Resumo: Implante imediato em região molar com biomaterial Nanosynt e cicatrizador personalizado Arcsys, mantendo contorno tecidual e estética previsível.
Autores: Dr. Gabriel Leonardo Magrin e Dr. Cesar Augusto Magalhães Benfatti
SEXO E IDADE DO PACIENTE: Paciente do sexo feminino, 58 anos de idade
QUEIXA PRINCIPAL: Paciente compareceu ao Centro de Ensino e Pesquisa em Implantes Dentários (CEPID) da Universidade Federal de Santa Catarina (UFSC) com queixa de dor e supuração na região do primeiro molar superior direito
AVALIAÇÃO INICIAL
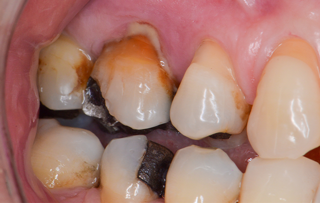
Na avaliação clínica, verificou-se o extravasamento de pus via sulco gengival no dente 16. A paciente relatava dor à palpação local e durante a percussão. Além disso, o dente 16 apresentava mobilidade grau 1, fratura de cúspides, uma extensa restauração de amálgama, lesões cariosas próximas à restauração e acúmulo de biofilme. O exame tomográfico revelou uma lesão envolvendo a raiz mesiovestibular do dente 16, com provável comunicação endoperiodontal.
TRATAMENTO EXECUTADO
Após uma profilaxia, a paciente foi submetida à intervenção cirúrgica, foi realizada a antissepsia extrabucal e intrabucal. A região do primeiro molar superior direito foi anestesia pela técnica infiltrativa local. Após o rompimento das fibras gengivais, o dente 16 foi gentilmente removido sem a elevação de retalhos cirúrgicos com o auxílio de um fórceps, mantendo-se o septo interradicular intacto. A limpeza do leito foi realizada por meio de curetagem alveolar e copiosa irrigação com solução salina
Na sequência, foi realizada a fresagem única para a instalação do implante dentário na região do septo ósseo utilizando a broca Arcsys. Com o término da instrumentação, um implante Arcsys foi instalado, obtendo-se um torque de inserção de 32 N.cm. O alvéolo fresco foi preenchido por Nanosynt, biomaterial substituto ósseo sintético de lenta taxa de remodelamento à base de hidroxiapatita e beta-tricálcio fosfato, até o nível das cristas ósseas alveolares.²
Um Cicatrizador Multifuncional feito de poliéter-éter-cetona (PEEK) foi instalado e personalizado por meio de resina composta fluida para que esta copiasse o perfil do tecido mole deixado pelo dente e, ao mesmo tempo, funcionar como material de selamento do alvéolo.³ Cinco meses após a instalação do implante, foi realizada a substituição do Cicatrizador Multifuncional por um Pilar Arcsys. Um Transferente Multifuncional para Pilar foi personalizado para manter o perfil de emergência até a entrega da coroa cerâmica
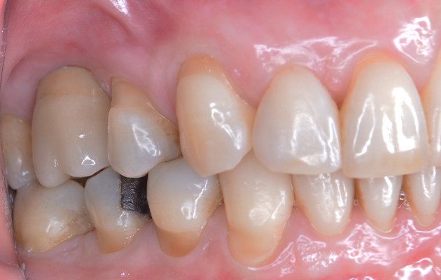
A sequência protética convencional para confecção de uma coroa em zircônia monolítica foi realizada. A paciente retornou para uma consulta de controle seis meses após a instalação da prótese sobre implante, mostrando estabilidade nos resultados em curto prazo.
ANÁLISE DAS IMAGENS

1 | Aspecto inicial do dente 16. Destaque para a supuração drenada via sulco gengival

2 | Vista da superfície oclusal do dente 16. Nota-se a fratura das cúspides do dente, a restauração em amálgama de grande extensão, o acúmulo de biofilme e a presença de cárie abaixo da restauração.

3 | Exame tomográfico da região do dente 16.

4 | Vista oclusal mostrando o septo ósseo interradicular preservado após a exodontia

5 | Instalação do Paralelizador evidenciando o bom posicionamento da fresagem para a instalação do Implante

6 | Aspecto do leito cirúrgico após protocolo de fresagem.

7 | Implante dentário pronto para inserção.

8 | Detalhe do torque de inserção obtido durante a instalação do Implante

9 | Posição do Implante ao final da instalação.

10 | Preenchimento do alvéolo fresco com biomaterial substituto ósseo de origem sintética. Destaque para o Tapa Implante colocado para prevenir a entrada do biomaterial dentro do implante

11 | Cicatrizador Multifuncional Arcsys posicionado sobre o implante.

12 | Resina composta fluida unida ao Cicatrizador se estendo até as margens do tecido mole para manter o contorno tecidual durante o período de osseointegração do Implante.

13 | Radiografia periapical realizada logo após a instalação do Implante com Cicatrizador personalizado.

14 | Aspecto dos tecidos moles depois da remoção do Cicatrizador, três meses após a cirurgia de instalação do Implante.

15 | Transferente de moldagem personalizado para manutenção do contorno do tecido mole após substituição do Cicatrizador por um Pilar protético.

16 | Aspecto do tecido mole após o condicionamento tecidual.

17 | Coroa em zircônia monolítica para aparafusamento sobre o Pilar

18 | Vista oclusal durante o controle de seis meses após carga protética

19 | Aspecto tecidual após a remoção da coroa. Destaque para a evidente saúde dos tecidos moles periimplantares.

20 | Aspecto final.
🛒Sua clínica está completa para o procedimento cirúrgico?
Adquira os produtos através do ecommerce Shop FGM Implantes!






