Autor: Prof. Dr. Raphael Monte Alto, Dra. Helena Laskawski Klemba, Dra. Karine Militão
SEXO E IDADE DO PACIENTE Paciente do sexo masculino, 19 anos de idade
QUEIXA PRINCIPAL
O paciente estava insatisfeito com a forma dos dentes anteriores após tratamento ortodôntico
AVALIAÇÃO INICIAL
O paciente passou por uma anamnese detalhada e exame clínico, nos quais não foram observadas alterações patológicas. Ao exame clínico, constatou-se a integridade dos tecidos periodontais e a ausência de lesões cariosas nos dentes anteriores e posteriores. O paciente apresentava resinas compostas deficientes nos dentes 12, 13, 22 e 23, além de pequenos diastemas entre os incisivos centrais
TRATAMENTO EXECUTADO
Primeiramente, foi realizado um protocolo fotográfico, que incluiu fotos de face e intraorais. Ambas as arcadas dentárias foram escaneadas, e o arquivo STL foi enviado ao laboratório juntamente com as fotos para planejamento. Um vídeo demonstrando o planejamento foi compartilhado pelo laboratório e o novo projeto aprovado pela equipe e pelo paciente. O arquivo STL com o enceramento foi impresso e um guia de silicone confeccionado com silicone por adição pesado e leve
O primeiro mockup foi realizado com a resina bisacrílica PrimmaArt, na cor B1, a fim de avaliar o novo formato. Após a aprovação do novo formato, as facetas em resina foram removidas com o auxílio de lâminas de bisturi número 12, discos de lixa, pontas diamantadas finas e pontas de silicone. Após a remoção das resinas, um novo escaneamento foi realizado para a confecção das facetas impressas definitivas.
As facetas foram impressas em resina Voxelprint, na cor BL, com opacidade HT. Após o protocolo de acabamento e polimento, as facetas foram provadas, primeiro em prova seca e depois com cimento de prova Allcem Veneer Try-in, na cor E-Bleach M.
Para a cimentação, foi realizado o isolamento absoluto, cimentando dois dentes de cada vez: primeiramente os dois incisivos centrais e, em seguida, os dentes laterais e caninos esquerdo e direito, respectivamente. Para a cimentação, os dentes foram condicionados com ácido fosfórico Condac 37 por 15 segundos, seguidos da aplicação do adesivo Ambar APS, que não foi polimerizado.
Optou-se pela utilização de uma resina aquecida para a cimentação. A resina foi colocada na parte interna da faceta aquecida e posicionada sobre os dentes preparados. Após o posicionamento das facetas, os excessos foram removidos com o auxílio de uma espátula e fio dental. Com o fotoativador Quazar de alta intensidade, as facetas foram polimerizadas por 40 segundos em cada face. Após a cimentação, as facetas foram polidas com polidores espirais para resinas compostas.
PASSO A PASSO

1 | Sorriso Inicial.

2 | Planejamento digital do sorriso.

3 | Mockup utilizando a resina PrimmaArt, na cor A1.

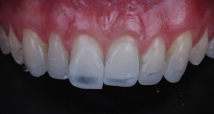
4 | Facetas prontas para impressão.

5 | Facetas impressas na resina Voxelprint cor BL – HT.

6 | Facetas sobre o modelo antes de serem finalizadas.

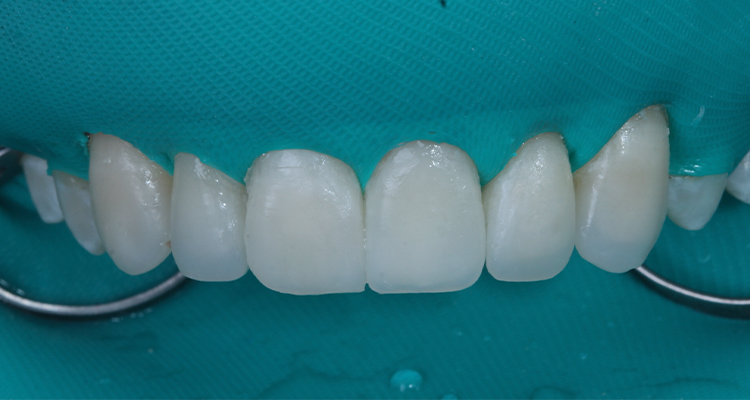
7 | Foto intraoral.

8 | Prova das facetas.

9 | Prova das facetas com cimento de prova Allcem Veneer Try-in, cor E-Bleach M.

10 | Isolamento absoluto.

11 | Prova das facetas após o isolamento.

12 | Profilaxia.


13 e 14 | Condicionamento do esmalte dental por 30s.

15 | Esmalte condicionado.

16 | Facetas posicionadas sobre os dentes após a remoção dos excessos do agente cimentante.

17 | Aplicação do adesivo Ambar APS


18, 19, 20 | Fotoativação com luz de alta intensidade Quazar.

21 | Facetas cimentadas

22 | Isolamento dos dentes 22 e 23

23 | Condicionamento do esmalte dental por 30 segundos

24 | Lavagem por 30 segundos.

25 | Esmalte condicionado.

26 | Aplicação do adesivo Ambar APS.

27 | Cimentação da faceta do dente 22.

28 | Cimentação da faceta do dente 23.

29 | Facetas cimentadas.

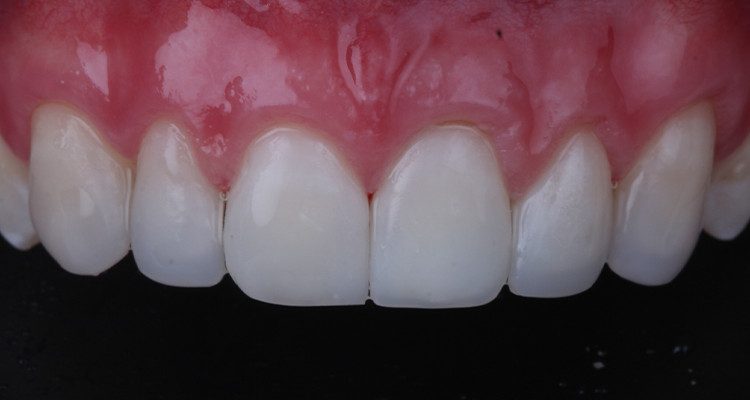
30 | Aspecto após acabamento e polimento.

31 | Sorriso final.

“A resina Voxelprint Ceramic é extremamente fácil de imprimir, não emite odores desagradáveis e permanece estável no VAT de impressão, mesmo após longos períodos de uso. Suas características mecânicas são excepcionais e o polimento é simples, podendo ser obtido em poucos passos.”
Prof. Dr. Raphael Monte Alto
Saiba mais sobre a Voxelprint!
PRODUTOS UTILIZADOS






