A odontologia moderna vem passando por uma verdadeira revolução com o avanço dos biomateriais sintéticos, oferecendo soluções inovadoras para os desafios clínicos diários. Produtos como o Enxerto Ósseo Nanosynt e a Membrana Sintética Duosynt destacam-se pela capacidade de transformar protocolos cirúrgicos e proporcionar benefícios únicos para profissionais e pacientes. Neste artigo, exploramos como esses materiais estão moldando o futuro da implantodontia e regeneração óssea guiada (ROG).
Revolução nos Enxertos Ósseos: A nova era dos Biomateriais Sintéticos
A introdução de biomateriais sintéticos como o Nanosynt trouxe uma nova perspectiva para os enxertos ósseos. Diferente dos materiais heterógenos tradicionais, o Enxerto Ósseo Nanosynt apresenta superioridade em previsibilidade, biocompatibilidade e segurança, devido à sua composição altamente purificada de fosfato de cálcio sintético, que minimiza significativamente a presença de impurezas e garante consistência na resposta biológica. Estudos publicados na “Journal of Biomedical Materials Research”¹ destacam que materiais de origem sintética possuem menor propensão a reações imunológicas e inflamatórias quando comparados aos de origem biológica, especialmente aqueles derivados de fontes animais.
Por que optar por Biomateriais Sintéticos na Odontologia Moderna?
Os biomateriais sintéticos oferecem vantagens significativas em comparação aos enxertos naturais. Diferentemente dos biomateriais de origem animal, que podem apresentar riscos de transmissão de zoonoses ou contaminação cruzada, os sintéticos eliminam esses problemas ao serem produzidos em condições rigorosamente controladas, garantindo uma pureza química superior. Além disso, sua disponibilidade constante evita os desafios logísticos associados a materiais biológicos, enquanto sua produção é alinhada às demandas éticas e ambientais modernas, reduzindo a dependência de fontes animais e promovendo uma prática mais segura e responsável.
Diferenciais:
- Previsibilidade nos resultados clínicos.
- Sustentabilidade como um pilar na escolha de materiais.
- Segurança na resposta biológica.
- Custo-benefício otimizado
Tecnologia e Pesquisa por trás da Linha de Enxerto Ósseo Nanosynt
Disponível em versões de bloco e grânulos, o Nanosynt combina bioatividade e osteocondutividade para potencializar a formação óssea. Sua composição à base de fosfato de cálcio sintético apresenta elevada similaridade com a matriz mineral óssea humana, o que favorece uma resposta biológica otimizada. Estudos demonstram sua eficiência em protocolos de ROG, com tempos de osseointegração reduzidos e excelente previsibilidade em diversas indicações clínicas, como:
- Elevação de seio maxilar, promovendo preenchimento uniforme do volume ósseo.
- Tratamento regenerativo periodontal, assegurando manutenção das dimensões teciduais .
- Reconstrução/preenchimento intraorais e maxilofaciais, viabilizando reparações estéticas e funcionais.
- Enxertos em regiões estéticas, mantendo contornos anatômicos ideais.
Dados científicos: Estudos apontam que o Nanosynt apresenta um rápido tempo de osseointegração, com excelente resposta inflamatória controlada e formação óssea acelerada. Sua porosidade interconectada facilita a vascularização e a deposição de novo tecido ósseo, assegurando uma integração óssea uniforme e previsível.

Quantificação de tecido não mineralizado (tecido mole), remanescente de biomaterial para substituição óssea e osso formado em áreas de reparo (defeitos críticos em calota craniana de coelhos) após 2 semanas in vivo. Os materiais analisados foram Nanosynt, Bio-Oss (Geistlich, material à base de hidroxiapatita de origem bovina) e BoneCeramic (Straumann, material sintético à base de fosfato de cálcio bifásico: hidroxiapatita + β-fosfato tricálcico). Grupo controle (coágulo sanguíneo). Fonte: Freitas GP, Tovar N, Coelho PG. Universidade de Nova Iorque (NYU).

Quantificação de tecido não mineralizado (tecido mole), remanescente de biomaterial para substituição óssea e osso formado em áreas de reparo (defeitos críticos em calota craniana de coelhos) após 4 semanas in vivo. Os materiais analisados foram Nanosynt, Bio-Oss (Geistlich, material à base de hidroxiapatita de origem bovina) e BoneCeramic (Straumann, material sintético à base de fosfato de cálcio bifásico: hidroxiapatita + β-fosfato tricálcico). Grupo controle (coágulo sanguíneo). Fonte: Freitas GP, Tovar N, Coelho PG. Universidade de Nova Iorque (NYU).

Quantificação de tecido não mineralizado (tecido mole), remanescente de biomaterial para substituição óssea e osso formado em áreas de reparo (defeitos críticos em calota craniana de coelhos) Controle após 8 semanas in vivo. Os materiais analisados foram Nanosynt, Bio-Oss (Geistlich, material à base de hidroxiapatita de origem bovina) e BoneCeramic (Straumann, material sintético à base de fosfato de cálcio bifásico: hidroxiapatita + β-fosfato tricálcico). Grupo controle (coágulo sanguíneo). Fonte: Freitas GP, Tovar N, Coelho PG. Universidade de Nova Iorque (NYU).
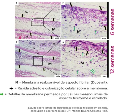
Tecnologia e Pesquisa da Membrana Sintética Duosynt
A membrana Duosynt foi projetada para atender às mais exigentes condições clínicas, sendo composta à base de PTMC (politrimetilcarbonato) e PLGA (ácido poliláctico-co-glicólico), materiais que garantem um tempo de degradação controlada entre 8 e 12 semanas. Essa caracterização elimina a necessidade de nova cirurgia para remoção da membrana, tornando-a altamente prática e eficaz.
A Duosynt promove o reforço e a separação dos tecidos durante as fases de cicatrização, criando condições ideais para o crescimento tecidual requerido.

- Porosidade elevada: sua ultraporosidade facilita a troca de nutrientes, estabiliza o local de reparação e impede a migração de células indesejáveis, além de melhorar a vascularização e a proliferação celular.
- Usabilidade facilitada: dispensa hidratação prévia e possibilita a formação eficiente do arcabouço regenerativo.
- Resultados histológicos surpreendentes: estudos demonstram ótimos resultados na integração tecidual, promovendo cicatrização previsível e consistente em diversos casos clínicos.

Biomateriais Sintéticos: O compromisso com a Sustentabilidade
A substituição de materiais biológicos por sintéticos representa um marco na sustentabilidade da odontologia. Além de preservarem recursos naturais, os biomateriais sintéticos reduzem o impacto ambiental e promovem práticas éticas, alinhando-se às demandas de uma odontologia mais responsável.
Biomateriais Sintéticos e Regeneração Óssea Guiada (ROG)
Na ROG, os biomateriais sintéticos oferecem vantagens exclusivas, como:
- Ausência de contaminação biológica, proporcionando maior segurança para o paciente.
- Redução significativa de reações alérgicas devido à sua composição altamente purificada.
- Melhor previsibilidade nos resultados de longo prazo, com estudos indicando taxas de sucesso superiores.
- Integração óssea facilitada pela combinação de propriedades osteocondutivas e bioativas.
- Versatilidade em aplicações clínicas, desde pequenos defeitos ósseos até reconstruções complexas.
Sua longevidade e segurança fazem desses materiais a escolha preferencial para casos que demandam alta complexidade.

Os biomateriais sintéticos da FGM representam o futuro da odontologia regenerativa, oferecendo soluções avançadas, sustentáveis e eticamente alinhadas às demandas modernas. Produtos como o Nanosynt e a Duosynt destacam-se não apenas por sua tecnologia, mas pelo impacto positivo que geram em pacientes, profissionais e no meio ambiente. A transição para o sintético é mais do que uma tendência – é uma evolução necessária na odontologia moderna.
Referências
- Tovar, N., Jimbo, R., Gangolli, R., Perez, L., Manne, L., Yoo, D., Lorenzoni, F., Witek, L., & Coelho, P. G. (2014). Evaluation of bone response to various anorganic bovine bone xenografts: an experimental calvaria defect study. International journal of oral and maxillofacial surgery, 43(2), 251–260. https://doi.org/10.1016/j.ijom.2013.07.005.
- FGM DENTAL GROUP. Perfil técnico Nanosynt. Joinville: FGM Dental Group, 2022. Disponível em: https://fgmdentalgroup.com/wp-content/uploads/2022/11/perfil_tecnico_nanosynt.pdf. Acesso em: 24 jan. 2025.
- Sartoretto, S. C., Gens, N. F., de Brito Resende, R. F., Alves, A. T. N. N., Cecato, R. C., Uzeda, M. J., Granjeiro, J. M., Calasans-Maia, M. D., & Calasans-Maia, J. A. (2022). In VivoEvaluation of Permeable and Impermeable Membranes for Guided Bone Regeneration. Membranes, 12(7), 711. https://doi.org/10.3390/membranes12070711
- FGM DENTAL GROUP. Duosynt. Joinville: FGM Dental Group. Disponível em: https://fgmdentalgroup.com/duosynt/. Acesso em: 24 jan. 2025.



