A FGM reconhece a sua dedicação em transformar sorrisos com a linha Whiteness!
O Concurso Whiteness é para você, Cirurgião-dentista que prioriza a excelência e segurança do clareamento dental com a marca líder
*Venda sob prescrição
Envie o caso clínico por e-mail em até 24h após inscrição.
Resultado
15.12.2025
A classificação dos ganhadores será revelada no Congresso CIOSP 2026, durante a cerimônia de premiação.
*Em certificado de barras de ouro
*Em certificado de barras de ouro
Imagens meramente ilustrativas.
Escolha o seu melhor caso clínico de clareamento dental pelas técnicas: caseiro, consultório ou associado.
Inscreva-se na página do Concurso: De 08.09.2025 a 30.11.2025
Envie os arquivos:
Aguarde o resultado em 15 de dezembro de 2025.
Faça o download dos documentos obrigatórios abaixo e encaminhe para o e-mail informado após a inscrição, até o dia 30/11/2025.
TERMO DE AUTORIZAÇÃO DO USO DE IMAGEM (Dentista e Paciente)
Envie o arquivo no formato: PDF, JPEG ou PNG.
FOTOGRAFIAS DO CASO CLÍNICO
Envie os arquivos no formato JPEG ou PNG em alta resolução anexados no e-mail.

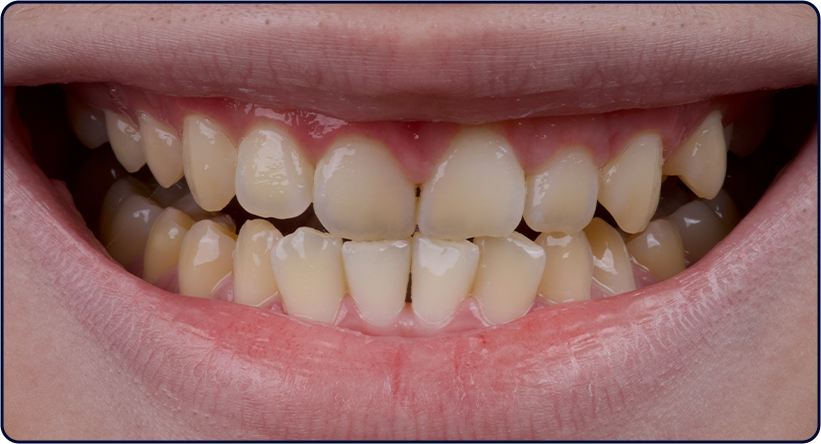
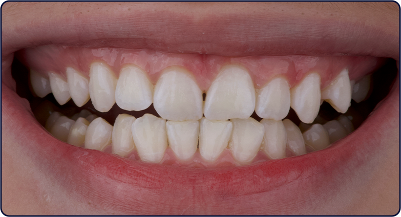
Inicial

Final
Caso clínico: Dra. Juliana Lopes de Sá

Inicial

Final
Caso clínico: Dra. Rebeka de Oliveira Reis
Agradecemos a todos que participaram!
Todos os casos clínicos participantes foram enviados para o Comitê de Avaliação e no dia 15/12/2025 divulgaremos os resultados através de nossos canais de comunicação.
OBS: O e-mail para envio dos documentos e caso clínico será informado após o preenchimento deste formulário.
Junte-se a FGM no CIOSP 2026 e descubra a classificação dos ganhadores!
Agradecemos a todos que se dedicaram e enviaram os seus casos clínicos! Foram inúmeros sorrisos transformados, com a qualidade e a segurança que só a Nº1 em clareamento entrega. ✨
A participação é restrita aos Cirurgiões-dentistas regularmente inscritos no CRO da sua região, maiores de 18 anos, residentes e domiciliados no Brasil.
Whiteness possui uma linha completa de clareadores dentais, o que possibilita casos clínicos com diversas técnicas:
– Clareamento em consultório;
– Clareamento caseiro supervisionado;
– Clareamento com microabrasão;
– Clareamento combinado/associado;
– Clareamento interno, de dentes não vitais (unitários ou múltiplos)
1 – Relato do caso clínico (conforme documento padrão);
2 – Termo de Autorização de uso de imagem (Dentista);
3 – Termo de Autorização de uso de imagem (Paciente);
4 – Todas as fotografias que constam no relato do caso clínico em alta resolução, no formato PNG ou JPEG.
Disponíveis para download em “Documentos para inscrição”
A avaliação dos casos clínicos será realizada por um Comitê de Cirurgiões-Dentistas altamente capacitados e consultores técnicos da FGM.
A avaliação será às cegas e serão considerados os seguintes itens para os critérios:
1 – Relato do caso clínico;
2 – Protocolo fotográfico completo;
3 – Qualidade das fotos;
4 – Protocolo de aplicação do produto conforme manual de instruções;
5 – Grau de dificuldade do caso;
6 – Resultado do clareamento;
7 – Harmonia do sorriso;
8 – Uso apenas de produtos FGM.
9 – Pontuação extra na participação do Programa Especialista Whiteness + 1 ponto
Faça o download e confira as “Normas para envio de casos clínicos”.
Será aceita apenas 1 (uma) inscrição de caso clínico por CRO. Escolha o seu melhor caso 🙂
No momento da inscrição não é possível incluir mais de um autor. O prêmio é pessoal e intransferível.