Estética superior para realzar sonrisas con naturalidad
Descubra la resina Vittra APS Flow
Alcance un nuevo nivel de excelencia con Vittra APS.
Sus propiedades estéticas, combinadas con la exclusiva Tecnología APS, proporcionan equilibrio óptico, resistencia mecánica y funcionalidad clínica.
Sistema de colores
Vittra APS Bleach ha sido desarrollada para ofrecer la máxima versatilidad en restauraciones de dientes blancos o blanqueados. Su sistema de 3 tonos, disponible en las opacidades de esmalte y dentina, permite realizar restauraciones con una apariencia que va desde el blanco natural hasta el extrabrillante con facilidad.
Foto: Dra. Alana Blanc
colores bleach
El sistema Vittra APS incluye una línea especializada de resinas compuestas diseñadas para la restauración de dientes blanqueados, disponibles en tonos de blanqueamiento avanzados.
Con la exclusiva tecnología APS, Vittra APS ofrece un rendimiento estético excepcional gracias a sus propiedades ópticas optimizadas, su resistencia mecánica superior y su manejo clínico fiable, lo que garantiza resultados de aspecto natural y una larga durabilidad.
Más que colore: un sistema restaurador diseñado para imitar el brillo, la textura y la translucidez de dientes blancos y luminosos.
Parámetros de color
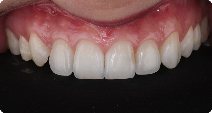
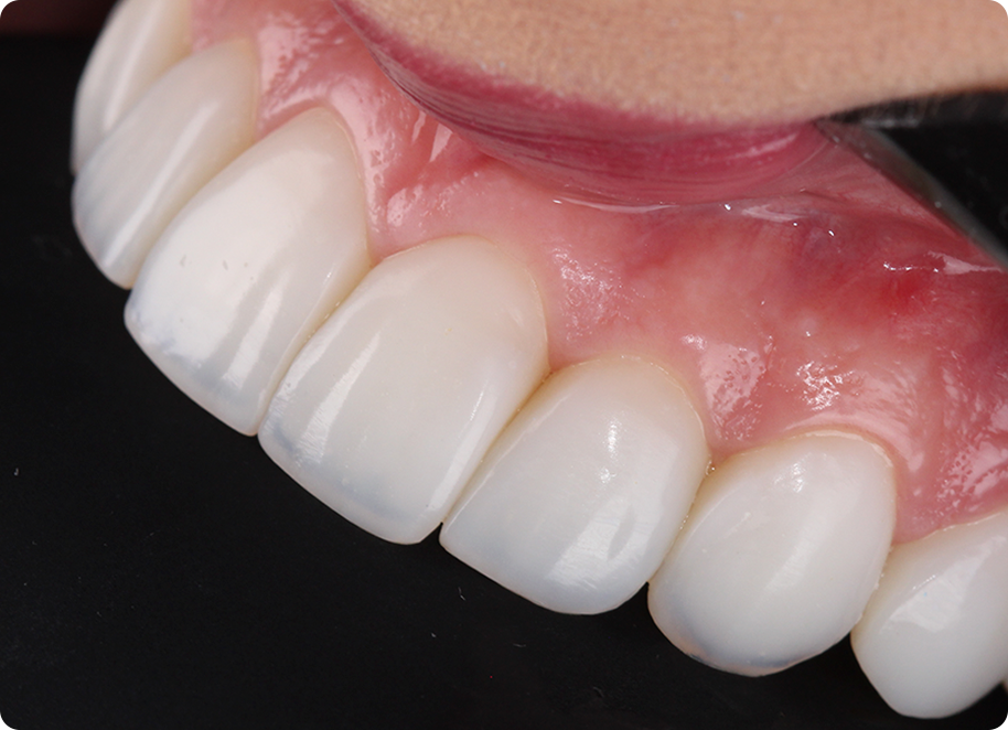
Caso clínico

1. Aspecto inicial.

2. Grabado ácido con Condac 37 y aplicación del adhesivo Ambar APS .

3. Estratificación de la capa palatina, a mano alzada, con una resina compuesta de alto nivel de translucidez, Vittra APS Trans N.

4. Capa de dentina con Vittra APS en el color bleach DBL3. Atención especial a los efectos de mamelones dentinarios.

5. Vittra APS DBL3 aplicada en un fino rolete en el borde incisal para imitar el halo opaco.

6. Cobertura final vestibular hecha en capa única de resina de esmalte bleach, Vittra APS EBL3.

7. Resultado final.
Material Técnico de Vittra APS Bleach
Descargue y aprenda cómo obtener los mejores resultados con Vittra APS en tonos Bleach.
- Casos clínicos;
- Parámetros de color;
- Propiedades mecánicas.
La Tecnología APS exclusiva de FGM consiste en una innovadora combinación de fotoiniciadores incoloros que interactúan entre sí y amplifican la capacidad de polimerización, impactando positivamente en varios aspectos:

Restauraciones estéticas con un tiempo de trabajo 4 veces mayor que las resinas convencionales*;

Predicbilidad del color de la resina incluso antes del fotocurado (sin variación significativa del color durante la polimerización);

Aumento de las propiedades mecánicas.
*Según un estudio realizado por el Prof. Dr. Rodrigo Reis.
Eficacia comprobada por estudios científicos.
Dureza Knoop
Vittra APS presentó la mayor dureza superficial entre los composites participantes del ensayo, demostrando valores que sorprenden. Tal dureza tiene origen en la calidad, morfología y nivel de las cargas utilizadas, así como en la calidad del polímero formado y su interacción con tales cargas.
Figura 1: Dureza Knoop (promedio y desvío estándar en KHN) de diferentes composites (n=5) (ANOVA de 1 factor y prueba de Tukey; p<0,05).
Fuente: Carvalho E, Gutierrez F, Bauer M, Pailover P, Malaquias P, Reis A, Bauer J, Loguercio A. Universidade Estadual de Ponta Grossa (UEPG) y Universidade Federal do Maranhão, 2016.
Resistencia a la flexión
Los resultados demuestran que Vittra APS exhibió una excelente resistencia a la flexión, comparable o superior a productos ya conocidos en el mercado.
Figura 2: Resistencia a la flexión en tres puntos (media y desviación estándar en MPa) de diferentes compuestos (n=10) (ANOVA de 1 vía y prueba de Tukey; p<0,05).
Fuente: Carvalho E, Bauer M, Pailover P, Malaquias P, Gutierrez F, Reis A, Bauer J, Loguercio A. Universidad Estatal de Ponta Grossa (UEPG) y Universidad Federal de Maranhão, 2016.
Opinión de expertos
Formatos de presentación
Kit Essential
Contenido: DA1, DA2, DA3, EA1 y EA2 en jeringas con 4g, Trans N en jeringa con 2g, Ambar APS con 6ml y Condac 37 con 2,5ml.
Presenta los colores más usuales para su clínica.
Repuesto
Contenido: Jeringas de 4g en los colores: DA1, DA2, DA3, DA3,5, DB1, EA1, EA2, EA3, EA3,5 y EB1.
Repuesto
Contenido: Jeringas de
2g en los colores: Trans OPL y Trans N.
Cápsulas
Contenido: 20 cápsulas de 0.2g disponible en los colores: DA1, DA2, DA3, DA3,5, EA1, EA2, EA3, EB1, E-Bleach, DA0, DA4, DA5, Trans OPL, Trans N.
¡Regístrate y descarga el material gratuito!
Descargar para acceder al caso clínico completo y más detalles sobre el sistema de color Bleach de Vittra APS.