Autores: Dr. Thiago Roberto Gemeli, Dra. Ahylym Restrepo Marin, Dra. Flávia Turmina e Dr. Rafael Cury CecatoSEXO E IDADE DO PACIENTE Paciente sexo masculino, 33 anos de idade
SEXO E IDADE DO PACIENTE
Paciente do sexo masculino, 31 anos de idade
QUEIXA PRINCIPAL
Ausente. Achado radiográfico após consulta de rotina.
AVALIAÇÃO INICIAL
Ao realizar exames complementares, observou-se uma lesão de tamanho considerável na região do elemento 14. Analisando as características da lesão associadas ao histórico de exodontia prévia na região, a hipótese diagnóstica recaiu sobre o cisto residual.
TRATAMENTO EXECUTADO
Diversas técnicas para o tratamento de cistos odontogênicos podem ser encontradas na literatura, mas a terapia de eleição é a enucleação total da lesão1,2, opção proposta e aceita pelo paciente neste caso. Sob anestesia local infiltrativa, a lesão foi acessada tanto por vestibular quanto por palatina, dada sua localização interradicular, transpassando o osso maxilar transversalmente.
Uma amostra da lesão foi coletada e mantida em solução de formol a 10 volumes para posterior análise anatomopatológica. A finalidade dessa abordagem é identificar a etiologia da lesão e seu possível potencial recidivante.
Após a área ter sido exaustivamente curetada em sua totalidade, uma membrana sintética Duosynt foi interposta entre o tecido ósseo e o periósteo palatino. O objetivo desse dispositivo é atuar como uma interface entre os diferentes tipos de tecido, estabelecendo limites para a reparação de modo mais previsível. A escolha desse produto específico se deu em razão de sua excelente performance clínica, que alia permeabilidade seletiva, usabilidade facilitada, segurança (origem sintética) e tempo de degradação suficiente para possibilitar e assegurar a regeneração óssea pretendida
A etapa seguinte consistiu no preenchimento do defeito com Nanosynt associada aos agregados plaquetários derivados da centrifugação controlada de tecido sanguíneo venoso coletado do próprio paciente momentos antes.
Essa abordagem possibilita a inclusão de agentes favoráveis ao processo de reparo e imunidade. Isso porque as plaquetas possuem propriedades anti-inflamatórias e regenerativas3, podendo excretar variados tipos de fatores de crescimento: PDGF (Platelet Derivated Growth Factor), TGF-b (Transforming Growth Factors), VEGF (Vascular Endotelial Growth Factor), EGF (Epithelial Growth Factor), PF-4 (Platelet Factor – 4) e PDAF (Platelet derivated Angiogenesis Factor)4.
Enquanto parte da coleta sanguínea é destinada à incorporação junto ao biomaterial, outra parte é segregada para a polimerização da fibrina e obtenção de membranas biológicas, destinada ao recobrimento da membrana sintética do acesso vestibular. A síntese do procedimento foi realizada com sutura nylon 5.0 e o paciente redirecionado ao centro de imagem tomográfica para início da proservação do tratamento executado
ANÁLISE DAS IMAGENS

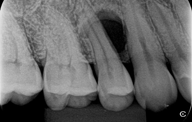
1 | Radiografia periapical inicial revelando uma lesão cística interradicular

2, 3 e 4 | Diferentes planos tomográficos, evidenciando a real extensão da lesão.

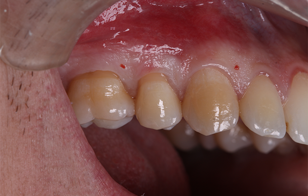
5 | Condição clínica pré-cirúrgica.

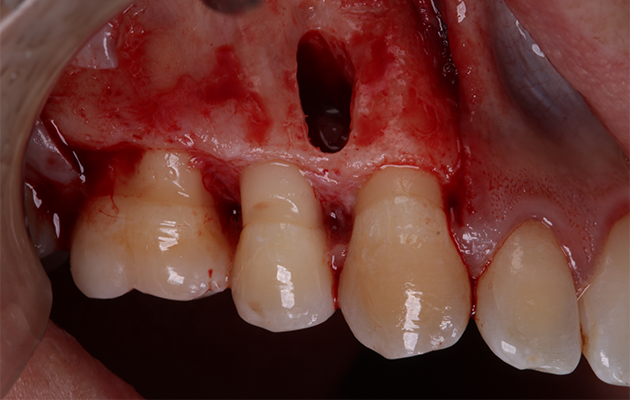
6 e 7 | Descolamento vestibular e janela de acesso à lesão.

8 e 9 | Acesso palatino e início da enucleação.

10 | Fragmento tecidual a ser submetido à análise anatomopatológica

11 | Utilização de membrana sintética (Duosynt).

12 e 13 | Sangue venoso centrifugado e biomaterial associado a derivados sanguíneos específicos (steack bone)

14 | Preenchimento do defeito com Biomaterial

15 | Tamponamento da janela vestibular com Duosynt

16 | Membranas de L-PRF comodadas sobre a membrana sintética.

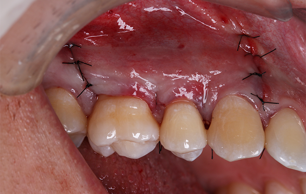
17 | Síntese.

18, 19 e 20 | Diferentes planos tomográficos, evidenciando o preenchimento do defeito com biomaterial e a regeneração óssea.

21 | Laudo da Biópsia

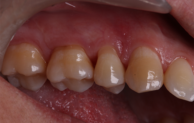
22 | Acompanhamento 90 dias.
Produtos utilizados
Saiba mais sobre a linha de biomateriais!
REFERÊNCIAS BIBLIOGRÁFICAS
1Martorelli SBF, Figueiredo MMR, Martorelli FO, Andrade FBM, Lacerda EPM. Descompressão de cístico dentígero gigante – relato de caso. Full Dent. Sci. 2019; 10(38):49-54. DOI: 10.24077/2019;1038-4954 [6] 2- Lacerda EPM, Martorelli SBF, Martorelli FO. Dentigerous cyst in the maxillary posterior region associated with an impacted deciduous molar. RGO, Rev Gaúch Odontol. 2018; 66(2):00-00. 3- Andrade MGS, Dantas DB; Sadigurksy M. Efeitos biológicos do plasma rico em plaquetas. R Ci Méd Biol. 2007 Maio-Ago;6 (2):204-13. 4- Dusse LMSA, Macedo, AP, Batschauer AP, Carvalho MG. Plasma Rico em Plaquetas (PRP) e sua aplicação em Odontologia. RBAC. 2008 Jul-Set;40(3):193-7





