Composito a colorazione universale capace di imitare la tonalità del dente
Le proprietà ottiche di Vittra APS Unique sono definite dopo la polimerizzazione. Grazie alla caratteristiche di copiatura cromatica, l’effetto camaleonte si verifica durante il processo di polimerizzazione quando il composito cattura e riflette la tonalità del substrato dentale.
Prima della polimerizzazione, la tonalità a contrasto e quella più opaca del composito agevolano la visualizzazione e il controllo della procedura di restauro.
I riempitivi, l’opacità ben equilibrata e l’estetica della tecnologia APS sono fondamentali per ottenere una perfetta imitazione.
Da Bleach a D4 con un solo composito
Colorazione universale: un’unica tonalità
Semplice tecnica incrementale che non richiede l’uso di gradi di opacità/traslucidità differenti
Denti decidui e permanenti: restauri diretti dei denti anteriori e posteriori (Classe I, II, III, IV, V e VI).
Denti anteriori
Denti posteriori
Per le cavità di classe I, II, V e VI, in caso di pigmentazione, coprire l’area con una resina dentinali o con il composito Vittra APS e procedere con una tecnica di restauro a strati utilizzando Vittra APS Unique.
*1. Cavità.
2. Rivestimento della parete della polpa con cementi ionomeri vetrosi.
3. Tre strati di composito Vittra APS Unique.
4. Restauro finalizzato dopo la lucidatura e l’idratazione.
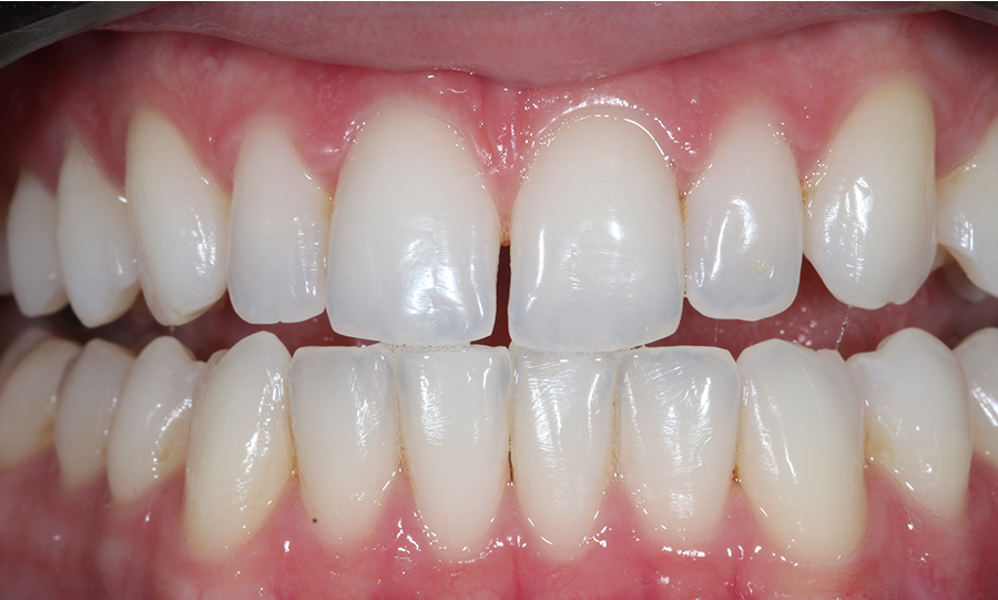
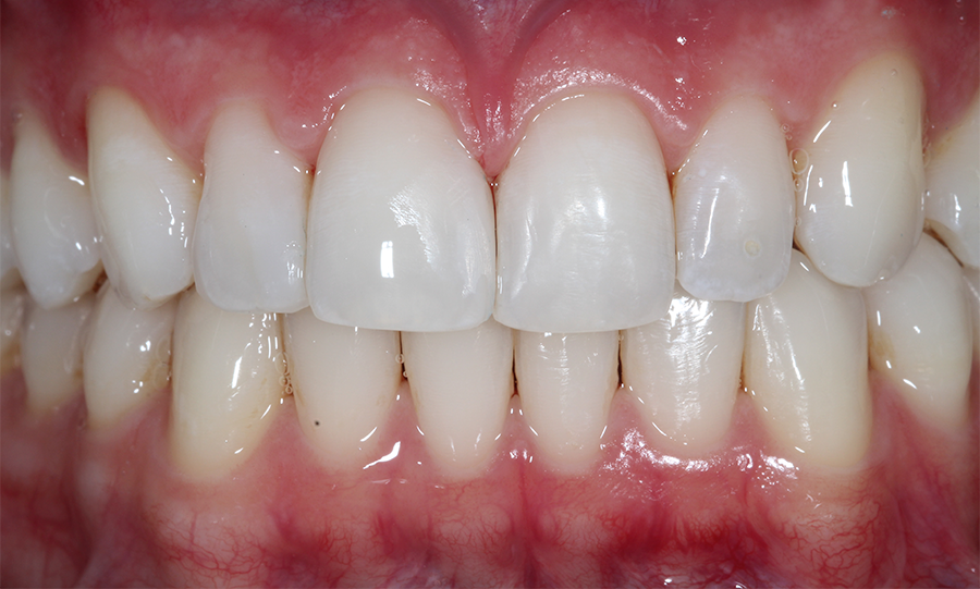
Cavità di classe III e IV (senza una parete posteriore a supporto della tonalità): eseguire uno strato che fungerà da sfondo per il restauro e finire il volume restante con strati di Vittra APS Unique.
*1. Cavità.
2. Composito di sfondo.
3. Restauro finalizzato con Vittra APS Unique.