Effectiveness of and tooth sensitivity with at-home bleaching in smokers.
Tooth sensitivity and efficacy of in-office bleaching in restored teeth.
Effect of Light Activation on Tooth Sensitivity After In-Office Bleaching.
Tooth sensitivity and bleaching effectiveness associated with use of a calcium-containing in-office bleaching gel.
Blanqueamiento en consultorio: una alternativa rápida y efectiva para lograr un blanqueamiento inmediato de la sonrisa

Durante la anamnesis, el paciente expresó su insatisfacción con el color de sus dientes debido a su boda que se celebraría en los próximos días. En el examen clínico se determinó, mediante una escala de colores, que los dientes presentaban un color A1 y que había posibilidad de hacer que los dientes fueran más claros para satisfacer el deseo del paciente.
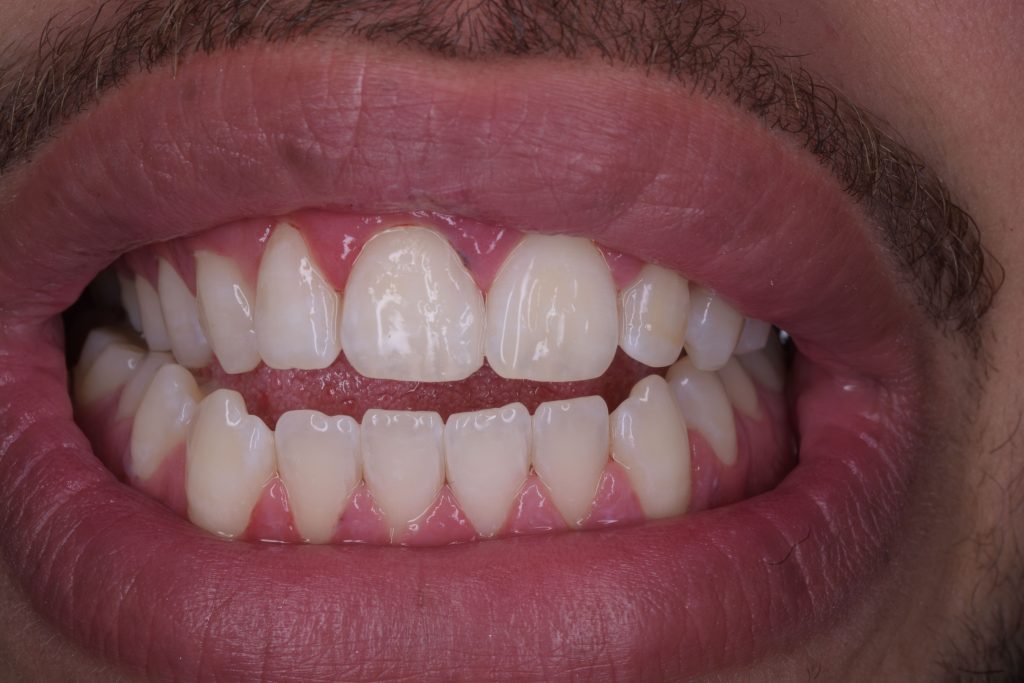
Blanqueamiento en clínica: Una alternativa rápida y eficaz para el blanqueamiento inmediato de la sonrisa

Durante la anamnesis, paciente relató insatisfacción con el color de los dientes para la boda que ocurriría en los próximos días. En el examen clínico fue verificado, a través de escala de colores, que los dientes presentaban color A1 y que habría posibilidad de dejar los dientes más claros atendiendo al anhelo de la paciente.
Aclarecimiento dental mediante la técnica combinada utilizando Whiteness HP AutoMixx 6% y Whiteness Perfect 16%

Autores: Prof. Doutor João Cardoso Ferreira, Profª Doutora Patrícia Teixeira Pires. Dr. Nuno Ribeiro Santos, Dr.ª Liliana Dias, Dr.ª Fabiana Almeida. Género y edad de la paciente: MMMV, caucásica, género femenino, 34 años. QUEJA PRINCIPAL: Dientes muy oscurecidos. Evaluación inicial: La paciente acudió a la clínica para someterse a un procedimiento de blanqueamiento dental debido […]
Blanqueamiento dental en clínica con Whiteness HP Blue.

Autor: Dr. Iyad Hassan. Paciente Masculino Queja Insatisfacción con el color de sus dientes y un pequeño espacio entre los dos centrales. Examen Radiográfico El paciente compareció a la clínica para mejorar el tono de sus dientes. Fue invitado a una boda y quería una sonrisa brillante. Se notó un diastema y una inflamación gingival, manchas […]
Superando retos en blanqueamiento dental: tinción por tetraciclina.

Autora: Dr. Isabel Giraldez Paciente Paciente del sexo femenino, 63 años. Queja Deseo de blanquear sus dientes sin tener que recurrir a la confección de carillas. Examen clínico Dientes presentando tinción por tetraciclina de grado 2, evidenciando rangos de color marrón pardo y amarillo. El color más saturado de los rangos fue correspondiente al 3R […]
Durante tres años consecutivos, ¡el mejor blanqueador de uso casero de Dental Advisor!

Una vez más, FGM recibe el Premio Internacional de Mejor Blanqueador Dental de Uso Casero con Whiteness Perfect (Wīt Essential en EEUU). El reconocimiento viene de EEUU y fue concedido por la tradicional agencia estadounidense de evaluación clínica Dental Advisor . La conquista del Selo Top Award Winner 2022 es resultado de un riguroso proceso de análisis clínico que envolvió 31 […]