luz (%)
| – |
Ajuste de Tamanho em X (%)
| 100
|
Ajuste de Tamanho em Y (%)
| 100
|
Compensação Externa (mm)
| 0,00
|
Especificação | Valor |
|---|---|
Altura de Camada (mm) | 0,1 |
Tempo de Cura (seg)
| 8,4 |
Tempo de Aderência (seg)
| 35 |
Camadas de Transição
| 8 |
Ajuste de Tamanho em X (%)
| 100,5 |
Ajuste de Tamanho em Y (%)
| 100,5
|
Ajuste de Tamanho em Z (%)
| 100,5
|
Especificação | Valor |
|---|---|
Altura de Camada (mm) | 0,1 |
Tempo de Cura (seg)
| 4,4 |
Tempo de Aderência (seg)
| 25 |
Camadas de Transição
| 8 |
Ajuste de Tamanho em X (%)
| 100,4 |
Ajuste de Tamanho em Y (%)
| 100,4 |
Ajuste de Tamanho em Z (%) | 100,4 |
Especificação | Valor |
|---|---|
Altura de Camada (mm) | 0,1 |
Tempo de Cura (seg)
| 3,3 |
Tempo de Aderência (seg)
| 25 |
Camadas de Transição
| 8 |
Intensidade de Luz (%)
| –
|
Ajuste de Tamanho em X (%)
| 100
|
Ajuste de Tamanho em Y (%)
| 100
|
Compensação Externa (mm)
| 0,00
|
Especificação | Valor |
|---|---|
Altura de Camada (mm) | 0,1 |
Tempo de Cura (seg)
| 3,5 |
Tempo de Aderência (seg)
| 25
|
Camadas de Transição
| 8 |
Intensidade de Luz (%)
| – |
Ajuste de Tamanho em X (%)
| 100
|
Ajuste de Tamanho em Y (%)
| 100
|
Compensação Externa (mm)
| 0,00
|
Especificação | Valor |
|---|---|
Altura de Camada (mm) | 0,1 |
Tempo de Cura (seg)
| 3,6 |
Tempo de Aderência (seg)
| 25 |
Camadas de Transição
| 8 |
Intensidade de Luz (%)
| – |
Ajuste de Tamanho em X (%)
| 100
|
Ajuste de Tamanho em Y (%)
| 100
|
Compensação Externa (mm)
| 0,00
|
Especificação | Valor |
|---|---|
Altura de Camada (mm) | 0,1 |
Tempo de Cura (seg)
| 7,6 |
Tempo de Aderência (seg)
| 35 |
Camadas de Transição
| 8 |
Ajuste de Tamanho em X (%)
| 100,5 |
Ajuste de Tamanho em Y (%)
| 100,5
|
Ajuste de Tamanho em Z (%)
| 100,5
|
Especificação | Valor |
|---|---|
Altura de Camada (mm) | 0,1 |
Tempo de Cura (seg)
| 4,0 |
Tempo de Aderência (seg)
| 25 |
Camadas de Transição
| 8 |
Ajuste de Tamanho em X (%)
| 100,4 |
Ajuste de Tamanho em Y (%)
| 100,4 |
Ajuste de Tamanho em Z (%) | 100,4 |
Especificação | Valor |
|---|---|
Altura de Camada (mm) | 0,1 |
Tempo de Cura (seg)
| 2,3 |
Tempo de Aderência (seg)
| 20 |
Camadas de Transição
| 8 |
Intensidade de Luz (%)
| –
|
Ajuste de Tamanho em X (%)
| 100
|
Ajuste de Tamanho em Y (%)
| 100
|
Ajuste de Tamanho em Z (%) | 100 |
Especificação | Valor |
|---|---|
Altura de Camada (mm) | 0,1 |
Tempo de Cura (seg)
| 2,6 |
Tempo de Aderência (seg)
| 20
|
Camadas de Transição
| 8 |
Intensidade de Luz (%)
| – |
Ajuste de Tamanho em X (%)
| 100
|
Ajuste de Tamanho em Y (%)
| 100
|
Ajuste de Tamanho em Z (%) | 100 |
Especificação | Valor |
|---|---|
Altura de Camada (mm) | 0,1 |
Tempo de Cura (seg)
| 3 |
Tempo de Aderência (seg)
| 20 |
Camadas de Transição
| 8 |
Intensidade de Luz (%)
| – |
Ajuste de Tamanho em X (%)
| 100
|
Ajuste de Tamanho em Y (%)
| 100
|
Ajuste de Tamanho em Z (%) | 100 |
Especificação | Valor |
|---|---|
Altura de Camada (mm) | 0,1 |
Tempo de Cura (seg)
| 6,8 |
Tempo de Aderência (seg)
| 30 |
Camadas de Transição
| 8 |
Ajuste de Tamanho em X (%)
| 100,5 |
Ajuste de Tamanho em Y (%)
| 100,5
|
Ajuste de Tamanho em Z (%)
| 100,5
|
Especificação | Valor |
|---|---|
Altura de Camada (mm) | 0,1 |
Tempo de Cura (seg)
| 3,0 |
Tempo de Aderência (seg)
| 25 |
Camadas de Transição
| 8 |
Ajuste de Tamanho em X (%)
| 100,4 |
Ajuste de Tamanho em Y (%)
| 100,4 |
Ajuste de Tamanho em Z (%) | 100,4 |
Especificação | Valor |
|---|---|
Altura de Camada (mm) | 0,1 |
Tempo de Cura (seg)
| 2,5 |
Tempo de Aderência (seg)
| 20 |
Camadas de Transição
| 8 |
Intensidade de Luz (%)
| –
|
Ajuste de Tamanho em X (%)
| 100
|
Ajuste de Tamanho em Y (%)
| 100
|
Ajuste de Tamanho em Z (%) | 100 |
Especificação | Valor |
|---|---|
Altura de Camada (mm) | 0,1 |
Tempo de Cura (seg)
| 2,8 |
Tempo de Aderência (seg)
| 20
|
Camadas de Transição
| 8 |
Intensidade de Luz (%)
| – |
Ajuste de Tamanho em X (%)
| 100
|
Ajuste de Tamanho em Y (%)
| 100
|
Ajuste de Tamanho em Z (%) | 100 |
Especificação | Valor |
|---|---|
Altura de Camada (mm) | 0,1 |
Tempo de Cura (seg)
| 3,2 |
Tempo de Aderência (seg)
| 20 |
Camadas de Transição
| 8 |
Intensidade de Luz (%)
| – |
Ajuste de Tamanho em X (%)
| 100
|
Ajuste de Tamanho em Y (%)
| 100
|
Ajuste de Tamanho em Z (%) | 100 |
Especificação | Valor |
|---|---|
Altura de Camada (mm) | 0,1 |
Tempo de Cura (seg)
| 6,8 |
Tempo de Aderência (seg)
| 30 |
Camadas de Transição
| 8 |
Ajuste de Tamanho em X (%)
| 100,5 |
Ajuste de Tamanho em Y (%)
| 100,5
|
Ajuste de Tamanho em Z (%)
| 100,5
|
Especificação | Valor |
|---|---|
Altura de Camada (mm) | 0,1 |
Tempo de Cura (seg)
| 3,6 |
Tempo de Aderência (seg)
| 25 |
Camadas de Transição
| 8 |
Ajuste de Tamanho em X (%)
| 100,4 |
Ajuste de Tamanho em Y (%)
| 100,4 |
Ajuste de Tamanho em Z (%) | 100,4 |
Especificação | Valor |
|---|---|
Altura de Camada (mm) | 0,1 |
Tempo de Cura (seg)
| 2,3 |
Tempo de Aderência (seg)
| 20 |
Camadas de Transição
| 8 |
Intensidade de Luz (%)
| –
|
Ajuste de Tamanho em X (%)
| 100
|
Ajuste de Tamanho em Y (%)
| 100
|
Ajuste de Tamanho em Z (%) | 100 |
Especificação | Valor |
|---|---|
Altura de Camada (mm) | 0,1 |
Tempo de Cura (seg)
| 2,6 |
Tempo de Aderência (seg)
| 20
|
Camadas de Transição
| 8 |
Intensidade de Luz (%)
| – |
Ajuste de Tamanho em X (%)
| 100
|
Ajuste de Tamanho em Y (%)
| 100
|
Ajuste de Tamanho em Z (%) | 100 |
Especificação | Valor |
|---|---|
Altura de Camada (mm) | 0,1 |
Tempo de Cura (seg)
| 3,0 |
Tempo de Aderência (seg)
| 20 |
Camadas de Transição
| 8 |
Intensidade de Luz (%)
| – |
Ajuste de Tamanho em X (%)
| 100
|
Ajuste de Tamanho em Y (%)
| 100
|
Ajuste de Tamanho em Z (%) | 100 |
Especificação | Valor |
|---|---|
Altura de Camada (mm) | 0,1 |
Tempo de Cura (seg)
| 6,3 |
Tempo de Aderência (seg)
| 30 |
Camadas de Transição
| 8 |
Ajuste de Tamanho em X (%)
| 100,5 |
Ajuste de Tamanho em Y (%)
| 100,5
|
Ajuste de Tamanho em Z (%)
| 100,5
|
Especificação | Valor |
|---|---|
Altura de Camada (mm) | 0,1 |
Tempo de Cura (seg)
| 3,6 |
Tempo de Aderência (seg)
| 25 |
Camadas de Transição
| 8 |
Ajuste de Tamanho em X (%)
| 100,4 |
Ajuste de Tamanho em Y (%)
| 100,4 |
Ajuste de Tamanho em Z (%) | 100,4 |
Especificação | Valor |
|---|---|
Altura de Camada (mm) | 0,1 |
Tempo de Cura (seg)
| 2,3 |
Tempo de Aderência (seg)
| 20 |
Camadas de Transição
| 8 |
Intensidade de Luz (%)
| –
|
Ajuste de Tamanho em X (%)
| 100
|
Ajuste de Tamanho em Y (%)
| 100
|
Ajuste de Tamanho em Z (%) | 100 |
Especificação | Valor |
|---|---|
Altura de Camada (mm) | 0,1 |
Tempo de Cura (seg)
| 2,6 |
Tempo de Aderência (seg)
| 20
|
Camadas de Transição
| 8 |
Intensidade de Luz (%)
| – |
Ajuste de Tamanho em X (%)
| 100
|
Ajuste de Tamanho em Y (%)
| 100
|
Ajuste de Tamanho em Z (%) | 100 |
Especificação | Valor |
|---|---|
Altura de Camada (mm) | 0,1 |
Tempo de Cura (seg)
| 3,0 |
Tempo de Aderência (seg)
| 20 |
Camadas de Transição
| 8 |
Intensidade de Luz (%)
| – |
Ajuste de Tamanho em X (%)
| 100
|
Ajuste de Tamanho em Y (%)
| 100
|
Ajuste de Tamanho em Z (%) | 100 |
Especificação | Valor |
|---|---|
Altura de Camada (mm) | 0,1 |
Tempo de Cura (seg)
| 6,3 |
Tempo de Aderência (seg)
| 30 |
Camadas de Transição
| 8 |
Ajuste de Tamanho em X (%)
| 100,5 |
Ajuste de Tamanho em Y (%)
| 100,5
|
Ajuste de Tamanho em Z (%)
| 100,5
|
Especificação | Valor |
|---|---|
Altura de Camada (mm) | 0,1 |
Tempo de Cura (seg)
| 3,0 |
Tempo de Aderência (seg)
| 25 |
Camadas de Transição
| 8 |
Ajuste de Tamanho em X (%)
| 100,4 |
Ajuste de Tamanho em Y (%)
| 100,4 |
Ajuste de Tamanho em Z (%) | 100,4 |
Especificação | Valor |
|---|---|
Altura de Camada (mm) | 0,1 |
Tempo de Cura (seg)
| 4 |
Tempo de Aderência (seg)
| 25 |
Camadas de Transição
| 8 |
Intensidade de Luz (%)
| –
|
Ajuste de Tamanho em X (%)
| 100
|
Ajuste de Tamanho em Y (%)
| 100
|
Compensação Externa (mm)
| 0,00
|
Especificação | Valor |
|---|---|
Altura de Camada (mm) | 0,1 |
Tempo de Cura (seg)
| 4,2 |
Tempo de Aderência (seg)
| 25
|
Camadas de Transição
| 8 |
Intensidade de Luz (%)
| – |
Ajuste de Tamanho em X (%)
| 100
|
Ajuste de Tamanho em Y (%)
| 100
|
Compensação Externa (mm)
| 0,00
|
Especificação | Valor |
|---|---|
Altura de Camada (mm) | 0,1 |
Tempo de Cura (seg)
| 4,5 |
Tempo de Aderência (seg)
| 25 |
Camadas de Transição
| 8 |
Intensidade de Luz (%)
| – |
Ajuste de Tamanho em X (%)
| 100
|
Ajuste de Tamanho em Y (%)
| 100
|
Compensação Externa (mm)
| 0,00
|
Especificação | Valor |
|---|---|
Altura de Camada (mm) | 0,1 |
Tempo de Cura (seg)
| 9,5 |
Tempo de Aderência (seg)
| 35 |
Camadas de Transição
| 8 |
Ajuste de Tamanho em X (%)
| 100,5 |
Ajuste de Tamanho em Y (%)
| 100,5
|
Ajuste de Tamanho em Z (%)
| 100,5
|
Especificação | Valor |
|---|---|
Altura de Camada (mm) | 0,1 |
Tempo de Cura (seg)
| 5,0 |
Tempo de Aderência (seg)
| 25 |
Camadas de Transição
| 8 |
Ajuste de Tamanho em X (%)
| 100,4 |
Ajuste de Tamanho em Y (%)
| 100,4 |
Ajuste de Tamanho em Z (%) | 100,4 |
Especificação | Valor |
|---|---|
Altura de Camada (mm) | 0,1 |
Tempo de Cura (seg)
| 3,7 |
Tempo de Aderência (seg)
| 20 |
Camadas de Transição
| 8 |
Intensidade de Luz (%)
| –
|
Ajuste de Tamanho em X (%)
| 100
|
Ajuste de Tamanho em Y (%)
| 100
|
Compensação Externa (mm)
| 0,00
|
Especificação | Valor |
|---|---|
Altura de Camada (mm) | 0,1 |
Tempo de Cura (seg)
| 3,8 |
Tempo de Aderência (seg)
| 20
|
Camadas de Transição
| 8 |
Intensidade de Luz (%)
| – |
Ajuste de Tamanho em X (%)
| 100
|
Ajuste de Tamanho em Y (%)
| 100
|
Compensação Externa (mm)
| 0,00
|
Especificação | Valor |
|---|---|
Altura de Camada (mm) | 0,1 |
Tempo de Cura (seg)
| 4,1 |
Tempo de Aderência (seg)
| 20 |
Camadas de Transição
| 8 |
Intensidade de Luz (%)
| – |
Ajuste de Tamanho em X (%)
| 100
|
Ajuste de Tamanho em Y (%)
| 100
|
Compensação Externa (mm)
| 0,00
|
Especificação | Valor |
|---|---|
Altura de Camada (mm) | 0,1 |
Tempo de Cura (seg)
| 8,7 |
Tempo de Aderência (seg)
| 30 |
Camadas de Transição
| 8 |
Ajuste de Tamanho em X (%)
| 100,5 |
Ajuste de Tamanho em Y (%)
| 100,5
|
Ajuste de Tamanho em Z (%)
| 100,5
|
Especificação | Valor |
|---|---|
Altura de Camada (mm) | 0,1 |
Tempo de Cura (seg)
| 4,6 |
Tempo de Aderência (seg)
| 25 |
Camadas de Transição
| 8 |
Ajuste de Tamanho em X (%)
| 100,4 |
Ajuste de Tamanho em Y (%)
| 100,4 |
Ajuste de Tamanho em Z (%) | 100,4 |
Especificação | Valor |
|---|---|
Altura de Camada (mm) | 0,1 |
Tempo de Cura (seg)
| 3,7 |
Tempo de Aderência (seg)
| 20 |
Camadas de Transição
| 8 |
Intensidade de Luz (%)
| –
|
Ajuste de Tamanho em X (%)
| 100
|
Ajuste de Tamanho em Y (%)
| 100
|
Compensação Externa (mm)
| 0,00
|
Especificação | Valor |
|---|---|
Altura de Camada (mm) | 0,1 |
Tempo de Cura (seg)
| 3,8 |
Tempo de Aderência (seg)
| 20
|
Camadas de Transição
| 8 |
Intensidade de Luz (%)
| – |
Ajuste de Tamanho em X (%)
| 100
|
Ajuste de Tamanho em Y (%)
| 100
|
Compensação Externa (mm)
| 0,00
|
Especificação | Valor |
|---|---|
Altura de Camada (mm) | 0,1 |
Tempo de Cura (seg)
| 4,1 |
Tempo de Aderência (seg)
| 20 |
Camadas de Transição
| 8 |
Intensidade de Luz (%)
| – |
Ajuste de Tamanho em X (%)
| 100
|
Ajuste de Tamanho em Y (%)
| 100
|
Compensação Externa (mm)
| 0,00
|
Especificação | Valor |
|---|---|
Altura de Camada (mm) | 0,1 |
Tempo de Cura (seg)
| 8,7 |
Tempo de Aderência (seg)
| 30 |
Camadas de Transição
| 8 |
Ajuste de Tamanho em X (%)
| 100,5 |
Ajuste de Tamanho em Y (%)
| 100,5
|
Ajuste de Tamanho em Z (%)
| 100,5
|
Especificação | Valor |
|---|---|
Altura de Camada (mm) | 0,1 |
Tempo de Cura (seg)
| 4,6 |
Tempo de Aderência (seg)
| 25 |
Camadas de Transição
| 8 |
Ajuste de Tamanho em X (%)
| 100,4 |
Ajuste de Tamanho em Y (%)
| 100,4 |
Ajuste de Tamanho em Z (%) | 100,4 |
Especificação | Valor |
|---|---|
Altura de Camada (mm) | 0,1 |
Tempo de Cura (seg)
| 3,6 |
Tempo de Aderência (seg)
| 20 |
Camadas de Transição
| 8 |
Intensidade de Luz (%)
| –
|
Ajuste de Tamanho em X (%)
| 100
|
Ajuste de Tamanho em Y (%)
| 100
|
Compensação Externa (mm)
| 0,00
|
Especificação | Valor |
|---|---|
Altura de Camada (mm) | 0,1 |
Tempo de Cura (seg)
| 3,7 |
Tempo de Aderência (seg)
| 20
|
Camadas de Transição
| 8 |
Intensidade de Luz (%)
| – |
Ajuste de Tamanho em X (%)
| 100
|
Ajuste de Tamanho em Y (%)
| 100
|
Compensação Externa (mm)
| 0,00
|
Especificação | Valor |
|---|---|
Altura de Camada (mm) | 0,1 |
Tempo de Cura (seg)
| 3,9 |
Tempo de Aderência (seg)
| 20 |
Camadas de Transição
| 8 |
Intensidade de Luz (%)
| – |
Ajuste de Tamanho em X (%)
| 100
|
Ajuste de Tamanho em Y (%)
| 100
|
Compensação Externa (mm)
| 0,00
|
Especificação | Valor |
|---|---|
Altura de Camada (mm) | 0,1 |
Tempo de Cura (seg)
| 8,2 |
Tempo de Aderência (seg)
| 30 |
Camadas de Transição
| 8 |
Ajuste de Tamanho em X (%)
| 100,5 |
Ajuste de Tamanho em Y (%)
| 100,5
|
Ajuste de Tamanho em Z (%)
| 100,5
|
Especificação | Valor |
|---|---|
Altura de Camada (mm) | 0,1 |
Tempo de Cura (seg)
| 4,3 |
Tempo de Aderência (seg)
| 25 |
Camadas de Transição
| 8 |
Ajuste de Tamanho em X (%)
| 100,4 |
Ajuste de Tamanho em Y (%)
| 100,4 |
Ajuste de Tamanho em Z (%) | 100,4 |
Especificação | Valor |
|---|---|
Altura de Camada (mm) | 0,1 |
Tempo de Cura (seg)
| 3,7 |
Tempo de Aderência (seg)
| 20 |
Camadas de Transição
| 8 |
Intensidade de Luz (%)
| –
|
Ajuste de Tamanho em X (%)
| 100
|
Ajuste de Tamanho em Y (%)
| 100
|
Compensação Externa (mm)
| 0,00
|
Especificação | Valor |
|---|---|
Altura de Camada (mm) | 0,1 |
Tempo de Cura (seg)
| 3,8 |
Tempo de Aderência (seg)
| 20
|
Camadas de Transição
| 8 |
Intensidade de Luz (%)
| – |
Ajuste de Tamanho em X (%)
| 100
|
Ajuste de Tamanho em Y (%)
| 100
|
Compensação Externa (mm)
| 0,00
|
Especificação | Valor |
|---|---|
Altura de Camada (mm) | 0,1 |
Tempo de Cura (seg)
| 4,1 |
Tempo de Aderência (seg)
| 20 |
Camadas de Transição
| 8 |
Intensidade de Luz (%)
| – |
Ajuste de Tamanho em X (%)
| 100
|
Ajuste de Tamanho em Y (%)
| 100
|
Compensação Externa (mm)
| 0,00
|
Especificação | Valor |
|---|---|
Altura de Camada (mm) | 0,1 |
Tempo de Cura (seg)
| 8,7 |
Tempo de Aderência (seg)
| 30 |
Camadas de Transição
| 8 |
Ajuste de Tamanho em X (%)
| 100,5 |
Ajuste de Tamanho em Y (%)
| 100,5
|
Ajuste de Tamanho em Z (%)
| 100,5
|
Especificação | Valor |
|---|---|
Altura de Camada (mm) | 0,1 |
Tempo de Cura (seg)
| 4,6 |
Tempo de Aderência (seg)
| 25 |
Camadas de Transição
| 8 |
Ajuste de Tamanho em X (%)
| 100,4 |
Ajuste de Tamanho em Y (%)
| 100,4 |
Ajuste de Tamanho em Z (%) | 100,4 |
Especificação | Valor |
|---|---|
Altura de Camada (mm) | 0,1 |
Tempo de Cura (seg)
| 3,7 |
Tempo de Aderência (seg)
| 20 |
Camadas de Transição
| 8 |
Intensidade de Luz (%)
| –
|
Ajuste de Tamanho em X (%)
| 100
|
Ajuste de Tamanho em Y (%)
| 100
|
Compensação Externa (mm)
| 0,00
|
Especificação | Valor |
|---|---|
Altura de Camada (mm) | 0,1 |
Tempo de Cura (seg)
| 3,9 |
Tempo de Aderência (seg)
| 20
|
Camadas de Transição
| 8 |
Intensidade de Luz (%)
| – |
Ajuste de Tamanho em X (%)
| 100
|
Ajuste de Tamanho em Y (%)
| 100
|
Compensação Externa (mm)
| 0,00
|
Especificação | Valor |
|---|---|
Altura de Camada (mm) | 0,1 |
Tempo de Cura (seg)
| 4,3 |
Tempo de Aderência (seg)
| 20 |
Camadas de Transição
| 8 |
Intensidade de Luz (%)
| – |
Ajuste de Tamanho em X (%)
| 100
|
Ajuste de Tamanho em Y (%)
| 100
|
Compensação Externa (mm)
| 0,00
|
Especificação | Valor |
|---|---|
Altura de Camada (mm) | 0,1 |
Tempo de Cura (seg)
| 9,1 |
Tempo de Aderência (seg)
| 30 |
Camadas de Transição
| 8 |
Ajuste de Tamanho em X (%)
| 100,5 |
Ajuste de Tamanho em Y (%)
| 100,5
|
Ajuste de Tamanho em Z (%)
| 100,5
|
Especificação | Valor |
|---|---|
Altura de Camada (mm) | 0,1 |
Tempo de Cura (seg)
| 4,8 |
Tempo de Aderência (seg)
| 25 |
Camadas de Transição
| 8 |
Ajuste de Tamanho em X (%)
| 100,4 |
Ajuste de Tamanho em Y (%)
| 100,4 |
Ajuste de Tamanho em Z (%) | 100,4 |
Especificação | Valor |
|---|---|
Altura de Camada (mm) | 0,1 |
Tempo de Cura (seg)
| 3,6 |
Tempo de Aderência (seg)
| 20 |
Camadas de Transição
| 8 |
Intensidade de Luz (%)
| –
|
Ajuste de Tamanho em X (%)
| 100
|
Ajuste de Tamanho em Y (%)
| 100
|
Compensação Externa (mm)
| 0,00
|
Especificação | Valor |
|---|---|
Altura de Camada (mm) | 0,1 |
Tempo de Cura (seg)
| 3,7 |
Tempo de Aderência (seg)
| 20
|
Camadas de Transição
| 8 |
Intensidade de Luz (%)
| – |
Ajuste de Tamanho em X (%)
| 100
|
Ajuste de Tamanho em Y (%)
| 100
|
Compensação Externa (mm)
| 0,00
|
Especificação | Valor |
|---|---|
Altura de Camada (mm) | 0,1 |
Tempo de Cura (seg)
| 3,9 |
Tempo de Aderência (seg)
| 20 |
Camadas de Transição
| 8 |
Intensidade de Luz (%)
| – |
Ajuste de Tamanho em X (%)
| 100
|
Ajuste de Tamanho em Y (%)
| 100
|
Compensação Externa (mm)
| 0,00
|
Especificação | Valor |
|---|---|
Altura de Camada (mm) | 0,1 |
Tempo de Cura (seg)
| 8,2 |
Tempo de Aderência (seg)
| 30 |
Camadas de Transição
| 8 |
Ajuste de Tamanho em X (%)
| 100,5 |
Ajuste de Tamanho em Y (%)
| 100,5
|
Ajuste de Tamanho em Z (%)
| 100,5
|
Especificação | Valor |
|---|---|
Altura de Camada (mm) | 0,1 |
Tempo de Cura (seg)
| 4,3 |
Tempo de Aderência (seg)
| 25 |
Camadas de Transição
| 8 |
Ajuste de Tamanho em X (%)
| 100,4 |
Ajuste de Tamanho em Y (%)
| 100,4 |
Ajuste de Tamanho em Z (%) | 100,4 |
Especificação | Valor |
|---|---|
Altura de Camada (mm) | 0,1 |
Tempo de Cura (seg)
| 3,6 |
Tempo de Aderência (seg)
| 20 |
Camadas de Transição
| 8 |
Intensidade de Luz (%)
| –
|
Ajuste de Tamanho em X (%)
| 100
|
Ajuste de Tamanho em Y (%)
| 100
|
Compensação Externa (mm)
| 0,00
|
Especificação | Valor |
|---|---|
Altura de Camada (mm) | 0,1 |
Tempo de Cura (seg)
| 3,7 |
Tempo de Aderência (seg)
| 20
|
Camadas de Transição
| 8 |
Intensidade de Luz (%)
| – |
Ajuste de Tamanho em X (%)
| 100
|
Ajuste de Tamanho em Y (%)
| 100
|
Compensação Externa (mm)
| 0,00
|
Especificação | Valor |
|---|---|
Altura de Camada (mm) | 0,1 |
Tempo de Cura (seg)
| 3,9 |
Tempo de Aderência (seg)
| 20 |
Camadas de Transição
| 8 |
Intensidade de Luz (%)
| – |
Ajuste de Tamanho em X (%)
| 100
|
Ajuste de Tamanho em Y (%)
| 100
|
Compensação Externa (mm)
| 0,00
|
Especificação | Valor |
|---|---|
Altura de Camada (mm) | 0,1 |
Tempo de Cura (seg)
| 8,2 |
Tempo de Aderência (seg)
| 30 |
Camadas de Transição
| 8 |
Ajuste de Tamanho em X (%)
| 100,5 |
Ajuste de Tamanho em Y (%)
| 100,5
|
Ajuste de Tamanho em Z (%)
| 100,5
|
Especificação | Valor |
|---|---|
Altura de Camada (mm) | 0,1 |
Tempo de Cura (seg)
| 4,3 |
Tempo de Aderência (seg)
| 25 |
Camadas de Transição
| 8 |
Ajuste de Tamanho em X (%)
| 100,4 |
Ajuste de Tamanho em Y (%)
| 100,4 |
Ajuste de Tamanho em Z (%) | 100,4 |
Especificação | Valor |
|---|---|
Altura de Camada (mm) | 0,1 |
Tempo de Cura (seg)
| 5,0 |
Tempo de Aderência (seg)
| 25 |
Camadas de Transição
| 8 |
Intensidade de Luz (%)
| –
|
Ajuste de Tamanho em X (%)
| 100
|
Ajuste de Tamanho em Y (%)
| 100
|
Ajuste de Tamanho em Z (%) | 100 |
Especificação | Valor |
|---|---|
Altura de Camada (mm) | 0,1 |
Tempo de Cura (seg)
| 5,2 |
Tempo de Aderência (seg)
| 25
|
Camadas de Transição
| 8 |
Intensidade de Luz (%)
| – |
Ajuste de Tamanho em X (%)
| 100
|
Ajuste de Tamanho em Y (%)
| 100
|
Ajuste de Tamanho em Z (%) | 100 |
Especificação | Valor |
|---|---|
Altura de Camada (mm) | 0,1 |
Tempo de Cura (seg)
| 5,5 |
Tempo de Aderência (seg)
| 25 |
Camadas de Transição
| 8 |
Intensidade de Luz (%)
| – |
Ajuste de Tamanho em X (%)
| 100
|
Ajuste de Tamanho em Y (%)
| 100
|
Ajuste de Tamanho em Z (%) | 100 |
Especificação | Valor |
|---|---|
Altura de Camada (mm) | 0,1 |
Tempo de Cura (seg)
| 11,6 |
Tempo de Aderência (seg)
| 35 |
Camadas de Transição
| 8 |
Ajuste de Tamanho em X (%)
| 100,5 |
Ajuste de Tamanho em Y (%)
| 100,5
|
Ajuste de Tamanho em Z (%)
| 100,5
|
Especificação | Valor |
|---|---|
Altura de Camada (mm) | 0,1 |
Tempo de Cura (seg)
| 6,1 |
Tempo de Aderência (seg)
| 25 |
Camadas de Transição
| 8 |
Ajuste de Tamanho em X (%)
| 100,4 |
Ajuste de Tamanho em Y (%)
| 100,4 |
Ajuste de Tamanho em Z (%) | 100,4 |
Especificação | Valor |
|---|---|
Altura de Camada (mm) | 0,1 |
Tempo de Cura (seg)
| 4,8 |
Tempo de Aderência (seg)
| 25 |
Camadas de Transição
| 8 |
Intensidade de Luz (%)
| 100
|
Ajuste de Tamanho em X (%)
| 100
|
Ajuste de Tamanho em Y (%)
| 100
|
Compensação Externa (mm)
| 0,00
|
Especificação | Valor |
|---|---|
Altura de Camada (mm) | 0,1 |
Tempo de Cura (seg)
| 5 |
Tempo de Aderência (seg)
| 25
|
Camadas de Transição
| 8 |
Intensidade de Luz (%)
| 100 |
Ajuste de Tamanho em X (%)
| 100
|
Ajuste de Tamanho em Y (%)
| 100
|
Compensação Externa (mm)
| 0,00
|
Especificação | Valor |
|---|---|
Altura de Camada (mm) | 0,1 |
Tempo de Cura (seg)
| 5,2 |
Tempo de Aderência (seg)
| 25 |
Camadas de Transição
| 8 |
Intensidade de Luz (%)
| 100 |
Ajuste de Tamanho em X (%)
| 100
|
Ajuste de Tamanho em Y (%)
| 100
|
Compensação Externa (mm)
| 0,00
|
Especificação | Valor |
|---|---|
Altura de Camada (mm) | 0,1 |
Tempo de Cura (seg)
| 11 |
Tempo de Aderência (seg)
| 35 |
Camadas de Transição
| 8 |
Ajuste de Tamanho em X (%)
| 100,5 |
Ajuste de Tamanho em Y (%)
| 100,5
|
Ajuste de Tamanho em Z (%)
| 100,5
|
Especificação | Valor |
|---|---|
Altura de Camada (mm) | 0,1 |
Tempo de Cura (seg)
| 5,8 |
Tempo de Aderência (seg)
| 25 |
Camadas de Transição
| 8 |
Ajuste de Tamanho em X (%)
| 100,4 |
Ajuste de Tamanho em Y (%)
| 100,4 |
Ajuste de Tamanho em Z (%) | 100,4 |
Especificação | Valor |
|---|---|
Altura de Camada (mm) | 0,1 |
Tempo de Cura (seg)
| 2,0 |
Tempo de Aderência (seg)
| 20 |
Camadas de Transição
| 8 |
Intensidade de Luz (%)
| 100
|
Ajuste de Tamanho em X (%)
| 100
|
Ajuste de Tamanho em Y (%)
| 100
|
Ajuste de Tamanho em Z (%) | 100 |
Especificação | Valor |
|---|---|
Altura de Camada (mm) | 0,1 |
Tempo de Cura (seg)
| 2,1 |
Tempo de Aderência (seg)
| 20
|
Camadas de Transição
| 8 |
Intensidade de Luz (%)
| 100 |
Ajuste de Tamanho em X (%)
| 100
|
Ajuste de Tamanho em Y (%)
| 100
|
Ajuste de Tamanho em Z (%) | 100 |
Especificação | Valor |
|---|---|
Altura de Camada (mm) | 0,1 |
Tempo de Cura (seg)
| 2,2 |
Tempo de Aderência (seg)
| 20 |
Camadas de Transição
| 8 |
Intensidade de Luz (%)
| 100 |
Ajuste de Tamanho em X (%)
| 100
|
Ajuste de Tamanho em Y (%)
| 100
|
Ajuste de Tamanho em Z (%) | 100 |
Especificação | Valor |
|---|---|
Altura de Camada (mm) | 0,1 |
Tempo de Cura (seg)
| 10,1 |
Tempo de Aderência (seg)
| 30 |
Camadas de Transição
| 8 |
Ajuste de Tamanho em X (%)
| 100,5 |
Ajuste de Tamanho em Y (%)
| 100,5
|
Ajuste de Tamanho em Z (%)
| 100,5
|
Especificação | Valor |
|---|---|
Altura de Camada (mm) | 0,1 |
Tempo de Cura (seg)
| 3,0 |
Tempo de Aderência (seg)
| 25 |
Camadas de Transição
| 8 |
Ajuste de Tamanho em X (%)
| 100,4 |
Ajuste de Tamanho em Y (%)
| 100,4 |
Ajuste de Tamanho em Z (%) | 100,4 |
Especificação | Valor |
|---|---|
Altura de Camada (mm) | 0,1 |
Tempo de Cura (seg)
| 1,5 |
Tempo de Aderência (seg)
| 20
|
Camadas de Transição
| 4 |
Intensidade de Luz (%)
| –
|
Ajuste de Tamanho em X (%)
| 100
|
Ajuste de Tamanho em Y (%)
| 100
|
Ajuste de Tamanho em Z (%) | 100 |
Especificação | Valor |
|---|---|
Altura de Camada (mm) | 0,1 |
Tempo de Cura (seg)
| 1,55 |
Tempo de Aderência (seg)
| 20
|
Camadas de Transição
| 4 |
Intensidade de Luz (%)
| – |
Ajuste de Tamanho em X (%)
| 100
|
Ajuste de Tamanho em Y (%)
| 100
|
Ajuste de Tamanho em Z (%) | 100 |
Especificação | Valor |
|---|---|
Altura de Camada (mm) | 0,1 |
Tempo de Cura (seg)
| 1,62 |
Tempo de Aderência (seg)
| 20
|
Camadas de Transição
| 4 |
Intensidade de Luz (%)
| – |
Ajuste de Tamanho em X (%)
| 100
|
Ajuste de Tamanho em Y (%)
| 100
|
Ajuste de Tamanho em Z (%) | 100 |
Especificação | Valor |
|---|---|
Altura de Camada (mm) | 0,1 |
Tempo de Cura (seg)
| 3,5 |
Tempo de Aderência (seg)
| 30 |
Camadas de Transição
| 4 |
Ajuste de Tamanho em X (%)
| 100,5 |
Ajuste de Tamanho em Y (%)
| 100,5
|
Ajuste de Tamanho em Z (%)
| 100,5
|
Especificação | Valor |
|---|---|
Altura de Camada (mm) | 0,1 |
Tempo de Cura (seg)
| 1,8 |
Tempo de Aderência (seg)
| 25 |
Camadas de Transição
| 4 |
Ajuste de Tamanho em X (%)
| 100,4 |
Ajuste de Tamanho em Y (%)
| 100,4 |
Ajuste de Tamanho em Z (%) | 100,4 |
FOLDER LINHA COMPLETA
Reabilitação estética e funcional utilizando a Linha Voxelprint.